Suppr超能文献

在转移性肾细胞癌患者中有效诱导识别源自缺氧诱导蛋白2(HIG2)的表位肽的细胞毒性T细胞。

Effective induction of cytotoxic T cells recognizing an epitope peptide derived from hypoxia-inducible protein 2 (HIG2) in patients with metastatic renal cell carcinoma.

作者信息

Obara Wataru, Karashima Takashi, Takeda Kazuyoshi, Kato Renpei, Kato Yoichiro, Kanehira Mitsugu, Takata Ryo, Inoue Keiji, Katagiri Toyomasa, Shuin Taro, Nakamura Yusuke, Fujioka Tomoaki

机构信息

Department of Urology, Iwate Medical University School of Medicine, 19-1 Uchimaru, Morioka, 020-8505, Japan.

Department of Urology, Kochi Medical School, Kochi, Japan.

出版信息

Cancer Immunol Immunother. 2017 Jan;66(1):17-24. doi: 10.1007/s00262-016-1915-5. Epub 2016 Oct 18.

Abstract

PURPOSE

Through genome-wide expression profile analysis, hypoxia-inducible protein 2 (HIG2) has previously been identified as an oncoprotein involved in development/progression of renal cell carcinoma (RCC). We subsequently identified a highly immunogenic HLA-A*0201/0206-restricted epitope peptide (HIG2-9-4) corresponding to a part of HIG2 and applied it as a therapeutic vaccine. We conducted a phase I clinical trial using the HIG2-9-4 peptide for patients with advanced RCC.

MATERIALS AND METHODS

Nine patients having HLA-A0201 or HLA-A0206 with metastatic or unresectable RCC after failure of the cytokine and/or tyrosine kinase inhibitor therapies were enrolled in this study. The patients received subcutaneous administration of the peptide as an emulsion form with Montanide ISA-51 VG once a week in a dose-escalation manner (doses of 0.5, 1.0, or 3.0 mg/body, 3 patients for each dose). The primary endpoint was safety, and the secondary endpoints were immunological and clinical responses.

RESULTS

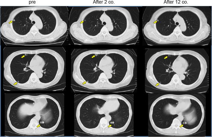
Vaccinations with HIG2-9-4 peptide could be well tolerated without any serious systemic adverse events. Peptide-specific cytotoxic T lymphocyte (CTL) responses were detected in eight of the nine patients. Doses of 1.0 or 3.0 mg/body seemed to induce a CTL response better than did a dose of 0.5 mg/body, although the number of patients was too small to draw a firm conclusion. The disease control rate (stable disease for ≥4 months) was 77.8 %, and the median progression-free survival time was 10.3 months.

CONCLUSIONS

HIG2-9-4 peptide vaccine treatment was tolerable and effectively induced peptide-specific CTLs in RCC patients. This novel peptide vaccine therapy for RCC is promising.

摘要

目的

通过全基因组表达谱分析,缺氧诱导蛋白2(HIG2)先前已被鉴定为参与肾细胞癌(RCC)发生/发展的一种癌蛋白。随后,我们鉴定出了一种与HIG2部分序列相对应的具有高度免疫原性的HLA - A*0201/0206限制性表位肽(HIG2 - 9 - 4),并将其用作治疗性疫苗。我们对晚期RCC患者开展了使用HIG2 - 9 - 4肽的I期临床试验。

材料与方法

本研究纳入了9例细胞因子和/或酪氨酸激酶抑制剂治疗失败后出现转移性或不可切除RCC且具有HLA - A0201或HLA - A0206的患者。患者以剂量递增方式(剂量为0.5、1.0或3.0 mg/体,每个剂量3例患者)每周一次皮下注射该肽与Montanide ISA - 51 VG的乳剂形式。主要终点是安全性,次要终点是免疫和临床反应。

结果

用HIG2 - 9 - 4肽进行疫苗接种耐受性良好,未出现任何严重的全身性不良事件。9例患者中有8例检测到肽特异性细胞毒性T淋巴细胞(CTL)反应。尽管患者数量太少无法得出确凿结论,但1.0或3.0 mg/体的剂量似乎比0.5 mg/体的剂量更能诱导CTL反应。疾病控制率(疾病稳定≥4个月)为77.8%,无进展生存期的中位数为10.3个月。

结论

HIG2 - 9 - 4肽疫苗治疗耐受性良好,且能有效诱导RCC患者产生肽特异性CTL。这种用于RCC的新型肽疫苗疗法很有前景。

https://cdn.ncbi.nlm.nih.gov/pmc/blobs/6fed/11028776/7658739c5766/262_2016_1915_Fig1_HTML.jpg

文献AI研究员

20分钟写一篇综述,助力文献阅读效率提升50倍。

立即体验

用中文搜PubMed

大模型驱动的PubMed中文搜索引擎

马上搜索

文档翻译

学术文献翻译模型,支持多种主流文档格式。

立即体验