Suppr超能文献

肾交感神经在自发性高血压大鼠肾钠/钾处理及肾损伤中的作用

Role of the renal sympathetic nerves in renal sodium/potassium handling and renal damage in spontaneously hypertensive rats.

作者信息

Li Jianling, He Qiaoling, Wu Weifeng, Li Qingjie, Huang Rongjie, Pan Xiaofeng, Lai Wenying

机构信息

Department of Cardiology, First Affiliated Hospital of Guangxi Medical University, Nanning, Guangxi 530021, P.R. China.

Department of Pharmacology, Affiliated Hospital of Guangxi Medical University, The First People's Hospital of Nanning, Nanning, Guangxi 530000, P.R. China.

出版信息

Exp Ther Med. 2016 Oct;12(4):2547-2553. doi: 10.3892/etm.2016.3669. Epub 2016 Sep 6.

Abstract

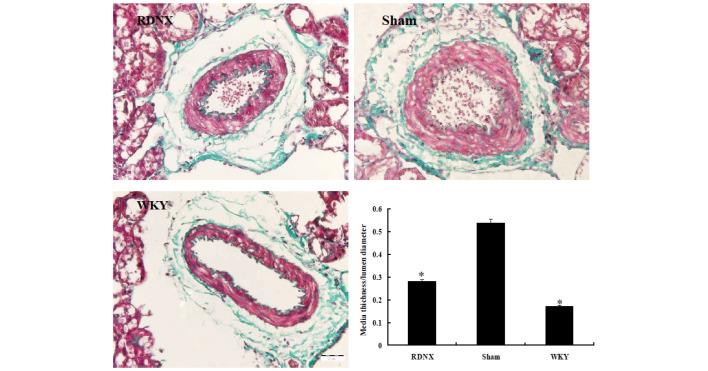
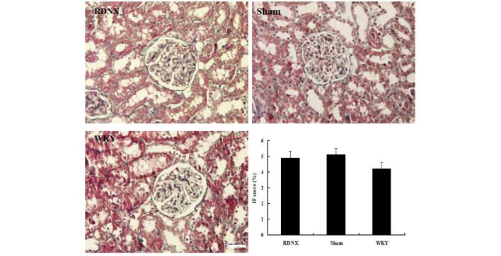
Renal sympathetic nerve activity has an important role in renal disease-associated hypertension and in the modulation of fluid homeostasis. In the present study, changes in renal function and renal sodium/potassium handling were investigated in groups of 12-week-old male, spontaneously hypertensive rats with renal denervation (RDNX group) or sham denervation (sham group). The RDNX group excreted significantly more sodium than the sham group during the 2-week observation period (P<0.05). Following bilateral renal denervation, the fractional lithium excretion was elevated in the RDNX group compared with the sham group, but no significant effect was observed of renal denervation on the fractional distal reabsorption rate of sodium or the fractional excretion of potassium. Furthermore, the glomerular injury score and the wall-to-lumen ratio of the interlobular artery were significantly lower in the RDNX group than in the sham group (P<0.05). In conclusion, the present study indicates an involvement of the renal sympathetic nerves in the regulation of renal tubular sodium reabsorption in spontaneously hypertensive rats and in the renal damage associated with hypertension.

摘要

肾交感神经活动在肾病相关性高血压及体液平衡调节中起重要作用。在本研究中,对12周龄雄性自发性高血压大鼠进行肾去神经支配(肾去神经支配组,RDNX组)或假去神经支配(假手术组),研究其肾功能及肾钠/钾处理的变化。在2周观察期内,RDNX组钠排泄量显著高于假手术组(P<0.05)。双侧肾去神经支配后,RDNX组锂排泄分数高于假手术组,但肾去神经支配对钠的远端重吸收分数或钾排泄分数无显著影响。此外,RDNX组肾小球损伤评分及小叶间动脉壁腔比显著低于假手术组(P<0.05)。总之,本研究表明肾交感神经参与自发性高血压大鼠肾小管钠重吸收的调节及与高血压相关的肾损伤。

https://cdn.ncbi.nlm.nih.gov/pmc/blobs/15a2/5038203/30e774109d48/etm-12-04-2547-g00.jpg

文献AI研究员

20分钟写一篇综述,助力文献阅读效率提升50倍。

立即体验

用中文搜PubMed

大模型驱动的PubMed中文搜索引擎

马上搜索

文档翻译

学术文献翻译模型,支持多种主流文档格式。

立即体验