Suppr超能文献

复杂性空肠憩室病:伴梗阻的小肠扭转

Complicated Jejunal Diverticulosis: Small Bowel Volvulus with Obstruction.

作者信息

Mohi Rommel Singh, Moudgil Ashish, Bhatia Suresh Kumar, Seth Kaushal, Kaur Tajinder

机构信息

Department of Surgery, Govt. Medical College and Rajindra Hospital Patiala, Punjab, India.

Intern Govt. Medical College and Rajindra Hospital Patiala, Punjab, India.

出版信息

Iran J Med Sci. 2016 Nov;41(6):548-551.

Abstract

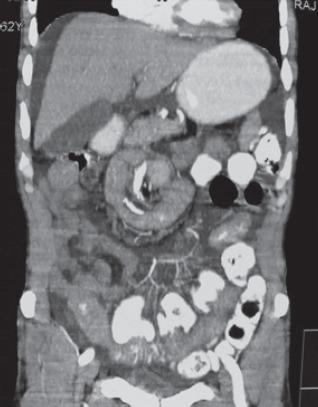
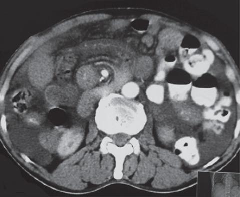
The incidence of the diverticulum of the small bowel varies from 0.2-1.3% in autopsy studies to 2.3% when assessed on enteroclysis. It occurs mostly in patients in the 6 decade of their life. Of all the small bowel diverticuli, jejunal diverticulum is the most common type. This rare entity is usually asymptomatic. However, they may cause chronic non-specific symptoms for a long period of time like dyspepsia, chronic postprandial pain, nausea, vomiting, borborgymi, alternating diarrhoea and constipation, weight loss, anaemia, steatorrhea or rarely lead to complications like haemorrhage, obstruction, perforation. Obstruction can be due to enterolith, adhesions, intussusception, and volvulus. The condition is difficult to diagnose because patients are generally presented with symptoms that mimic other diseases. It is important for clinicians to have awareness of this entity. Here, we present a case of multiple jejunal diverticuli with a history of repeated attacks of diverticulitis over past 20 years, which were misdiagnosed and now presented with intestinal obstruction due to volvulus of the involved segment along with mesentery around its axis. Resection of the diverticuli segment of jejunum was done with end-to-end jejuno-jejunal anastomosis. The patient is asymptomatic since 10 months of follow-up.

摘要

小肠憩室的发生率在尸检研究中为0.2%-1.3%,而在小肠灌肠检查时评估为2.3%。它大多发生在60岁左右的患者中。在所有小肠憩室中,空肠憩室是最常见的类型。这种罕见的病症通常无症状。然而,它们可能会长期引起慢性非特异性症状,如消化不良、慢性餐后疼痛、恶心、呕吐、腹鸣、腹泻与便秘交替、体重减轻、贫血、脂肪泻,或很少导致出血、梗阻、穿孔等并发症。梗阻可能是由于肠石、粘连、肠套叠和肠扭转引起的。这种病症很难诊断,因为患者通常表现出类似其他疾病的症状。临床医生了解这种病症很重要。在此,我们报告一例有20年反复憩室炎发作史的多发空肠憩室病例,该病例曾被误诊,现在因受累肠段连同其系膜围绕其轴扭转而出现肠梗阻。对空肠憩室段进行了切除,并进行了端端空肠吻合术。随访10个月以来,患者无症状。

https://cdn.ncbi.nlm.nih.gov/pmc/blobs/78ca/5106572/538b55afefab/IJMS-41-548-g001.jpg

相似文献

6
Volvulus complicating jejunal diverticulosis: A case report.
Int J Surg Case Rep. 2015;9:61-4. doi: 10.1016/j.ijscr.2015.02.017. Epub 2015 Feb 13.
7
Jejunal Diverticulosis Causing Small Intestinal Volvulus and Closed Loop Obstruction.
Am J Case Rep. 2024 May 2;25:e943376. doi: 10.12659/AJCR.943376.
8
Jejunal diverticulosis: a rare case of intestinal obstruction.
J Surg Case Rep. 2016 Feb 1;2016(2):rjv176. doi: 10.1093/jscr/rjv176.
9
Jejunal Diverticular Perforation due to Enterolith.
Case Rep Gastroenterol. 2011 May;5(2):445-51. doi: 10.1159/000330842. Epub 2011 Aug 18.
10
Small Bowel Obstruction Due to Enterolith in a Patient with Diffuse Jejuno-Ileal Diverticulosis.
J Belg Soc Radiol. 2018 Jan 31;102(1):10. doi: 10.5334/jbsr.1456.

引用本文的文献

1
Mid-jejunal diverticulitis with closed-loop bowel obstruction, strangulation, and contained perforation.
Clin Case Rep. 2024 Oct 21;12(10):e9489. doi: 10.1002/ccr3.9489. eCollection 2024 Oct.
3
Small bowel volvulus due to jejunal diverticula: a rare case of acute abdomen.
J Surg Case Rep. 2023 May 20;2023(5):rjad249. doi: 10.1093/jscr/rjad249. eCollection 2023 May.
4
Eosinophilic Gastroenteritis Causing Small Bowel Diverticulosis and Volvulus: A Case Report.
Am J Case Rep. 2021 Oct 5;22:e933180. doi: 10.12659/AJCR.933180.
5
Thigh phlegmon as a first sign of a ruptured pelvic presacral abscess caused by ileal diverticulum fistula: A case report.
Int J Surg Case Rep. 2021 Apr;81:105836. doi: 10.1016/j.ijscr.2021.105836. Epub 2021 Mar 26.
6
Perforated jejunal diverticulitis: a rare but important differential in the acute abdomen.
Surg Case Rep. 2020 Jul 6;6(1):162. doi: 10.1186/s40792-020-00929-3.

本文引用的文献

1
A rare case of multiple jejunal diverticulosis presenting as intestinal obstruction.
Clin Pract. 2013 Aug 2;3(2):e21. doi: 10.4081/cp.2013.e21.
2
A rare cause of acute abdomen: jejunal diverticulosis with perforation.
J Clin Imaging Sci. 2013 Jul 29;3:31. doi: 10.4103/2156-7514.115763. eCollection 2013.
3
Midgut volvulus due to jejunal diverticula: a case report.
World J Gastroenterol. 2012 Oct 28;18(40):5826-9. doi: 10.3748/wjg.v18.i40.5826.
4
Jejunal diverticulae: reports of two cases with review of literature.
Indian J Surg. 2009 Oct;71(5):238-44. doi: 10.1007/s12262-009-0077-5. Epub 2009 Oct 17.
7
Diverticulosis of the jejunum with intestinal obstruction: A case report.
World J Gastroenterol. 2005 Sep 14;11(34):5416-7. doi: 10.3748/wjg.v11.i34.5416.
8
A case of enterolith small bowel obstruction and jejunal diverticulosis.
World J Gastroenterol. 2003 Apr;9(4):883-4. doi: 10.3748/wjg.v9.i4.883.
9
Enterolith ileus complicating jejunal diverticulosis.
J Clin Gastroenterol. 1999 Sep;29(2):192-3. doi: 10.1097/00004836-199909000-00019.

文献AI研究员

20分钟写一篇综述,助力文献阅读效率提升50倍。

立即体验

用中文搜PubMed

大模型驱动的PubMed中文搜索引擎

马上搜索

文档翻译

学术文献翻译模型,支持多种主流文档格式。

立即体验