Suppr超能文献

成人颞叶实质内胚层囊肿伴自发性囊内出血

Intraparenchymal endodermal cyst with spontaneous intracystic hemorrhage in the temporal lobe of an adult.

作者信息

Bao Xin-Jie, Li Xue-Yuan, Wang Qi-Pu, Ren Xin-Yu, Liang Zhi-Yong, Ma Wen-Bin, Wang Ren-Zhi, Wei Jun-Ji

机构信息

Department of Neurosurgery Department of Pathology, Peking Union Medical College Hospital, Peking Union Medical College, Chinese Academy of Medical Sciences, Beijing, China.

出版信息

Medicine (Baltimore). 2016 Nov;95(46):e4968. doi: 10.1097/MD.0000000000004968.

Abstract

BACKGROUND

Endodermal cysts (EC) are rare but well-known congenial lesions of the central nervous system mainly located in the spinal subdural space. Intracranial ECs are rare and commonly encountered in the posterior cranial fossa as extra-axial lesions; an intraparenchymal location is exceedingly rare. A complete removal is the best surgical strategy and any residue can cause recurrence. It is necessary to exclude EC in patients with intracranial cystic lesions. We present a case of intraparenchymal EC with spontaneous intracystic hemorrhage in the temporal lobe of an adult.

METHODS

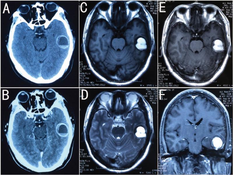
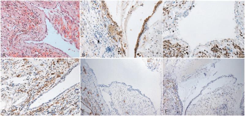
A 43-year-old man presented with headache and memory deterioration. Brain computed tomography and magnetic resonance imaging showed a slightly enhanced temporal lobe cystic lesion, which was homogenously hyperintense on T1-and T2-weighted images. There was a suspicion of brain abscess at admission. The lesion was totally removed with a left subtemporal craniotomy. Histological examination revealed an EC with intracystic hemorrhage.

RESULTS

The preoperative symptoms were relieved after surgery and 3-month follow-up magnetic resonance imaging found no cystic signs.

CONCLUSION

This case suggests that EC should be considered in the differential diagnosis of intracranial cystic lesions and a complete removal is the best strategy of choice.

摘要

背景

内胚层囊肿(EC)是中枢神经系统罕见但知名的先天性病变,主要位于脊髓硬膜下间隙。颅内EC罕见,常见于后颅窝,为轴外病变;实质内位置极为罕见。完整切除是最佳手术策略,任何残留都可能导致复发。对于颅内囊性病变患者,有必要排除EC。我们报告一例成人颞叶实质内EC伴自发性囊内出血的病例。

方法

一名43岁男性因头痛和记忆力减退就诊。脑部计算机断层扫描和磁共振成像显示颞叶有一个轻度强化的囊性病变,在T1加权和T2加权图像上呈均匀高信号。入院时怀疑为脑脓肿。通过左颞下入路开颅手术将病变完全切除。组织学检查显示为伴有囊内出血的EC。

结果

术后术前症状缓解,3个月随访磁共振成像未发现囊性征象。

结论

该病例提示,在颅内囊性病变的鉴别诊断中应考虑EC,完整切除是最佳选择策略。

https://cdn.ncbi.nlm.nih.gov/pmc/blobs/7d9d/5120888/6789a7495f8f/medi-95-e4968-g001.jpg

文献AI研究员

20分钟写一篇综述,助力文献阅读效率提升50倍。

立即体验

用中文搜PubMed

大模型驱动的PubMed中文搜索引擎

马上搜索

文档翻译

学术文献翻译模型,支持多种主流文档格式。

立即体验