Suppr超能文献

一种罕见的疾病,伴有更罕见的并发症。

A rare malady with a rarer complication.

作者信息

Gopi Arun, Sebastian Placid, Ramakrishna C D

机构信息

Department of Cardiology, Sahakarna Hrudalaya, Pariyarum Medical College, Kannur, Kerala, India.

Department of Cardiology, Sahakarna Hrudalaya, Pariyarum Medical College, Kannur, Kerala, India.

出版信息

Indian Heart J. 2016 Sep;68 Suppl 2(Suppl 2):S264-S266. doi: 10.1016/j.ihj.2015.08.012. Epub 2016 Feb 28.

Abstract

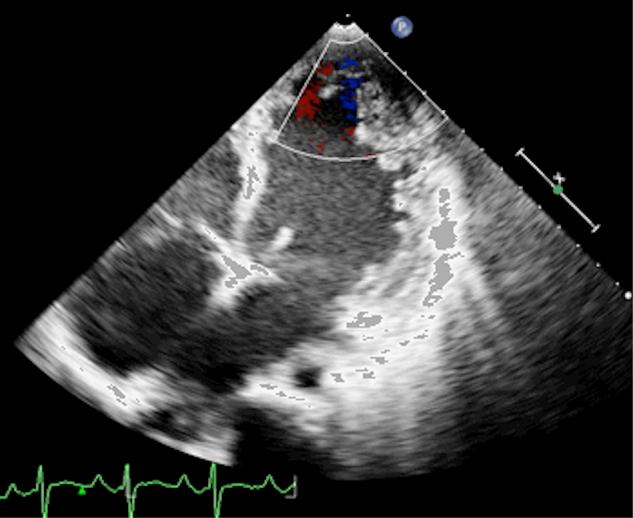
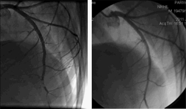
Isolated ventricular noncompaction (IVNC) is an unclassified cardiomyopathy characterized by prominent intraventricular trabeculations separated by deep intertrabecular recesses. Although microvascular dysfunction is known, myocardial infarction is rare and usually seen as a consequence of coincidental coronary artery disease. We report the case of a 19-year-old male patient who presented to us with symptoms and signs of heart failure. Echocardiography revealed IVNC with severe left ventricular dysfunction. He was put on medical treatment including oral anticoagulants. Six months later, he came to our emergency department with anterior wall STEMI. Coronary angiogram revealed thrombotic occlusion of distal LAD, which resolved completely with tirofiban and heparin. Coronary thromboembolism due to blood stasis in the left ventricular cavity has not been previously documented in IVNC.

摘要

孤立性心室肌致密化不全(IVNC)是一种未分类的心肌病,其特征为显著的心室小梁,被深的小梁间隐窝分隔。虽然已知微血管功能障碍,但心肌梗死罕见,通常是巧合的冠状动脉疾病的结果。我们报告一例19岁男性患者,他因心力衰竭的症状和体征前来就诊。超声心动图显示IVNC伴严重左心室功能障碍。他接受了包括口服抗凝剂在内的药物治疗。六个月后,他因前壁ST段抬高型心肌梗死来到我们的急诊科。冠状动脉造影显示左前降支远端血栓性闭塞,替罗非班和肝素治疗后完全缓解。IVNC中因左心室腔内血液淤滞导致的冠状动脉血栓栓塞此前未见报道。

https://cdn.ncbi.nlm.nih.gov/pmc/blobs/7c3d/5067446/d8d5e55c8280/gr1.jpg

相似文献

1
A rare malady with a rarer complication.
Indian Heart J. 2016 Sep;68 Suppl 2(Suppl 2):S264-S266. doi: 10.1016/j.ihj.2015.08.012. Epub 2016 Feb 28.
4
Noncompaction and embolic myocardial infarction: the importance of oral anticoagulation.
Rev Port Cardiol. 2015 Jul-Aug;34(7-8):497.e1-4. doi: 10.1016/j.repc.2015.01.014. Epub 2015 Jul 7.
9
[Development of heart failure and stroke in the setting of myocardial noncompaction].
Turk Kardiyol Dern Ars. 2012 Jan;40(1):59-62. doi: 10.5543/tkda.2012.01737.

引用本文的文献

1
Cardiovascular Magnetic Resonance Imaging Patterns in Rare Cardiovascular Diseases.
J Clin Med. 2022 Oct 29;11(21):6403. doi: 10.3390/jcm11216403.

本文引用的文献

2
Left-ventricular non-compaction with coronary artery disease.
Int J Cardiol. 2011 Jul 1;150(1):e37-9. doi: 10.1016/j.ijcard.2009.09.476. Epub 2009 Oct 24.
3
Left ventricular noncompaction.
Circ J. 2009 Jan;73(1):19-26. doi: 10.1253/circj.cj-08-0995. Epub 2008 Dec 4.
5
Genetic heterogeneity of left-ventricular noncompaction cardiomyopathy.
Clin Cardiol. 2008 May;31(5):201-4. doi: 10.1002/clc.20202.
6
Isolated ventricular non-compaction of the myocardium in adults.
Heart. 2007 Jan;93(1):11-5. doi: 10.1136/hrt.2005.082271. Epub 2006 May 2.
7
Left ventricular non-compaction: insights from cardiovascular magnetic resonance imaging.
J Am Coll Cardiol. 2005 Jul 5;46(1):101-5. doi: 10.1016/j.jacc.2005.03.045.
8
Natural history and familial characteristics of isolated left ventricular non-compaction.
Eur Heart J. 2005 Jan;26(2):187-92. doi: 10.1093/eurheartj/ehi025. Epub 2004 Nov 30.
9
Noncompaction of the ventricular myocardium.
Circulation. 2004 Jun 22;109(24):2965-71. doi: 10.1161/01.CIR.0000132478.60674.D0.
10
Isolated ventricular noncompaction is associated with coronary microcirculatory dysfunction.
J Am Coll Cardiol. 2002 Feb 6;39(3):450-4. doi: 10.1016/s0735-1097(01)01765-x.

文献AI研究员

20分钟写一篇综述,助力文献阅读效率提升50倍。

立即体验

用中文搜PubMed

大模型驱动的PubMed中文搜索引擎

马上搜索

文档翻译

学术文献翻译模型,支持多种主流文档格式。

立即体验