Sweidan Alexander J, Singh Navneet K, Dang Natasha, Lam Vinh, Datta Jyoti
Department of Internal Medicine, St. Mary's Medical Center, University of California, Los Angeles, Long Beach, CA, USA.
Charles R. Drew University of Medicine and Science, David Geffen School of Medicine at the University of California, Los Angeles, CA, USA.
Clin Med Insights Case Rep. 2016 Oct 9;9:91-94. doi: 10.4137/CCRep.S39809. eCollection 2016.
Amiodarone is often used in the suppression of tachyarrhythmias. One of the more serious adverse effects includes amiodarone pulmonary toxicity (APT). Several pulmonary diseases can manifest including interstitial pneumonitis, organizing pneumonia, acute respiratory distress syndrome, diffuse alveolar hemorrhage, pulmonary nodules or masses, and pleural effusion. Incidence of APT varies from 5-15% and is correlated to dosage, age of the patient, and preexisting lung disease.
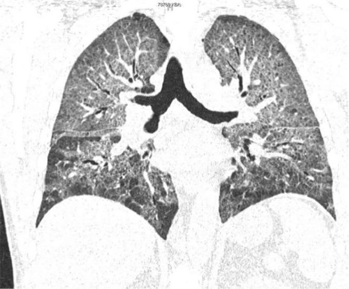
A 56-year-old male with a past medical history of coronary artery disease and chronic obstructive pulmonary disease was admitted for a coronary artery bypass graft. Post-operatively, the patient was admitted to the ICU for ventilator management and continued to receive his home dose of amiodarone 400 mg orally twice daily, which he had been taking for the past 3 months. The patient was found to be hypoxemic with a PaO2 52 mmHg and bilateral infiltrates on chest x-ray. Patient also complained of new onset dyspnea. Physical exam found bilateral rhonchi with bibasilar crackles and subcutaneous emphysema along the left anterior chest wall. Daily chest x-rays showed worsening of bilateral interstitial infiltrates and pleural effusions. A chest high-resolution computed tomography on post-operative day 3 showed extensive and severe bilateral ground glass opacities. APT was suspected and amiodarone was discontinued. A course of oral prednisone without antibiotics was initiated, and after one week of treatment the chest film cleared, the PaO2 value normalized and dyspnea resolved.
APT occurs via cytotoxic T cells and indirectly by immunological reaction. Typically the lungs manifest a diffuse interstitial pneumonitis with varying degrees of fibrosis. Infiltrates with a 'ground-glass' appearance appreciated on HRCT are more definitive than chest x-ray. Pulmonary nodules can be seen, frequently in the upper lobes. These are postulated to be accumulations of amiodarone in areas of previous inflammation. Those undergoing major cardiothoracic surgery are known to be predisposed to APT. Some elements require consideration: a baseline pulmonary function test (PFT) did not exist prior. APT would manifest a restrictive pattern of PFTs. In APT diffusing capacity (DLCO) is generally >20 percent from baseline. A DLCO was not done in this patient. Therefore, not every type of interstitial lung disease could be ruled out. Key features support a clinical diagnosis: (1) new dyspnea, (2) exclusion of lung infection, (3) exclusion of heart failure, (4) new radiographic features, (5) improvement with withdrawal of amiodarone. Our case illustrates consideration of APT in patients who have extensive use of amiodarone and new onset dyspnea.
胺碘酮常用于抑制快速性心律失常。其较为严重的不良反应之一包括胺碘酮肺毒性(APT)。可出现多种肺部疾病表现,包括间质性肺炎、机化性肺炎、急性呼吸窘迫综合征、弥漫性肺泡出血、肺结节或肿块以及胸腔积液。APT的发生率在5%至15%之间,与剂量、患者年龄及原有肺部疾病相关。
一名56岁男性,有冠状动脉疾病和慢性阻塞性肺疾病病史,因冠状动脉搭桥术入院。术后,患者因呼吸机管理入住重症监护病房,并继续每日口服其在家服用的400毫克胺碘酮,已服用3个月。患者被发现低氧血症,动脉血氧分压(PaO2)为52毫米汞柱,胸部X线显示双侧浸润影。患者还主诉新发呼吸困难。体格检查发现双侧有干啰音,双肺底有湿啰音,左前胸壁有皮下气肿。每日胸部X线显示双侧间质性浸润影和胸腔积液加重。术后第3天的胸部高分辨率计算机断层扫描显示广泛且严重的双侧磨玻璃样混浊。怀疑为APT,停用胺碘酮。开始给予口服泼尼松疗程且未使用抗生素,治疗一周后胸部影像学表现清晰,PaO2值恢复正常,呼吸困难缓解。
APT通过细胞毒性T细胞发生,并通过免疫反应间接导致。典型情况下,肺部表现为弥漫性间质性肺炎并伴有不同程度的纤维化。高分辨率计算机断层扫描(HRCT)上出现的“磨玻璃”样浸润影比胸部X线更具诊断意义。可看到肺结节,常见于上叶。推测这些结节是胺碘酮在先前炎症区域的积聚。已知接受心胸大手术的患者易患APT。有些因素需要考虑:之前没有基线肺功能测试(PFT)。APT在PFT上会表现为限制性模式。在APT中,弥散功能(DLCO)通常较基线下降>20%。该患者未进行DLCO检查。因此,不能排除每种类型的间质性肺病。支持临床诊断的关键特征包括:(1)新发呼吸困难,(2)排除肺部感染,(3)排除心力衰竭,(4)新的影像学特征,(5)停用胺碘酮后病情改善。我们的病例说明了在大量使用胺碘酮且新发呼吸困难的患者中考虑APT的情况。