Suppr超能文献

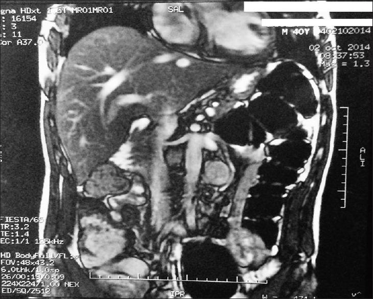
Multiple retroperitoneal paragangliomas.

作者信息

Oueslati Ibtissem, Khiari Karima, Abdallah Néjib Ben

机构信息

Department of Endocrinology, Faculty of Medicine, University of Tunis El Manar, 1007, Tunis, Tunisia; Department of Endocrinology, Charles Nicolle Hospital, Tunis, Tunisia.

出版信息

Indian J Endocrinol Metab. 2016 Nov-Dec;20(6):890-891. doi: 10.4103/2230-8210.192896.

Abstract
摘要
https://cdn.ncbi.nlm.nih.gov/pmc/blobs/5315/5105586/c30936364975/IJEM-20-890-g001.jpg

文献AI研究员

20分钟写一篇综述,助力文献阅读效率提升50倍。

立即体验

用中文搜PubMed

大模型驱动的PubMed中文搜索引擎

马上搜索

文档翻译

学术文献翻译模型,支持多种主流文档格式。

立即体验