• 文献检索
  • 文档翻译
  • 深度研究
  • 学术资讯
  • Suppr Zotero 插件Zotero 插件
  • 邀请有礼
  • 套餐&价格
  • 历史记录
应用&插件
Suppr Zotero 插件Zotero 插件浏览器插件Mac 客户端Windows 客户端微信小程序
定价
高级版会员购买积分包购买API积分包
服务
文献检索文档翻译深度研究API 文档MCP 服务
关于我们
关于 Suppr公司介绍联系我们用户协议隐私条款
关注我们

Suppr 超能文献

核心技术专利:CN118964589B侵权必究
粤ICP备2023148730 号-1Suppr @ 2026

文献检索

告别复杂PubMed语法,用中文像聊天一样搜索,搜遍4000万医学文献。AI智能推荐,让科研检索更轻松。

立即免费搜索

文件翻译

保留排版,准确专业,支持PDF/Word/PPT等文件格式,支持 12+语言互译。

免费翻译文档

深度研究

AI帮你快速写综述,25分钟生成高质量综述,智能提取关键信息,辅助科研写作。

立即免费体验

床旁超声在血流动力学评估中的应用

Point-of-Care Ultrasound Use in Hemodynamic Assessment.

作者信息

Noor Ahmed, Liu Margaret, Jarman Alan, Yamanaka Travis, Kaul Malvika

机构信息

Department of Medicine, University of Illinois at Chicago, Chicago, IL 60612, USA.

Division of Academic Internal Medicine, University of Illinois at Chicago, Chicago, IL 60612, USA.

出版信息

Biomedicines. 2025 Jun 10;13(6):1426. doi: 10.3390/biomedicines13061426.

DOI:10.3390/biomedicines13061426
PMID:40564145
原文链接:https://pmc.ncbi.nlm.nih.gov/articles/PMC12189778/
Abstract

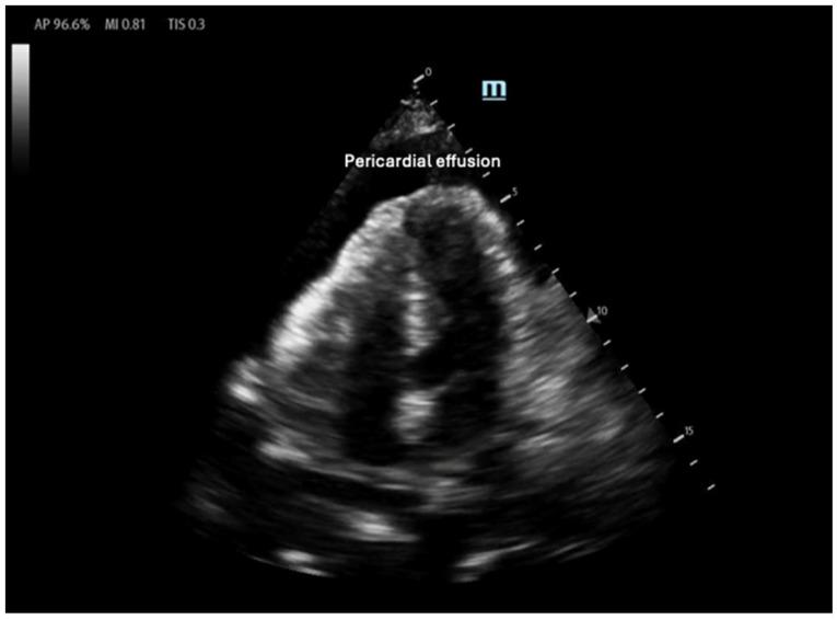
Hemodynamic assessment is critical in emergency and critical care for preventing, diagnosing, and managing shock states that significantly affect patient outcomes. Point-of-care ultrasound (POCUS) has become an invaluable, non-invasive, real-time, and reproducible tool for bedside decision-making. Advancements such as Doppler imaging, advanced critical care ultrasonography, and transesophageal echocardiography (TEE) have expanded its utility, enabling rapid and repeatable evaluations, especially in complex mixed shock presentations. This review explores the role of POCUS in hemodynamic monitoring, emphasizing its ability to assess cardiac output, filling pressures, and vascular congestion, facilitating shock classification and guiding fluid management. We highlight an extensive array of POCUS techniques for evaluating right and left cardiac function and review existing literature on their advantages, limitations, and appropriate clinical applications. Beyond assessing volume status, this review discusses the role of POCUS in predicting fluid responsiveness and supporting more individualized, precise management strategies. Ultimately, while POCUS is a powerful tool for rapid, comprehensive hemodynamic assessment in acute settings, its limitations must be acknowledged and thoughtfully integrated into clinical decision-making.

摘要

血流动力学评估在急诊和重症监护中对于预防、诊断和处理显著影响患者预后的休克状态至关重要。床旁即时超声检查(POCUS)已成为一种用于床边决策的宝贵、非侵入性、实时且可重复的工具。诸如多普勒成像、高级重症监护超声检查和经食管超声心动图(TEE)等技术进步扩展了其用途,能够进行快速且可重复的评估,尤其是在复杂的混合性休克表现中。本综述探讨了POCUS在血流动力学监测中的作用,强调其评估心输出量、充盈压和血管充血情况的能力,有助于休克分类并指导液体管理。我们重点介绍了一系列用于评估左右心功能的POCUS技术,并回顾了关于它们的优势、局限性及适当临床应用的现有文献。除了评估容量状态外,本综述还讨论了POCUS在预测液体反应性以及支持更个体化、精确的管理策略方面的作用。最终,虽然POCUS是急性情况下进行快速、全面血流动力学评估的有力工具,但必须认识到其局限性并谨慎地将其纳入临床决策。

https://cdn.ncbi.nlm.nih.gov/pmc/blobs/5b7d/12189778/2011accf1ab2/biomedicines-13-01426-g015.jpg
https://cdn.ncbi.nlm.nih.gov/pmc/blobs/5b7d/12189778/1f2828f61ea3/biomedicines-13-01426-g001.jpg
https://cdn.ncbi.nlm.nih.gov/pmc/blobs/5b7d/12189778/27fdc191caed/biomedicines-13-01426-g002a.jpg
https://cdn.ncbi.nlm.nih.gov/pmc/blobs/5b7d/12189778/c69c7322a8b0/biomedicines-13-01426-g003.jpg
https://cdn.ncbi.nlm.nih.gov/pmc/blobs/5b7d/12189778/884d85432028/biomedicines-13-01426-g004.jpg
https://cdn.ncbi.nlm.nih.gov/pmc/blobs/5b7d/12189778/a5c55eb2ddfe/biomedicines-13-01426-g005.jpg
https://cdn.ncbi.nlm.nih.gov/pmc/blobs/5b7d/12189778/007b82e0160a/biomedicines-13-01426-g006.jpg
https://cdn.ncbi.nlm.nih.gov/pmc/blobs/5b7d/12189778/d7ad592a8cca/biomedicines-13-01426-g007.jpg
https://cdn.ncbi.nlm.nih.gov/pmc/blobs/5b7d/12189778/7c73aa7e286a/biomedicines-13-01426-g008a.jpg
https://cdn.ncbi.nlm.nih.gov/pmc/blobs/5b7d/12189778/74b7585d2593/biomedicines-13-01426-g009.jpg
https://cdn.ncbi.nlm.nih.gov/pmc/blobs/5b7d/12189778/b326e67a2904/biomedicines-13-01426-g010.jpg
https://cdn.ncbi.nlm.nih.gov/pmc/blobs/5b7d/12189778/5a9e5326d880/biomedicines-13-01426-g011.jpg
https://cdn.ncbi.nlm.nih.gov/pmc/blobs/5b7d/12189778/466966ce566c/biomedicines-13-01426-g012.jpg
https://cdn.ncbi.nlm.nih.gov/pmc/blobs/5b7d/12189778/ba92b2d7a606/biomedicines-13-01426-g013.jpg
https://cdn.ncbi.nlm.nih.gov/pmc/blobs/5b7d/12189778/cfd31f0c5445/biomedicines-13-01426-g014.jpg
https://cdn.ncbi.nlm.nih.gov/pmc/blobs/5b7d/12189778/2011accf1ab2/biomedicines-13-01426-g015.jpg
https://cdn.ncbi.nlm.nih.gov/pmc/blobs/5b7d/12189778/1f2828f61ea3/biomedicines-13-01426-g001.jpg
https://cdn.ncbi.nlm.nih.gov/pmc/blobs/5b7d/12189778/27fdc191caed/biomedicines-13-01426-g002a.jpg
https://cdn.ncbi.nlm.nih.gov/pmc/blobs/5b7d/12189778/c69c7322a8b0/biomedicines-13-01426-g003.jpg
https://cdn.ncbi.nlm.nih.gov/pmc/blobs/5b7d/12189778/884d85432028/biomedicines-13-01426-g004.jpg
https://cdn.ncbi.nlm.nih.gov/pmc/blobs/5b7d/12189778/a5c55eb2ddfe/biomedicines-13-01426-g005.jpg
https://cdn.ncbi.nlm.nih.gov/pmc/blobs/5b7d/12189778/007b82e0160a/biomedicines-13-01426-g006.jpg
https://cdn.ncbi.nlm.nih.gov/pmc/blobs/5b7d/12189778/d7ad592a8cca/biomedicines-13-01426-g007.jpg
https://cdn.ncbi.nlm.nih.gov/pmc/blobs/5b7d/12189778/7c73aa7e286a/biomedicines-13-01426-g008a.jpg
https://cdn.ncbi.nlm.nih.gov/pmc/blobs/5b7d/12189778/74b7585d2593/biomedicines-13-01426-g009.jpg
https://cdn.ncbi.nlm.nih.gov/pmc/blobs/5b7d/12189778/b326e67a2904/biomedicines-13-01426-g010.jpg
https://cdn.ncbi.nlm.nih.gov/pmc/blobs/5b7d/12189778/5a9e5326d880/biomedicines-13-01426-g011.jpg
https://cdn.ncbi.nlm.nih.gov/pmc/blobs/5b7d/12189778/466966ce566c/biomedicines-13-01426-g012.jpg
https://cdn.ncbi.nlm.nih.gov/pmc/blobs/5b7d/12189778/ba92b2d7a606/biomedicines-13-01426-g013.jpg
https://cdn.ncbi.nlm.nih.gov/pmc/blobs/5b7d/12189778/cfd31f0c5445/biomedicines-13-01426-g014.jpg
https://cdn.ncbi.nlm.nih.gov/pmc/blobs/5b7d/12189778/2011accf1ab2/biomedicines-13-01426-g015.jpg

相似文献

1
Point-of-Care Ultrasound Use in Hemodynamic Assessment.床旁超声在血流动力学评估中的应用
Biomedicines. 2025 Jun 10;13(6):1426. doi: 10.3390/biomedicines13061426.
2
The Experiences of Critical Care Nurses Implementing Point-Of-Care Ultrasound: A Qualitative Study.重症护理护士实施床旁超声检查的经验:一项定性研究。
Nurs Crit Care. 2025 Jul;30(4):e70104. doi: 10.1111/nicc.70104.
3
Health professionals' experience of teamwork education in acute hospital settings: a systematic review of qualitative literature.医疗专业人员在急症医院环境中团队合作教育的经验:对定性文献的系统综述
JBI Database System Rev Implement Rep. 2016 Apr;14(4):96-137. doi: 10.11124/JBISRIR-2016-1843.
4
The use of Open Dialogue in Trauma Informed Care services for mental health consumers and their family networks: A scoping review.创伤知情护理服务中使用开放对话模式为心理健康消费者及其家庭网络提供服务:范围综述。
J Psychiatr Ment Health Nurs. 2024 Aug;31(4):681-698. doi: 10.1111/jpm.13023. Epub 2024 Jan 17.
5
What is the value of routinely testing full blood count, electrolytes and urea, and pulmonary function tests before elective surgery in patients with no apparent clinical indication and in subgroups of patients with common comorbidities: a systematic review of the clinical and cost-effective literature.在没有明显临床指征的患者和常见合并症患者亚组中,在择期手术前常规检测全血细胞计数、电解质和尿素以及肺功能测试的价值:对临床和成本效益文献的系统评价。
Health Technol Assess. 2012 Dec;16(50):i-xvi, 1-159. doi: 10.3310/hta16500.
6
Accreditation through the eyes of nurse managers: an infinite staircase or a phenomenon that evaporates like water.护士长眼中的认证:是无尽的阶梯还是如流水般消逝的现象。
J Health Organ Manag. 2025 Jun 30. doi: 10.1108/JHOM-01-2025-0029.
7
Diagnostic Accuracy of History, Physical Examination, Laboratory Tests, and Point-of-care Ultrasound for Pediatric Acute Appendicitis in the Emergency Department: A Systematic Review and Meta-analysis.急诊科小儿急性阑尾炎病史、体格检查、实验室检查及床旁超声的诊断准确性:一项系统评价和荟萃分析
Acad Emerg Med. 2017 May;24(5):523-551. doi: 10.1111/acem.13181.
8
Home treatment for mental health problems: a systematic review.心理健康问题的居家治疗:一项系统综述
Health Technol Assess. 2001;5(15):1-139. doi: 10.3310/hta5150.
9
Signs and symptoms to determine if a patient presenting in primary care or hospital outpatient settings has COVID-19.在基层医疗机构或医院门诊环境中,如果患者出现以下症状和体征,可判断其是否患有 COVID-19。
Cochrane Database Syst Rev. 2022 May 20;5(5):CD013665. doi: 10.1002/14651858.CD013665.pub3.
10
Tissue Doppler Imaging in Acute and Critical Care: Enhancing Diagnostic Precision.急性和重症监护中的组织多普勒成像:提高诊断准确性
Medicina (Kaunas). 2025 Jun 6;61(6):1051. doi: 10.3390/medicina61061051.

本文引用的文献

1
The association between venous excess ultrasound grading system (VExUS) and major adverse kidney events after 30 days in critically ill patients: A prospective cohort study.危重症患者静脉超声评分系统(VExUS)与30天内主要不良肾脏事件之间的关联:一项前瞻性队列研究。
J Crit Care. 2025 Aug;88:155097. doi: 10.1016/j.jcrc.2025.155097. Epub 2025 Apr 25.
2
Guidelines for the Echocardiographic Assessment of the Right Heart in Adults and Special Considerations in Pulmonary Hypertension: Recommendations from the American Society of Echocardiography.成人右心超声心动图评估指南及肺动脉高压的特殊考量:美国超声心动图学会的建议
J Am Soc Echocardiogr. 2025 Mar;38(3):141-186. doi: 10.1016/j.echo.2025.01.006.
3
Assessment of Fluid Responsiveness via Central Venous Ultrasound Measurement: A Network Meta-Analysis.
通过中心静脉超声测量评估液体反应性:一项网状Meta分析。
J Clin Med. 2025 Jan 14;14(2):492. doi: 10.3390/jcm14020492.
4
Assessment of venous congestion with venous excess ultrasound score in the prognosis of acute heart failure in the emergency department: a prospective study.急诊科应用静脉过度超声评分评估静脉淤血对急性心力衰竭预后的影响:一项前瞻性研究
Eur Heart J Open. 2024 Jul 10;4(5):oeae050. doi: 10.1093/ehjopen/oeae050. eCollection 2024 Sep.
5
Point of Care Ultrasound (POCUS) in the Management of Heart Failure: A Narrative Review.床旁超声心动图(POCUS)在心力衰竭管理中的应用:一篇叙述性综述
J Pers Med. 2024 Jul 18;14(7):766. doi: 10.3390/jpm14070766.
6
The prognostic value of right ventricular outflow tract velocity time integral in patients with pulmonary hypertension.右心室流出道速度时间积分对肺动脉高压患者的预后价值。
ESC Heart Fail. 2024 Oct;11(5):3332-3340. doi: 10.1002/ehf2.14934. Epub 2024 Jul 3.
7
Reliability and reproducibility of the venous excess ultrasound (VExUS) score, a multi-site prospective study: validating a novel ultrasound technique for comprehensive assessment of venous congestion.静脉淤血超声(VExUS)评分的可靠性和可重复性:一种多中心前瞻性研究:验证一种新的超声技术全面评估静脉淤血。
Crit Care. 2024 Jun 11;28(1):197. doi: 10.1186/s13054-024-04961-9.
8
Point-of-care ultrasonography spotlight: Could venous excess ultrasound serve as a shared language for internists and intensivists?床旁超声聚焦:静脉过多超声能否成为内科医生和重症医学医生的共同语言?
World J Crit Care Med. 2024 Jun 9;13(2):93206. doi: 10.5492/wjccm.v13.i2.93206.
9
Performance of Intra-arrest Echocardiography: A Systematic Review.心搏骤停时心脏超声的表现:系统评价。
West J Emerg Med. 2024 Mar;25(2):166-174. doi: 10.5811/westjem.18440.
10
Prospective Study of Ultrasound Markers of Organ Congestion in Critically Ill Patients With Acute Kidney Injury.急性肾损伤危重症患者器官充血超声标志物的前瞻性研究
Kidney Int Rep. 2023 Dec 29;9(3):694-702. doi: 10.1016/j.ekir.2023.12.018. eCollection 2024 Mar.