Bruneval P, Angelini A, Miller D, Potena L, Loupy A, Zeevi A, Reed E F, Dragun D, Reinsmoen N, Smith R N, West L, Tebutt S, Thum T, Haas M, Mengel M, Revelo P, Fedrigo M, Duong Van Huyen J P, Berry G J
Paris Translational Research Center for Organ Transplantation & Department of Pathology, Hôpital Européen Georges Pompidou, Université Paris Descartes Médecine, Paris, France.
Department of Cardiac Thoracic and Vascular Sciences, University of Padua Medical School, Padua, Italy.
Am J Transplant. 2017 Jan;17(1):42-53. doi: 10.1111/ajt.14112. Epub 2016 Dec 12.
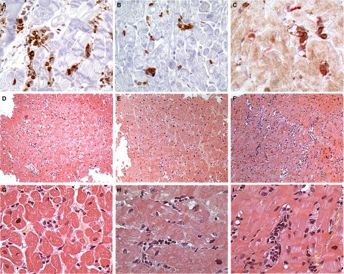
The 13th Banff Conference on Allograft Pathology was held in Vancouver, British Columbia, Canada from October 5 to 10, 2015. The cardiac session was devoted to current diagnostic issues in heart transplantation with a focus on antibody-mediated rejection (AMR) and small vessel arteriopathy. Specific topics included the strengths and limitations of the current rejection grading system, the central role of microvascular injury in AMR and approaches to semiquantitative assessment of histopathologic and immunophenotypic indicators, the role of AMR in the development of cardiac allograft vasculopathy, the important role of serologic antibody detection in the management of transplant recipients, and the potential application of new molecular approaches to the elucidation of the pathophysiology of AMR and potential for improving the current diagnostic system. Herein we summarize the key points from the presentations, the comprehensive, open and wide-ranging multidisciplinary discussion that was generated, and considerations for future endeavors.
第13届班夫同种异体移植病理学会议于2015年10月5日至10日在加拿大不列颠哥伦比亚省温哥华举行。心脏专题会议致力于探讨心脏移植当前的诊断问题,重点是抗体介导的排斥反应(AMR)和小血管动脉病变。具体主题包括当前排斥反应分级系统的优势与局限性、微血管损伤在AMR中的核心作用以及组织病理学和免疫表型指标的半定量评估方法、AMR在心脏移植血管病变发展中的作用、血清学抗体检测在移植受者管理中的重要作用,以及新分子方法在阐明AMR病理生理学和改进当前诊断系统方面的潜在应用。在此,我们总结了报告中的要点、由此引发的全面、开放且广泛的多学科讨论以及对未来工作的思考。