Suppr超能文献

通过超声心动图评估左心室整体收缩功能。

Left ventricular global systolic function assessment by echocardiography.

作者信息

Chengode Suresh

机构信息

Senior Consultant, Department of Cardiac Anaesthesia, Sultan Qaboos University Hospital, Muscat, Oman.

出版信息

Ann Card Anaesth. 2016 Oct;19(Supplement):S26-S34. doi: 10.4103/0971-9784.192617.

Abstract

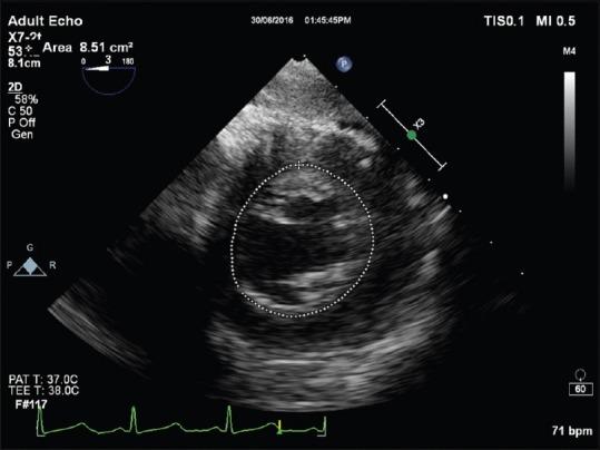
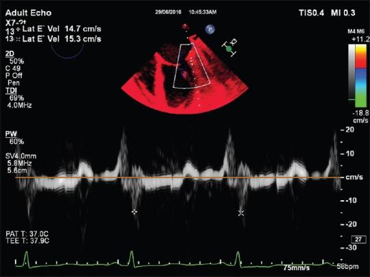
The left ventricle, with its thickened myocardial walls, unlike the right ventricle has no measurable geometric shape. It has a conical apex and its function quantification, needs intensive, 2D, 3D and M mode transesophageal echocardiography, which is described in this review.

摘要

左心室心肌壁增厚,与右心室不同,没有可测量的几何形状。它有一个圆锥形的心尖,其功能量化需要二维、三维和M型经食管超声心动图,本综述对此进行了描述。

https://cdn.ncbi.nlm.nih.gov/pmc/blobs/c75d/5100240/bf672a448838/ACA-19-26-g001.jpg

文献AI研究员

20分钟写一篇综述,助力文献阅读效率提升50倍。

立即体验

用中文搜PubMed

大模型驱动的PubMed中文搜索引擎

马上搜索

文档翻译

学术文献翻译模型,支持多种主流文档格式。

立即体验