Suppr超能文献

采用药典方法制定药用欧洲槲寄生(Desr.)丹瑟的质量标准。

Development of quality standards of medicinal mistletoe - (Desr.) Danser employing Pharmacopoeial procedures.

作者信息

Sunil Kumar K N, Ravishankar B, Yashovarma B, Rajakrishnan R, Thomas J

机构信息

SDM Centre for Research in Ayurveda and Allied Sciences, Laxminarayana Nagar, Kuthpady, Udupi 574 118, India.

SDM College (Autonomous), Ujire, Belthangady Taluq, Dakshina Kannada, 574 240, India.

出版信息

Saudi J Biol Sci. 2016 Nov;23(6):674-686. doi: 10.1016/j.sjbs.2016.02.023. Epub 2016 Mar 2.

Abstract

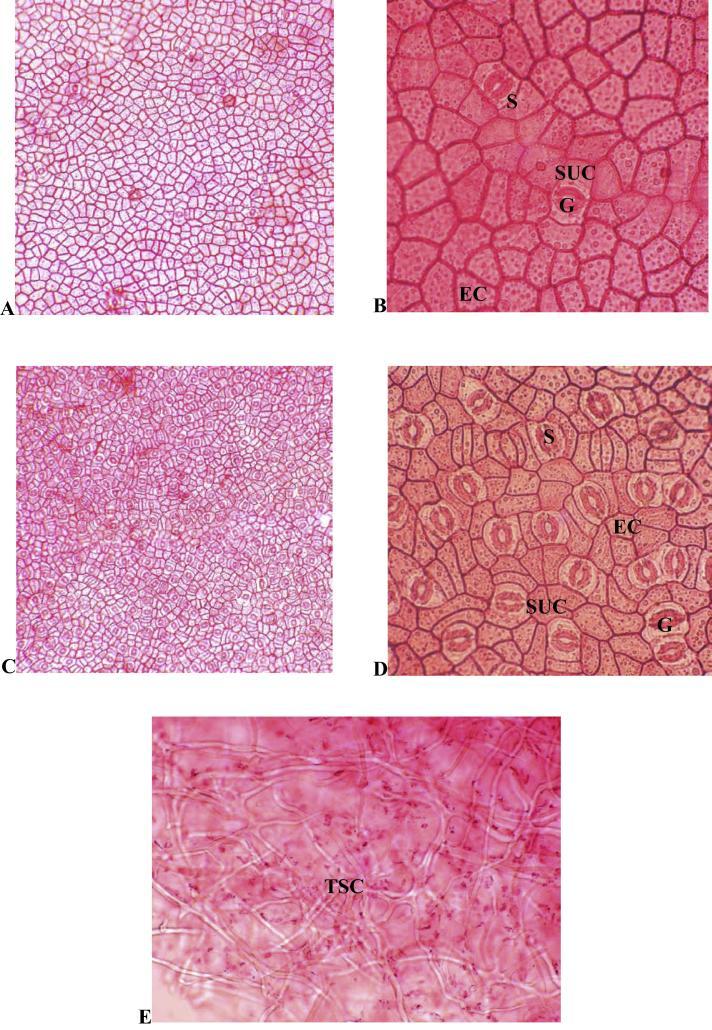
(Desr.) Danser (Loranthaceae), commonly known as Indian mango mistletoe, is a parasitic shrub found widely growing on mango trees in southern India. Development of monographic quality standards is need of the hour for Pharmacopoeial/extra-Pharmacopoeial and folk medicinal plants. Systematic pharmacognostical evaluation of leaves of has been carried out employing Pharmacopoeial procedures of testing herbal drugs. Macro-microscopic features of leaf were recorded. Ethanolic extract was tested positive for alkaloids, steroids, carbohydrates, tannins, saponins and phenols. HPTLC fingerprint profile was developed for the identification of extracts using reference standard -sitosterol glucoside. Results of the present investigation would serve as a source of pharmacognostical information and a document to control the quality of (Desr.) Danser.

摘要

(德斯尔)丹瑟(檀香科),俗称印度芒果槲寄生,是一种寄生灌木,广泛生长于印度南部的芒果树上。制定专论质量标准是药典/药典外和民间药用植物当前的迫切需求。已采用草药检测的药典程序对丹瑟叶进行了系统的生药学评价。记录了丹瑟叶的宏观和微观特征。乙醇提取物对生物碱、甾体、碳水化合物、单宁、皂苷和酚类检测呈阳性。使用参考标准β-谷甾醇葡萄糖苷建立了用于提取物鉴定的高效薄层色谱指纹图谱。本研究结果将作为生药学信息来源以及控制丹瑟(德斯尔)质量的文件。

https://cdn.ncbi.nlm.nih.gov/pmc/blobs/d198/5109044/0812622277a5/gr1.jpg

文献AI研究员

20分钟写一篇综述,助力文献阅读效率提升50倍。

立即体验

用中文搜PubMed

大模型驱动的PubMed中文搜索引擎

马上搜索

文档翻译

学术文献翻译模型,支持多种主流文档格式。

立即体验