Suppr超能文献

舌骨乳头状癌

Papillary carcinoma of hyoid.

作者信息

López-Gómez Javier, Salazar-Álvarez Ma Alejandra, Granados-Garcia Martin

机构信息

Department of Oncologic Surgery, National Cancer Institute, Mexico City, Av. San Fernando No. 22, Col. Sección XVI, C.P. 14080, Mexico.

Department of Head and Neck, National Cancer Institute, Mexico City, Av. San Fernando No. 22, Col. Sección XVI, C.P. 14080, Mexico.

出版信息

Int J Surg Case Rep. 2016;28:241-245. doi: 10.1016/j.ijscr.2016.09.043. Epub 2016 Sep 29.

Abstract

INTRODUCTION

Thyroglosal duct cyst is a common anomaly with an incidence of 7% in adults, the rate of carcinoma in TGDC is 0.7-1.6%, and are extremely rare those originated in the hyoid bone.

PRESENTATION OF CASE

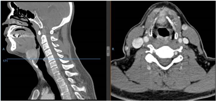
A 60 years old male patient, had a hard mass in the anterior neck. CT revealed a hyoid tumor. Hyoid bone resection was performed, the pathological report show a conventional papillary carcinoma in bone tissue. We rule out primary tumor in thyroid gland. Five years later, he developed a neck node recurrence. Total thyroidectomy and a selective left neck dissection (II-IV levels) was performed. He received radioiodine adjuvant treatment.

DISCUSSION

Hyoid cancer originates of a persistent thyroglosal duct remnants inside hyoid bone.

CONCLUSION

We propose to add a new subdivision to pathology derived from thyroglosal duct remnants). The diagnostic approach with ultrasound and CT are necessary. A primary in te hyoid gland mustang be discorded, and then the entire hyoid bone must be removed. Treatment of the thyroid gland and neck should be considered when there are significant risk factors of recurrence, similarly to thyroid cancer based on the risk assessment.

摘要

引言

甲状舌管囊肿是一种常见的先天性异常,在成年人中的发病率为7%,甲状舌管囊肿癌变率为0.7 - 1.6%,起源于舌骨的极为罕见。

病例介绍

一名60岁男性患者,颈部前方有一硬块。CT显示舌骨肿瘤。进行了舌骨切除术,病理报告显示骨组织中有传统型乳头状癌。我们排除了甲状腺原发性肿瘤。五年后,他出现颈部淋巴结复发。进行了全甲状腺切除术和选择性左侧颈部清扫术(II - IV区)。他接受了放射性碘辅助治疗。

讨论

舌骨癌起源于舌骨内持续存在的甲状舌管残余。

结论

我们建议在源自甲状舌管残余的病理学中增加一个新的细分。超声和CT诊断方法是必要的。必须排除舌骨原发性肿瘤,然后必须切除整个舌骨。当存在显著复发风险因素时,应考虑对甲状腺和颈部进行治疗,类似于基于风险评估的甲状腺癌。

https://cdn.ncbi.nlm.nih.gov/pmc/blobs/0e51/5070838/fe5492fae135/gr1.jpg

文献AI研究员

20分钟写一篇综述,助力文献阅读效率提升50倍。

立即体验

用中文搜PubMed

大模型驱动的PubMed中文搜索引擎

马上搜索

文档翻译

学术文献翻译模型,支持多种主流文档格式。

立即体验