Suppr超能文献

中国一例闭孔疝导致右大腿脓肿的病例。

A case of obturator hernia leading to right thigh abscess in China.

作者信息

Shen Zhen, Zhi Chen-Yang, Wang Ruo-Nan, Gao Hai-Cheng

机构信息

Department of Surgery, China-Japan Union Hospital of Jilin University, Changchun, 130041, China.

Department of Surgery, Changchun University of Chinese Medicine, Changchun, 130000, China.

出版信息

Int J Surg Case Rep. 2016;28:340-343. doi: 10.1016/j.ijscr.2016.10.044. Epub 2016 Oct 19.

Abstract

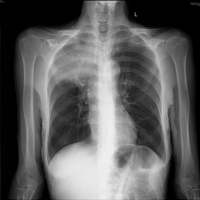
The purpose of this case is to investigate a case of obturator hernia leading to right thigh abscess on 68-year-old woman of China. A 68-year-old Chinese woman was referred to China-Japan Friendship Hospital of Jilin University with abdominal pain, bloating, exhaust, stop defecation in 2011. She had chronic bronchitis, emphysema with a history of 20 years. This patient did not have any bad habits, such as smoking, alcohol consumption, etc. In this surgery, CT was used to diagnose the basic condition of the patient. Surgery was used for treatment of patients with diseases. In addition, this operation was performed by the china-Japan Friendship Hospital of Jilin University. The results of this case showed that the cervix of rectal right anterior wall can hit a funicular neoplasm, toughening, smooth, with tenderness, considering for the external pressure bowel loops. The inside of the right thigh showed obvious swelling, skin slightly bruising, and tenderness. Chest radiographs showed that patients had emphysema, multiple planes of fluid and air in the abdomen. Patients had been successfully operated, but she died because of severe infection.

摘要

本病例的目的是调查一名68岁中国女性因闭孔疝导致右大腿脓肿的病例。一名68岁的中国女性于2011年因腹痛、腹胀、排气、停止排便被转诊至吉林大学中日联谊医院。她有20年慢性支气管炎、肺气肿病史。该患者没有吸烟、饮酒等任何不良习惯。在此次手术中,使用CT诊断患者的基本病情。采用手术治疗该患者的疾病。此外,此次手术由吉林大学中日联谊医院实施。该病例结果显示,直肠右前壁宫颈可触及条索状肿物,质韧,表面光滑,有压痛,考虑为肠管外压。右大腿内侧明显肿胀,皮肤轻度瘀斑,有压痛。胸部X线片显示患者有肺气肿,腹部有多个气液平面。患者手术成功,但因严重感染死亡。

https://cdn.ncbi.nlm.nih.gov/pmc/blobs/996f/5080558/a5be8eaa79f1/gr1.jpg

文献AI研究员

20分钟写一篇综述,助力文献阅读效率提升50倍。

立即体验

用中文搜PubMed

大模型驱动的PubMed中文搜索引擎

马上搜索

文档翻译

学术文献翻译模型,支持多种主流文档格式。

立即体验