• 文献检索
  • 文档翻译
  • 深度研究
  • 学术资讯
  • Suppr Zotero 插件Zotero 插件
  • 邀请有礼
  • 套餐&价格
  • 历史记录
应用&插件
Suppr Zotero 插件Zotero 插件浏览器插件Mac 客户端Windows 客户端微信小程序
定价
高级版会员购买积分包购买API积分包
服务
文献检索文档翻译深度研究API 文档MCP 服务
关于我们
关于 Suppr公司介绍联系我们用户协议隐私条款
关注我们

Suppr 超能文献

核心技术专利:CN118964589B侵权必究
粤ICP备2023148730 号-1Suppr @ 2026

文献检索

告别复杂PubMed语法,用中文像聊天一样搜索,搜遍4000万医学文献。AI智能推荐,让科研检索更轻松。

立即免费搜索

文件翻译

保留排版,准确专业,支持PDF/Word/PPT等文件格式,支持 12+语言互译。

免费翻译文档

深度研究

AI帮你快速写综述,25分钟生成高质量综述,智能提取关键信息,辅助科研写作。

立即免费体验

正常血脂患者的原发性骨内黄瘤累及股骨近端:一例报告

Primary Intraosseus Xanthoma Involving the Proximal Femur in a Normolipidemic Patient: A Case Report.

作者信息

Shin Won Chul, Moon Nam Hoon, Suh Kuen Tak

机构信息

Department of Orthopaedic Surgery, Pusan National University Yangsan Hospital, Pusan National University School of Medicine, Korea.

Department of Orthopaedic Surgery, Pusan National University Hospital, Pusan National University School of Medicine, Korea.

出版信息

Hip Pelvis. 2016 Sep;28(3):182-186. doi: 10.5371/hp.2016.28.3.182. Epub 2016 Sep 30.

DOI:10.5371/hp.2016.28.3.182
PMID:27777923
原文链接:https://pmc.ncbi.nlm.nih.gov/articles/PMC5067397/
Abstract

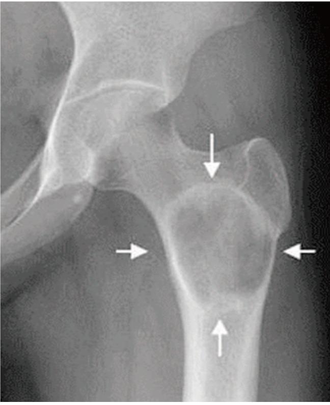
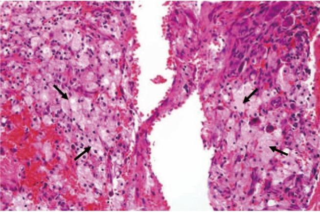
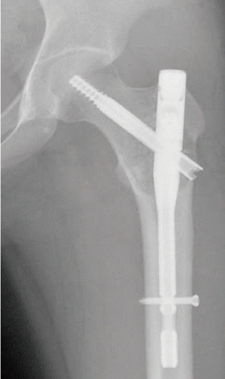
We report the case of a 25-year-old woman presenting with left hip pain. A lesion was found in the proximal femoral metaphysis. Benign bone tumor, such as intraosseous lipoma or liposclerosing myxofibrous tumor, was suspected based on simple radiographs and magnetic resonance images. Curettage of the lesion and bone grafting was performed. Histologic findings reflected primary intraosseous xanthoma of the proximal femur. Laboratory tests revealed the patient to be normolipidemic, while immunoelectrophoretic fractionation of lipoproteins revealed normal values for alpha, pre-beta, beta, and chylomicrons. At the one-year follow-up, there was no evidence of local recurrence. This is the first reported case of primary intraosseous xanthoma of the proximal femur in a normolipidemic patient.

摘要

我们报告了一例25岁女性因左髋部疼痛就诊的病例。在股骨近端干骺端发现一个病灶。基于普通X线片和磁共振成像,怀疑为良性骨肿瘤,如骨内脂肪瘤或脂肪硬化性黏液纤维瘤。对病灶进行了刮除和植骨。组织学检查结果显示为股骨近端原发性骨内黄瘤。实验室检查显示患者血脂正常,而脂蛋白免疫电泳分离显示α、前β、β和乳糜微粒值正常。在一年的随访中,没有局部复发的迹象。这是首例血脂正常患者的股骨近端原发性骨内黄瘤报告病例。

https://cdn.ncbi.nlm.nih.gov/pmc/blobs/1fea/5067397/d7409e50a479/hp-28-182-g005.jpg
https://cdn.ncbi.nlm.nih.gov/pmc/blobs/1fea/5067397/7981cdf277b5/hp-28-182-g001.jpg
https://cdn.ncbi.nlm.nih.gov/pmc/blobs/1fea/5067397/8a87367c4ca6/hp-28-182-g002.jpg
https://cdn.ncbi.nlm.nih.gov/pmc/blobs/1fea/5067397/e18587666029/hp-28-182-g003.jpg
https://cdn.ncbi.nlm.nih.gov/pmc/blobs/1fea/5067397/d305049bee0d/hp-28-182-g004.jpg
https://cdn.ncbi.nlm.nih.gov/pmc/blobs/1fea/5067397/d7409e50a479/hp-28-182-g005.jpg
https://cdn.ncbi.nlm.nih.gov/pmc/blobs/1fea/5067397/7981cdf277b5/hp-28-182-g001.jpg
https://cdn.ncbi.nlm.nih.gov/pmc/blobs/1fea/5067397/8a87367c4ca6/hp-28-182-g002.jpg
https://cdn.ncbi.nlm.nih.gov/pmc/blobs/1fea/5067397/e18587666029/hp-28-182-g003.jpg
https://cdn.ncbi.nlm.nih.gov/pmc/blobs/1fea/5067397/d305049bee0d/hp-28-182-g004.jpg
https://cdn.ncbi.nlm.nih.gov/pmc/blobs/1fea/5067397/d7409e50a479/hp-28-182-g005.jpg

相似文献

1
Primary Intraosseus Xanthoma Involving the Proximal Femur in a Normolipidemic Patient: A Case Report.正常血脂患者的原发性骨内黄瘤累及股骨近端:一例报告
Hip Pelvis. 2016 Sep;28(3):182-186. doi: 10.5371/hp.2016.28.3.182. Epub 2016 Sep 30.
2
Recurrence of a primary xanthoma of the humerus in a 9-year-old normolipidemic child.一名9岁血脂正常儿童肱骨原发性黄瘤复发。
Arch Pediatr. 2019 Oct;26(7):411-414. doi: 10.1016/j.arcped.2019.09.010. Epub 2019 Oct 17.
3
Intraosseous xanthoma without lipid disorders. Case-report and literature review.无脂质紊乱的骨内黄瘤。病例报告及文献综述。
Joint Bone Spine. 2000 Jan;67(1):71-4.
4
[Diagnostic imaging of liposclerosing myxofibrous tumor of bone].[骨脂肪硬化性黏液纤维性肿瘤的诊断性影像学检查]
Radiologia. 2010 May-Jun;52(3):251-4. doi: 10.1016/j.rx.2009.12.012. Epub 2010 Mar 19.
5
Liposclerosing myxofibrous tumor of the distal femur: A case report.股骨远端脂肪硬化性黏液纤维瘤:一例报告
Front Surg. 2023 Jan 6;9:1009975. doi: 10.3389/fsurg.2022.1009975. eCollection 2022.
6
Liposclerosing myxofibrous tumor: a rare tumor of proximal femur.脂肪硬化性黏液纤维瘤:一种罕见的股骨近端肿瘤。
Eklem Hastalik Cerrahisi. 2017 Dec;28(3):210-3. doi: 10.5606/ehc.2017.48394.
7
Rare case of intraosseous lipoma with proximal femoral localization causing cortical expansion.罕见的股骨近端骨内脂肪瘤病例,导致皮质扩张。
J Natl Med Assoc. 2006 Oct;98(10):1702-4.
8
[Liposclerosing myxofibrous tumor of bone: a clinicopathologic analysis].[骨脂肪硬化性黏液纤维瘤:临床病理分析]
Zhonghua Bing Li Xue Za Zhi. 2016 Jan;45(1):21-4. doi: 10.3760/cma.j.issn.0529-5807.2016.01.006.
9
Case report: two-step malignant transformation of a liposclerosing myxofibrous tumor of bone.病例报告:骨脂肪硬化性黏液纤维瘤的两步恶性转化
Clin Orthop Relat Res. 2008 Nov;466(11):2873-7. doi: 10.1007/s11999-008-0362-9. Epub 2008 Jul 8.
10
Intraosseous leiomyoma of the distal femur: a case report and review of literatures.股骨远端骨内平滑肌瘤:一例报告并文献复习
Eur J Orthop Surg Traumatol. 2012 Nov;22 Suppl 1:161-5. doi: 10.1007/s00590-011-0874-y. Epub 2011 Sep 27.

引用本文的文献

1
Juvenile Xanthogranuloma Involving the Left Femur: A Case Report and Literature Review.累及左股骨的幼年性黄色肉芽肿:病例报告及文献复习
Int Med Case Rep J. 2024 Dec 7;17:1003-1007. doi: 10.2147/IMCRJ.S475662. eCollection 2024.
2
Yellowish nodular changes in infants - juvenile xanthogranuloma and xanthoma.婴儿的淡黄色结节性病变——幼年性黄色肉芽肿和黄瘤
Postepy Dermatol Alergol. 2021 Feb;38(2):159-162. doi: 10.5114/ada.2021.104292. Epub 2021 Mar 10.

本文引用的文献

1
Giant Cell Tumor of Bone - An Overview.骨巨细胞瘤——概述
Arch Bone Jt Surg. 2016 Jan;4(1):2-9.
2
Bilateral primary xanthoma of the humeri with pathologic fractures: A case report.双侧肱骨原发性黄瘤伴病理性骨折:一例报告。
World J Radiol. 2013 Sep 28;5(9):345-8. doi: 10.4329/wjr.v5.i9.345.
3
Osseous lipoma: eleven new cases and review of the literature.骨脂肪瘤:11例新病例及文献综述
Acta Orthop Belg. 2006 Oct;72(5):603-14.
4
Xanthoma of bone: first sign of hyperlipidemia type IIB: a case report.骨黄瘤:IIB型高脂血症的首发体征:病例报告
Clin Orthop Relat Res. 2003 May(410):274-7. doi: 10.1097/01.blo.0000063790.32430.10.
5
Multimodality imaging features of primary xanthoma of the calcaneus.跟骨原发性黄色瘤的多模态影像学特征。
Skeletal Radiol. 2003 Jun;32(6):367-70. doi: 10.1007/s00256-003-0627-z. Epub 2003 Apr 26.
6
Xanthoma of bone in a normolipidemic child: report of one case.血脂正常儿童的骨黄瘤:1例报告
Acta Paediatr Taiwan. 2000 May-Jun;41(3):158-60.
7
Intraosseous xanthoma without lipid disorders. Case-report and literature review.无脂质紊乱的骨内黄瘤。病例报告及文献综述。
Joint Bone Spine. 2000 Jan;67(1):71-4.
8
Xanthoma of bone.
Am J Clin Pathol. 1988 Oct;90(4):377-84. doi: 10.1093/ajcp/90.4.377.
9
Radiographic and radioisotope evaluation of intra-osseous xanthoma.骨内黄瘤的影像学及放射性核素评估
Br J Radiol. 1976 Mar;49(579):281-5. doi: 10.1259/0007-1285-49-579-281.
10
Osseous xanthoma and multiple hand tumors as a complication of hyperlipidemia. Report of a case.骨黄色瘤和多发性手部肿瘤作为高脂血症的一种并发症。病例报告。
J Bone Joint Surg Am. 1975 Jun;57(4):551-3.