Suppr超能文献

胰腺癌辅助放疗靶区设计:基于术后局部复发的空间位置

Pancreatic cancer adjuvant radiotherapy target volume design: based on the postoperative local recurrence spatial location.

作者信息

Yu Wei, Hu Wei, Shui Yongjie, Zhu Xiaoyang, Li Chao, Ren Xiaoqiu, Bai Xueli, Yu Risheng, Shen Li, Liang Tingbo, Zheng Lei, Wei Qichun

机构信息

Department of Radiation Oncology, the Second Affiliated Hospital, Zhejiang University School of Medicine, Hangzhou, Zhejiang, 310009, People's Republic of China.

Department of Hepatobiliary and Pancreatic Surgery, the Second Affiliated Hospital, Zhejiang University School of Medicine, Hangzhou, Zhejiang, 310009, People's Republic of China.

出版信息

Radiat Oncol. 2016 Oct 19;11(1):138. doi: 10.1186/s13014-016-0714-7.

Abstract

OBJECTIVES

To explore the areas at highest risk for postoperative pancreatic cancer local recurrence according to the spatial location of local failures, with the aim to provide a precise target volume for pancreatic cancer adjuvant radiotherapy.

METHODS

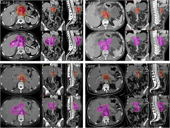
Patients with pancreatic cancer who had undergone surgery for the primary tumor in pancreas at our institution from January 2010 to August 2015 were retrospectively analyzed. All local recurrences were plotted on the computed tomography (CT) image of a representative patient according to their relative coordinates to superior mesenteric artery (SMA) or celiac axis (CA). Adjuvant radiation clinical target volume (CTV)-90 and CTV-80 were created to cover 90 % and 80 % plotted recurrences. This planning approach was applied in four simulated cases with comparison to the plan according to RTOG 0848 contouring consensus guidelines. Raystation v4.5.1.14 was used for analyzing high throughput physics data.

RESULTS

Eighty-three patients with local recurrence were included from 305 postoperative pancreatic cancer patients who did not receive adjuvant radiotherapy. Thirty-one (37 %) patients did not have adjuvant therapy at all, 52 (63 %) patients undergone adjuvant chemotherapy alone. Spatial location of local failure was created. Most recurrences occurred near CA or SMA. CTV-90 was generated through expanding the combined SMA and CA contours by 30 mm right-lateral, 21 mm left-lateral, 20 mm anterior, 13 mm posterior, 10 mm superior, and 20 mm inferior. CTV-80, smaller in volume, was also created for simultaneous integrated boost. Through comparison and analysis of the simulated cases, the radiation volumes proposed were much smaller than those with RTOG 0848 contouring consensus guidelines (average volume: PTV-80 = 120 ml, PTV-90 = 220 ml, RTOG PTV = 490 ml). Accordingly, the organs at risk received less irradiation dose with the proposed CTV-90 and CTV-80.

CONCLUSIONS

Smaller adjuvant radiotherapy CTVs targeting the high-risk local failure areas of postoperative pancreatic cancer were proposed, according to the three-dimensional spatial location of local recurrences. This may help to minimize radiation-related toxicities, achieve dose escalation, and finally reduce local recurrence.

摘要

目的

根据局部复发的空间位置,探索术后胰腺癌局部复发风险最高的区域,旨在为胰腺癌辅助放疗提供精确的靶区体积。

方法

回顾性分析2010年1月至2015年8月在我院接受胰腺原发性肿瘤手术的胰腺癌患者。根据所有局部复发灶相对于肠系膜上动脉(SMA)或腹腔干(CA)的相对坐标,将其绘制在一名代表性患者的计算机断层扫描(CT)图像上。创建辅助放疗临床靶区(CTV)-90和CTV-80,以覆盖90%和80%的绘制复发灶。将这种计划方法应用于4个模拟病例,并与根据RTOG 0848轮廓勾画共识指南制定的计划进行比较。使用Raystation v4.5.1.14分析高通量物理数据。

结果

在305例未接受辅助放疗的术后胰腺癌患者中,纳入了83例局部复发患者。31例(37%)患者根本没有接受辅助治疗,52例(63%)患者仅接受了辅助化疗。确定了局部失败的空间位置。大多数复发发生在CA或SMA附近。通过将SMA和CA的联合轮廓分别向右外侧扩展30mm、向左外侧扩展21mm、向前扩展20mm、向后扩展13mm、向上扩展10mm和向下扩展20mm,生成CTV-90。还创建了体积较小的CTV-80用于同步整合加量。通过对模拟病例的比较和分析,提出的放疗体积远小于根据RTOG 0848轮廓勾画共识指南确定的体积(平均体积:PTV-80 = 120ml,PTV-90 = 220ml,RTOG PTV = 490ml)。因此,使用提出的CTV-90和CTV-80时,危及器官接受的照射剂量较少。

结论

根据局部复发的三维空间位置,提出了针对术后胰腺癌高风险局部失败区域较小的辅助放疗CTV。这可能有助于将放疗相关毒性降至最低,实现剂量递增,并最终减少局部复发。

https://cdn.ncbi.nlm.nih.gov/pmc/blobs/224c/5070214/6a23c98cc122/13014_2016_714_Fig1_HTML.jpg

文献AI研究员

20分钟写一篇综述,助力文献阅读效率提升50倍。

立即体验

用中文搜PubMed

大模型驱动的PubMed中文搜索引擎

马上搜索

文档翻译

学术文献翻译模型,支持多种主流文档格式。

立即体验