• 文献检索
  • 文档翻译
  • 深度研究
  • 学术资讯
  • Suppr Zotero 插件Zotero 插件
  • 邀请有礼
  • 套餐&价格
  • 历史记录
应用&插件
Suppr Zotero 插件Zotero 插件浏览器插件Mac 客户端Windows 客户端微信小程序
定价
高级版会员购买积分包购买API积分包
服务
文献检索文档翻译深度研究API 文档MCP 服务
关于我们
关于 Suppr公司介绍联系我们用户协议隐私条款
关注我们

Suppr 超能文献

核心技术专利:CN118964589B侵权必究
粤ICP备2023148730 号-1Suppr @ 2026

文献检索

告别复杂PubMed语法,用中文像聊天一样搜索,搜遍4000万医学文献。AI智能推荐,让科研检索更轻松。

立即免费搜索

文件翻译

保留排版,准确专业,支持PDF/Word/PPT等文件格式,支持 12+语言互译。

免费翻译文档

深度研究

AI帮你快速写综述,25分钟生成高质量综述,智能提取关键信息,辅助科研写作。

立即免费体验

尼罗替尼和氟替卡松在慢性哮喘模型中的不同抗重塑作用。

Different anti-remodeling effect of nilotinib and fluticasone in a chronic asthma model.

作者信息

Kang Hye Seon, Rhee Chin Kook, Lee Hea Yon, Yoon Hyoung Kyu, Kwon Soon Seok, Lee Sook Young

机构信息

Division of Pulmonary, Allergy and Critical Care Medicine, Department of Internal Medicine, College of Medicine, Seoul St. Mary's Hospital, The Catholic University of Korea, Seoul, Korea.

Division of Pulmonary, Allergy and Critical Care Medicine, Department of Internal Medicine, College of Medicine, Yeouido St. Mary's Hospital, The Catholic University of Korea, Seoul, Korea.

出版信息

Korean J Intern Med. 2016 Nov;31(6):1150-1158. doi: 10.3904/kjim.2015.002. Epub 2016 Oct 20.

DOI:10.3904/kjim.2015.002
PMID:27764539
原文链接:https://pmc.ncbi.nlm.nih.gov/articles/PMC5094918/
Abstract

BACKGROUND/AIMS: Inhaled corticosteroids are the most effective treatment currently available for asthma, but their beneficial effect against airway remodeling is limited. The tyrosine kinase inhibitor nilotinib has inhibitory activity against c-kit and the platelet-derived growth factor receptor. We compared the effects of fluticasone and nilotinib on airway remodeling in a chronic asthma model. We also examined whether co-treatment with nilotinib and fluticasone had any synergistic effect in preventing airway remodeling.

METHODS

We developed a mouse model of airway remodeling, including smooth muscle thickening, in which ovalbumin (OVA)-sensitized female BALB/c-mice were repeatedly exposed to intranasal OVA administration twice per week for 3 months. Mice were treated with fluticasone and/or nilotinib intranasally during the OVA challenge.

RESULTS

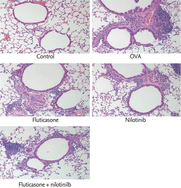
Mice chronically exposed to OVA developed eosinophilic airway inflammation and showed features of airway remodeling, including thickening of the peribronchial smooth muscle layer. Both fluticasone and nilotinib attenuated airway smooth muscle thickening. However, only nilotinib suppressed fibrotic changes, demonstrating inhibition of collagen deposition. Fluticasone reduced pro-inflammatory cells, such as eosinophils, and several cytokines, such as interleukin 4 (IL-4), IL-5, and IL-13, induced by repeated OVA challenges. On the other hand, nilotinib reduced transforming growth factor β1 levels in bronchoalveolar lavage fluid and inhibited fibroblast proliferation significantly.

CONCLUSIONS

These results suggest that fluticasone and nilotinib suppressed airway remodeling in this chronic asthma model through anti-inflammatory and anti-fibrotic pathways, respectively.

摘要

背景/目的:吸入性糖皮质激素是目前治疗哮喘最有效的药物,但其对气道重塑的有益作用有限。酪氨酸激酶抑制剂尼洛替尼对c-kit和血小板衍生生长因子受体具有抑制活性。我们比较了氟替卡松和尼洛替尼对慢性哮喘模型气道重塑的影响。我们还研究了尼洛替尼与氟替卡松联合治疗在预防气道重塑方面是否具有协同作用。

方法

我们建立了一种气道重塑的小鼠模型,包括平滑肌增厚,其中用卵清蛋白(OVA)致敏的雌性BALB/c小鼠每周两次经鼻反复给予OVA,持续3个月。在OVA激发期间,小鼠经鼻给予氟替卡松和/或尼洛替尼。

结果

长期暴露于OVA的小鼠出现嗜酸性气道炎症,并表现出气道重塑的特征,包括支气管周围平滑肌层增厚。氟替卡松和尼洛替尼均减轻了气道平滑肌增厚。然而,只有尼洛替尼抑制了纤维化改变,证明其对胶原沉积有抑制作用。氟替卡松减少了由反复OVA激发诱导的促炎细胞,如嗜酸性粒细胞以及几种细胞因子,如白细胞介素4(IL-4)、IL-5和IL-13。另一方面,尼洛替尼降低了支气管肺泡灌洗液中转化生长因子β1的水平,并显著抑制了成纤维细胞增殖。

结论

这些结果表明,氟替卡松和尼洛替尼在该慢性哮喘模型中分别通过抗炎和抗纤维化途径抑制气道重塑。

https://cdn.ncbi.nlm.nih.gov/pmc/blobs/51b5/5094918/8fca4f8cf651/kjim-2015-002f7.jpg
https://cdn.ncbi.nlm.nih.gov/pmc/blobs/51b5/5094918/005d46c997f8/kjim-2015-002f1.jpg
https://cdn.ncbi.nlm.nih.gov/pmc/blobs/51b5/5094918/1aee3f70f0f2/kjim-2015-002f2.jpg
https://cdn.ncbi.nlm.nih.gov/pmc/blobs/51b5/5094918/f9c173ecdda0/kjim-2015-002f3.jpg
https://cdn.ncbi.nlm.nih.gov/pmc/blobs/51b5/5094918/fda95d4205fa/kjim-2015-002f4.jpg
https://cdn.ncbi.nlm.nih.gov/pmc/blobs/51b5/5094918/edfd4531bdfc/kjim-2015-002f5.jpg
https://cdn.ncbi.nlm.nih.gov/pmc/blobs/51b5/5094918/2291f3157c4d/kjim-2015-002f6.jpg
https://cdn.ncbi.nlm.nih.gov/pmc/blobs/51b5/5094918/8fca4f8cf651/kjim-2015-002f7.jpg
https://cdn.ncbi.nlm.nih.gov/pmc/blobs/51b5/5094918/005d46c997f8/kjim-2015-002f1.jpg
https://cdn.ncbi.nlm.nih.gov/pmc/blobs/51b5/5094918/1aee3f70f0f2/kjim-2015-002f2.jpg
https://cdn.ncbi.nlm.nih.gov/pmc/blobs/51b5/5094918/f9c173ecdda0/kjim-2015-002f3.jpg
https://cdn.ncbi.nlm.nih.gov/pmc/blobs/51b5/5094918/fda95d4205fa/kjim-2015-002f4.jpg
https://cdn.ncbi.nlm.nih.gov/pmc/blobs/51b5/5094918/edfd4531bdfc/kjim-2015-002f5.jpg
https://cdn.ncbi.nlm.nih.gov/pmc/blobs/51b5/5094918/2291f3157c4d/kjim-2015-002f6.jpg
https://cdn.ncbi.nlm.nih.gov/pmc/blobs/51b5/5094918/8fca4f8cf651/kjim-2015-002f7.jpg

相似文献

1
Different anti-remodeling effect of nilotinib and fluticasone in a chronic asthma model.尼罗替尼和氟替卡松在慢性哮喘模型中的不同抗重塑作用。
Korean J Intern Med. 2016 Nov;31(6):1150-1158. doi: 10.3904/kjim.2015.002. Epub 2016 Oct 20.
2
Inhaled corticosteroid prevents the thickening of airway smooth muscle in murine model of chronic asthma.吸入性糖皮质激素可预防慢性哮喘小鼠模型中气道平滑肌增厚。
Pulm Pharmacol Ther. 2008;21(1):14-9. doi: 10.1016/j.pupt.2006.10.009. Epub 2006 Oct 20.
3
Effect of nilotinib on airway remodeling in a murine model of chronic asthma.尼洛替尼对慢性哮喘小鼠模型气道重塑的影响。
Exp Lung Res. 2014 Jun;40(5):199-210. doi: 10.3109/01902148.2013.831959. Epub 2014 May 2.
4
Effect of intranasal rosiglitazone on airway inflammation and remodeling in a murine model of chronic asthma.鼻内给予罗格列酮对慢性哮喘小鼠模型气道炎症和重塑的影响。
Korean J Intern Med. 2016 Jan;31(1):89-97. doi: 10.3904/kjim.2016.31.1.89. Epub 2015 Dec 28.
5
Effect of peroxisome proliferator-activated receptor-gamma on airway smooth muscle thickening in a murine model of chronic asthma.过氧化物酶体增殖物激活受体γ对慢性哮喘小鼠模型气道平滑肌增厚的影响。
Int Arch Allergy Immunol. 2009;148(4):289-96. doi: 10.1159/000170382. Epub 2008 Nov 11.
6
ISO-1, a macrophage migration inhibitory factor antagonist, inhibits airway remodeling in a murine model of chronic asthma.ISO-1,一种巨噬细胞移动抑制因子拮抗剂,可抑制慢性哮喘小鼠模型中的气道重塑。
Mol Med. 2010 Sep-Oct;16(9-10):400-8. doi: 10.2119/molmed.2009.00128. Epub 2010 May 14.
7
Chronic OVA allergen challenged TNF p55/p75 receptor deficient mice have reduced airway remodeling.慢性 OVA 变应原挑战 TNF p55/p75 受体缺陷型小鼠气道重塑减少。
Int Immunopharmacol. 2011 Aug;11(8):1038-44. doi: 10.1016/j.intimp.2011.02.024. Epub 2011 Mar 5.
8
Effects of the combined extracts of Herba Epimedii and Fructus Ligustrilucidi on airway remodeling in the asthmatic rats with the treatment of budesonide.淫羊藿与女贞子联合提取物对布地奈德治疗的哮喘大鼠气道重塑的影响
BMC Complement Altern Med. 2017 Aug 1;17(1):380. doi: 10.1186/s12906-017-1891-0.
9
Effect of roflumilast on airway remodelling in a murine model of chronic asthma.罗氟司特对慢性哮喘小鼠模型气道重塑的影响。
Clin Exp Allergy. 2016 May;46(5):754-63. doi: 10.1111/cea.12670.
10
Corticosteroids and antigen avoidance decrease airway smooth muscle mass in an equine asthma model.皮质类固醇和抗原回避可减少马哮喘模型中的气道平滑肌质量。
Am J Respir Cell Mol Biol. 2012 Nov;47(5):589-96. doi: 10.1165/rcmb.2011-0363OC. Epub 2012 Jun 21.

引用本文的文献

1
Roles of PDGF/PDGFR signaling in various organs.血小板衍生生长因子/血小板衍生生长因子受体信号通路在各器官中的作用。
Korean J Physiol Pharmacol. 2025 Mar 1;29(2):139-155. doi: 10.4196/kjpp.24.309. Epub 2024 Oct 31.
2
Effects of human adipose tissue- and bone marrow-derived mesenchymal stem cells on airway inflammation and remodeling in a murine model of chronic asthma.人脂肪组织和骨髓间充质干细胞对慢性哮喘小鼠模型气道炎症和重塑的影响。
Sci Rep. 2022 Jul 14;12(1):12032. doi: 10.1038/s41598-022-16165-8.
3
Ding Chuan Tang Attenuates Airway Inflammation and Eosinophil Infiltration in Ovalbumin-Sensitized Asthmatic Mice.

本文引用的文献

1
Transforming growth factor β and severe asthma: a perfect storm.转化生长因子β与重症哮喘:一场完美风暴。
Respir Med. 2014 Oct;108(10):1409-23. doi: 10.1016/j.rmed.2014.08.008. Epub 2014 Sep 6.
2
Tracking anti-fibrotic pathways of nilotinib and imatinib in experimentally induced liver fibrosis: an insight.尼洛替尼和伊马替尼在实验性诱导肝纤维化中的抗纤维化途径追踪:一项见解
Clin Exp Pharmacol Physiol. 2014 Oct;41(10):788-97. doi: 10.1111/1440-1681.12286.
3
Effect of nilotinib on airway remodeling in a murine model of chronic asthma.
定喘汤减轻卵清蛋白致敏哮喘小鼠气道炎症和嗜酸性粒细胞浸润。
Biomed Res Int. 2021 Sep 20;2021:6692772. doi: 10.1155/2021/6692772. eCollection 2021.
4
Role of Platelet-Derived Growth Factor (PDGF) in Asthma as an Immunoregulatory Factor Mediating Airway Remodeling and Possible Pharmacological Target.血小板衍生生长因子(PDGF)作为介导气道重塑的免疫调节因子在哮喘中的作用及可能的药理学靶点。
Front Pharmacol. 2020 Feb 14;11:47. doi: 10.3389/fphar.2020.00047. eCollection 2020.
尼洛替尼对慢性哮喘小鼠模型气道重塑的影响。
Exp Lung Res. 2014 Jun;40(5):199-210. doi: 10.3109/01902148.2013.831959. Epub 2014 May 2.
4
Nilotinib.尼洛替尼
Recent Results Cancer Res. 2014;201:67-80. doi: 10.1007/978-3-642-54490-3_3.
5
Airway smooth muscle in airway reactivity and remodeling: what have we learned?气道平滑肌在气道反应性和重塑中的作用:我们学到了什么?
Am J Physiol Lung Cell Mol Physiol. 2013 Dec;305(12):L912-33. doi: 10.1152/ajplung.00259.2013. Epub 2013 Oct 18.
6
Mechanisms of airway remodeling.气道重塑的机制。
Chest. 2013 Sep;144(3):1026-1032. doi: 10.1378/chest.12-3073.
7
Airway remodelling in asthma and novel therapy.哮喘中的气道重塑与新型疗法。
Asian Pac J Allergy Immunol. 2013 Mar;31(1):3-10.
8
Glucocorticoid-induced changes in gene expression of airway smooth muscle in patients with asthma.哮喘患者气道平滑肌中糖皮质激素诱导的基因表达变化。
Am J Respir Crit Care Med. 2013 May 15;187(10):1076-84. doi: 10.1164/rccm.201210-1886OC.
9
Cross-talk between transforming growth factor-β₁ and muscarinic M₂ receptors augments airway smooth muscle proliferation.转化生长因子-β₁与毒蕈碱 M₂受体间的串话增强气道平滑肌增殖。
Am J Respir Cell Mol Biol. 2013 Jul;49(1):18-27. doi: 10.1165/rcmb.2012-0261OC.
10
Noncanonical WNT-5A signaling regulates TGF-β-induced extracellular matrix production by airway smooth muscle cells.非经典 WNT-5A 信号通路调控气道平滑肌细胞 TGF-β诱导的细胞外基质产生。
FASEB J. 2013 Apr;27(4):1631-43. doi: 10.1096/fj.12-217539. Epub 2012 Dec 19.