Russell H. Morgan Department of Radiology and Radiological Science, Division of Vascular and Interventional Radiology, The Johns Hopkins Hospital, Baltimore, MD, 21287, USA.
Ultrasound and Interventions, Philips Research North America, Briarcliff Manor, NY, USA.
Transl Oncol. 2014 Aug;7(4):447-55. doi: 10.1016/j.tranon.2014.05.004. Epub 2014 Jun 20.
To determine whether volumetric changes of enhancement as seen on contrast-enhanced magnetic resonance (MR) imaging can help assess early tumor response and predict survival in patients with metastatic uveal melanoma after one session of transarterial chemoembolization (TACE).
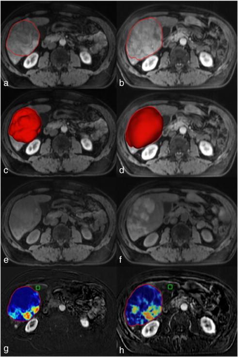
Fifteen patients with 59 lesions who underwent MR imaging before and 3 to 4 weeks after the first TACE were retrospectively included. MR analysis evaluated signal intensities, World Health Organization (WHO), Response Evaluation Criteria in Solid Tumors (RECIST), European Association for the Study of the Liver (EASL), modified RECIST (mRECIST), tumor volume [volumetric RECIST (vRECIST)], and volumetric tumor enhancement [quantitative EASL (qEASL)]. qEASL was expressed in cubic centimeters [qEASL (cm(3))] and as a percentage of the tumor volume [qEASL (%)]. Paired t test with its exact permutation distribution was used to compare measurements before and after TACE. The Kaplan-Meier method with the log-rank test was used to calculate overall survival for responders and non-responders.
In target lesions, mean qEASL (%) decreased from 63.9% to 42.6% (P = .016). No significant changes were observed using the other response criteria. In non-target lesions, mean WHO, RECIST, EASL, mRECIST, vRECIST, and qEASL (cm(3)) were significantly increased compared to baseline. qEASL (%) remained stable (P = .214). Median overall survival was 5.6 months. qEASL (cm(3)) was the only parameter that could predict survival based on target lesions (3.6 vs 40.5 months, P < .001) or overall (target and non-target lesions) response (4.4 vs 40.9 months, P = .001).
Volumetric tumor enhancement may be used as a surrogate biomarker for survival prediction in patients with uveal melanoma after the first TACE.
在接受单次经动脉化疗栓塞(TACE)后,通过对比增强磁共振成像(CE-MRI)评估肿瘤增强容积变化,确定其是否有助于评估转移性葡萄膜黑色素瘤患者的早期肿瘤反应并预测生存。
回顾性分析了 15 例 59 个病灶的患者,这些患者在首次 TACE 前和首次 TACE 后 3-4 周进行了 MRI 检查。MR 分析评估了信号强度、世界卫生组织(WHO)、实体瘤反应评价标准(RECIST)、欧洲肝脏研究协会(EASL)、改良 RECIST(mRECIST)、肿瘤体积[容积 RECIST(vRECIST)]和肿瘤增强容积[定量 EASL(qEASL)]。qEASL 以立方厘米(cm³)和肿瘤体积的百分比(qEASL(%))表示。采用配对 t 检验和精确置换分布比较 TACE 前后的测量值。采用 Kaplan-Meier 法和对数秩检验计算应答者和无应答者的总生存率。
在靶病灶中,qEASL(%)从 63.9%降至 42.6%(P=.016)。使用其他反应标准未观察到显著变化。在非靶病灶中,与基线相比,WHO、RECIST、EASL、mRECIST、vRECIST 和 qEASL(cm³)的均值均显著增加。qEASL(%)保持稳定(P=.214)。中位总生存期为 5.6 个月。qEASL(cm³)是唯一能够根据靶病灶(3.6 vs 40.5 个月,P<.001)或整体(靶病灶和非靶病灶)反应(4.4 vs 40.9 个月,P=.001)预测生存的参数。
在接受单次 TACE 后,肿瘤增强容积可作为预测葡萄膜黑色素瘤患者生存的替代生物标志物。