Suppr超能文献

锌离子(II)通过增加细胞结合来促进重组人超氧化物歧化酶3的抗炎作用。

Zinc(II) ion promotes anti-inflammatory effects of rhSOD3 by increasing cellular association.

作者信息

Kim Younghwa, Jeon Yoon-Jae, Ryu Kang, Kim Tae-Yoon

机构信息

Department of Emergency Medical Technology, Kyungil University, Gyeongsan 38428, Korea.

Laboratory of Dermato-Immunology, Catholic Research Institute of Medical Science, College of Medicine, The Catholic University of Korea, Seoul 06591, Korea.

出版信息

BMB Rep. 2017 Feb;50(2):85-90. doi: 10.5483/bmbrep.2017.50.2.150.

Abstract

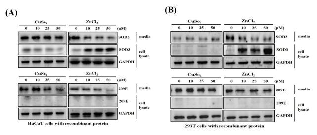
Recently, we demonstrated that superoxide dismutase 3 (SOD3) is a strong candidate for biomedicine. Anti-oxidant function of SOD3 was accomplished without cell penetration, and it inhibited the inflammatory responses via non-enzymatic functions. SOD3 has the heparin binding domain associating cell surface. Interestingly, we found that Zn2+ promotes transduction effects of recombinant human SOD3 (rhSOD3) by increasing uptake via the heparin binding domain (HBD). We demonstrated an uptake of rhSOD3 from media to cell lysate via HBD, resulting in an accumulation of rhSOD3 in the nucleus, which was promoted by the presence of Zn2+. This resulted in increased inhibitory effects of rhSOD3 on NF-kB and STAT3 signals in the presence of Zn2+, which shows elevated association of rhSOD3 into the cells. These results suggest that an optimized procedure can help to enhance the inflammatory efficacy of rhSOD3, as a novel biomedicine. [BMB Reports 2017; 50(2): 85-90].

摘要

最近,我们证明超氧化物歧化酶3(SOD3)是生物医学的有力候选者。SOD3的抗氧化功能无需细胞穿透即可实现,并且它通过非酶功能抑制炎症反应。SOD3具有与细胞表面相关的肝素结合域。有趣的是,我们发现Zn2+通过增加经由肝素结合域(HBD)的摄取来促进重组人SOD3(rhSOD3)的转导作用。我们证明了rhSOD3通过HBD从培养基摄取到细胞裂解物中,导致rhSOD3在细胞核中积累,而Zn2+的存在促进了这种积累。这导致在Zn2+存在下rhSOD3对NF-κB和STAT3信号的抑制作用增强,这表明rhSOD3与细胞的结合增加。这些结果表明,优化的程序有助于提高rhSOD3作为新型生物医学药物的抗炎功效。[《BMB报告》2017年;50(2): 85 - 90]

https://cdn.ncbi.nlm.nih.gov/pmc/blobs/8492/5342871/2501af297394/bmb-50-085f1.jpg

文献AI研究员

20分钟写一篇综述,助力文献阅读效率提升50倍。

立即体验

用中文搜PubMed

大模型驱动的PubMed中文搜索引擎

马上搜索

文档翻译

学术文献翻译模型,支持多种主流文档格式。

立即体验