Wang Lan, Zhang Xie, Li Yong-Xian, Xu Lie-Qiang, Li Cai-Lan, Zhang Zhen-Biao, Liang Jia-Li, Su Zi-Ren, Zeng Hui-Fang, Li Yu-Cui
The First Affiliated Hospital of Chinese Medicine, Guangzhou University of Chinese Medicine, 12 Airport Road, Bai Yun District, Guangzhou 510405, China.
School of Chinese Medicine, Faculty of Science, The Chinese University of Hong Kong, Shatin, Hong Kong.
Evid Based Complement Alternat Med. 2016;2016:9623957. doi: 10.1155/2016/9623957. Epub 2016 Oct 25.
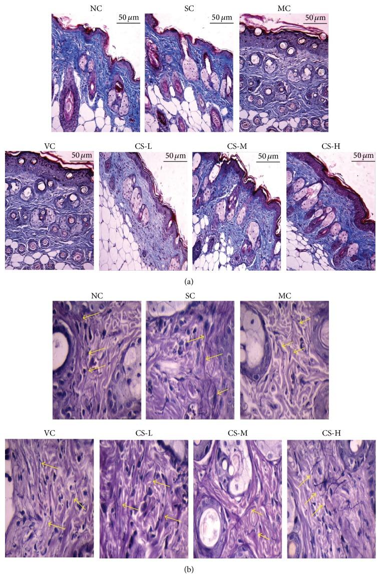
(Thunb.) C.Y.Wu (CS) is commonly used to treat kidney diseases in traditional Chinese medicine for its prominent anti-inflammatory effect and nourishing function to kidneys. In this study, aqueous extract of CS was assessed for its protective effect on UV-induced skin damage of mice. The chemical compositions of CS aqueous extract were determined by HPLC-ESI-MS/MS, in which 10 components were identified. During the experimental period, CS (0.9, 1.8, and 3.6 g/mL) was externally applied to shaved dorsal skins of mice prior to UV irradiation, daily for ten weeks. The results presented that CS (3.6 g/mL) apparently improved photodamaged skin appearance such as erythema, edema, and coarseness. The abnormal epidermal thickening was significantly reduced, and the dermal structures became more complete. The underlying protective mechanisms were associated with improving antioxidant enzymes activities including superoxide dismutase (SOD), catalase (CAT), and glutathione peroxidase (GSH-Px), downregulating inflammatory cytokines (IL-1, IL-6, TNF-, COX-2, and PGE) expressions, recovering collagen density, and reducing matrix metalloproteinases productions. Sun protection factor of CS (3.6 g/mL) was 16.21 ± 0.03. Our findings for the first time demonstrated that CS had therapeutic effect on the photoaged skin. The results indicated that CS is a potential agent for photoprotective cosmetics.
(Thunb.)C.Y.Wu(CS)因其显著的抗炎作用和对肾脏的滋养功能,在传统中医中常用于治疗肾脏疾病。在本研究中,评估了CS水提取物对紫外线诱导的小鼠皮肤损伤的保护作用。通过HPLC-ESI-MS/MS测定了CS水提取物的化学成分,鉴定出10种成分。在实验期间,在紫外线照射前,将CS(0.9、1.8和3.6 g/mL)每天外用在剃毛的小鼠背部皮肤上,持续十周。结果表明,CS(3.6 g/mL)明显改善了光损伤皮肤的外观,如红斑、水肿和粗糙。异常的表皮增厚明显减轻,真皮结构变得更加完整。潜在的保护机制与提高抗氧化酶活性有关,包括超氧化物歧化酶(SOD)、过氧化氢酶(CAT)和谷胱甘肽过氧化物酶(GSH-Px),下调炎性细胞因子(IL-1、IL-6、TNF-、COX-2和PGE)的表达,恢复胶原蛋白密度,并减少基质金属蛋白酶的产生。CS(3.6 g/mL)的防晒系数为16.21±0.03。我们的研究首次证明CS对光老化皮肤有治疗作用。结果表明,CS是一种潜在的光保护化妆品原料。