Konca Capan, Tekin Mehmet, Turgut Mehmet
Pediatric Intensive Care Unit, Pediatric Department, Medical Faculty, Adiyaman University, Adiyaman, Turkey.
Medical Faculty, Pediatric Department, Adiyaman University, Adiyaman, Turkey.
Iran Red Crescent Med J. 2016 May 15;18(7):e24300. doi: 10.5812/ircmj.24300. eCollection 2016 Jul.
Some studies in the literature support the use of either inhaled or systemic steroids for the treatment of chemical pneumonitis; however, no data have been published on the combined use of inhaled and intravenous (IV) steroids.
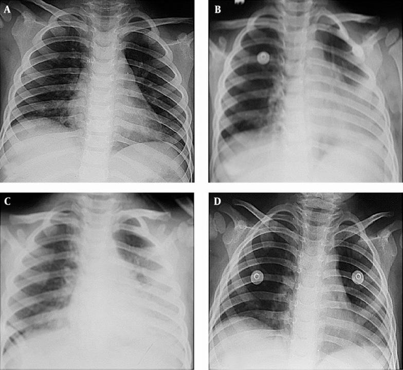
This brief report describes the effective use of inhaled plus systemic steroids in managing six critical pediatric patients.
Medical records of patients were analyzed retrospectively.
Of the six patients, 83.3% (n = 5) were male and 16.7% (n = 1) were female, with a mean age of 2.1 ± 0.49 years. The most common clinical signs were dyspnea (83.3%), fever (66.6%), and vomiting (66.6%). Owing to supportive treatments and the combined steroid treatment, respiratory distress diminished and there was no need for oxygen in any of the patients after 5 days. All patients were discharged without any sequelae.
The use of steroids in treating hydrocarbon pneumonias is still controversial. However, we suggest that the combined use of inhaled and intravenous steroids had positive effects on the clinical and radiological recovery of our patients.
文献中的一些研究支持使用吸入性或全身性类固醇治疗化学性肺炎;然而,关于吸入性和静脉注射(IV)类固醇联合使用的数据尚未发表。
本简要报告描述了吸入性加全身性类固醇在治疗六名危重新生儿患者中的有效应用。
对患者的病历进行回顾性分析。
六名患者中,83.3%(n = 5)为男性,16.7%(n = 1)为女性,平均年龄为2.1 ± 0.49岁。最常见的临床症状为呼吸困难(83.3%)、发热(66.6%)和呕吐(66.6%)。由于支持性治疗和联合类固醇治疗,呼吸窘迫减轻,5天后所有患者均无需吸氧。所有患者均无后遗症出院。
类固醇在治疗烃类肺炎中的应用仍存在争议。然而,我们建议吸入性和静脉注射类固醇联合使用对我们患者的临床和影像学恢复有积极影响。