Suppr超能文献

腹腔干自发性夹层伴脾动脉夹层。

Spontaneous dissection of celiac trunk with concurrent splenic artery dissection.

作者信息

Lee Seo In, Kim Jin Joo, Yang Hyuk Jun, Lee Keun

机构信息

Department of Emergency Medicine, Gachon University Gil Medical Center, Incheon, Korea.

出版信息

Clin Exp Emerg Med. 2015 Dec 28;2(4):256-259. doi: 10.15441/ceem.15.030. eCollection 2015 Dec.

Abstract

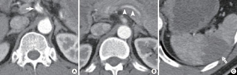
Isolated spontaneous dissection of the celiac trunk is rarely diagnosed in acute abdominal pain. We present two cases of celiac trunk and splenic artery dissection with splenic infarction. Patients were successfully managed and stabilized by medical treatment. Isolated celiac trunk dissection can be fatal, therefore providers should be careful not to overlook this entity.

摘要

孤立性腹腔干自发性夹层分离在急性腹痛中很少被诊断出来。我们报告两例腹腔干和脾动脉夹层分离伴脾梗死的病例。患者通过药物治疗成功得到处理并病情稳定。孤立性腹腔干夹层分离可能是致命的,因此医疗人员应注意不要忽视这一病症。

https://cdn.ncbi.nlm.nih.gov/pmc/blobs/782c/5052905/80cef3af04ff/ceem-15-030f1.jpg

文献AI研究员

20分钟写一篇综述,助力文献阅读效率提升50倍。

立即体验

用中文搜PubMed

大模型驱动的PubMed中文搜索引擎

马上搜索

文档翻译

学术文献翻译模型,支持多种主流文档格式。

立即体验