Jeong Hoe-Hwan, Yoon Jung-Hoon, Oh Sungho, Won Je Hwan, Min Young-Gi, Gravenstein Nikolaus, Choi Sang-Cheon
Department of Emergency Medicine, Ajou University School of Medicine, Suwon, Korea.
Daegu Research Center for Medical Device and Green Energy, Korea Institute of Machinery & Materials, Daegu, Korea.
Clin Exp Emerg Med. 2014 Dec 31;1(2):114-119. doi: 10.15441/ceem.14.003. eCollection 2014 Dec.
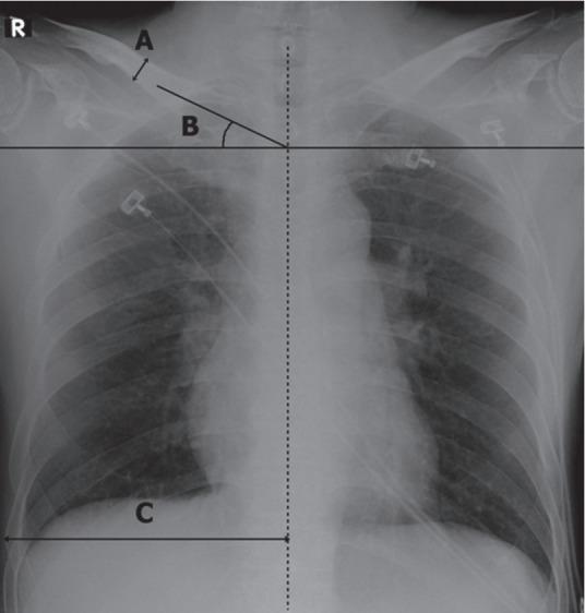
The aim of the present study was to investigate the relation between shoulder position and subclavian central venous (SCV) catheter misplacement. The shoulder position was estimated using clavicular tilt angle (CTA) values observed on anteroposterior chest X-ray images.
A retrospective case-control study was conducted on all adult patients who underwent SCV catheterization in the emergency department during a 12-month period. Collected data included patient age, sex, diagnosis, catheterization side, catheter misplacement, and physician's level of experience in catheterization. The CTA and other radiological variables such as the ipsilateral transverse length of the thorax and thickness of the clavicle were investigated.
Among all central venous catheterizations (n=1,599), the subclavian route was used 981 times (61.4%). There were 51 misplacements of SCV catheters (5.2%) during the study period. There were no differences in the sex, age, blood pressure, and diagnosis between the two groups. The CTA values were 28.5°±7.3° and 22.6°±6.3° in the misplacement group and control group, respectively (95% confidence interval, 3.6 to 8.1; P<0.001).
In this study, the CTA was found to be 5.9° larger in the misplacement group than in the control group. Assuming that CTA indicates the shoulder position, our findings suggest that the chance of SCV catheter misplacement may be reduced by avoiding the shoulder elevated.
本研究旨在探讨肩部位置与锁骨下中心静脉(SCV)导管误置之间的关系。通过在胸部前后位X线图像上观察锁骨倾斜角(CTA)值来评估肩部位置。
对在12个月期间于急诊科接受SCV导管插入术的所有成年患者进行回顾性病例对照研究。收集的数据包括患者年龄、性别、诊断、导管插入侧、导管误置情况以及医生的导管插入经验水平。研究了CTA以及其他放射学变量,如患侧胸廓横向长度和锁骨厚度。
在所有中心静脉导管插入术(n = 1599)中,锁骨下途径使用了981次(61.4%)。在研究期间,有51次SCV导管误置(5.2%)。两组在性别、年龄、血压和诊断方面无差异。误置组和对照组的CTA值分别为28.5°±7.3°和22.6°±6.3°(95%置信区间,3.6至8.1;P<0.001)。
在本研究中,发现误置组的CTA比对照组大5.9°。假设CTA表明肩部位置,我们的研究结果表明,通过避免肩部抬高可降低SCV导管误置的几率。