Suppr超能文献

对包含前蛋白转化酶枯草溶菌素9(PCSK9)前结构域31-60位残基的自身抑制片段的研究:对功能获得性突变潜在机制的可能影响。

Studies of the autoinhibitory segment comprising residues 31-60 of the prodomain of PCSK9: Possible implications for the mechanism underlying gain-of-function mutations.

作者信息

Wierød Lene, Cameron Jamie, Strøm Thea Bismo, Leren Trond P

机构信息

Unit for Cardiac and Cardiovascular Genetics, Department of Medical Genetics, Oslo University Hospital, Oslo, Norway.

出版信息

Mol Genet Metab Rep. 2016 Nov 17;9:86-93. doi: 10.1016/j.ymgmr.2016.11.003. eCollection 2016 Dec.

Abstract

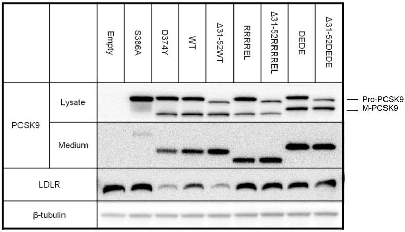
Proprotein convertase subtilisin/kexin type 9 (PCSK9) binds to the low density lipoprotein receptor (LDLR) at the cell surface and is internalized as a complex with the LDLR. In the acidic milieu of the sorting endosome, PCSK9 remains bound to the LDLR and prevents the LDLR from folding over itself to adopt a closed conformation. As a consequence, the LDLR fails to recycle back to the cell membrane. Even though it is the catalytic domain of PCSK9 that interacts with the LDLR at the cell surface, the structurally disordered segment consisting of residues 31-60 and which is rich in acidic residues, has a negative effect both on autocatalytic cleavage and on the activity of PCSK9 towards the LDLR. Thus, this unstructured segment represents an autoinhibitory domain of PCSK9. One may speculate that post-translational modifications within residues 31-60 may affect the inhibitory activity of this segment, and represent a mechanism for fine-tuning the activity of PCSK9 towards the LDLR. Our data indicate that the inhibitory effect of this unstructured segment results from an interaction with basic residues of the catalytic domain of PCSK9. Mutations in the catalytic domain which involve charged residues, could therefore be gain-of-function mutations by affecting the positioning of this segment.

摘要

前蛋白转化酶枯草溶菌素/凯新9型(PCSK9)在细胞表面与低密度脂蛋白受体(LDLR)结合,并作为与LDLR的复合物被内化。在分拣内体的酸性环境中,PCSK9仍与LDLR结合,并阻止LDLR自身折叠形成封闭构象。因此,LDLR无法再循环回到细胞膜。尽管是PCSK9的催化结构域在细胞表面与LDLR相互作用,但由31 - 60位残基组成且富含酸性残基的结构无序片段,对PCSK9的自催化切割以及PCSK9对LDLR的活性均有负面影响。因此,这个无结构片段代表了PCSK9的一个自抑制结构域。可以推测,31 - 60位残基内的翻译后修饰可能会影响该片段的抑制活性,并代表了一种微调PCSK9对LDLR活性的机制。我们的数据表明,这个无结构片段的抑制作用源于与PCSK9催化结构域的碱性残基的相互作用。因此,催化结构域中涉及带电残基的突变,可能通过影响该片段的定位而成为功能获得性突变。

https://cdn.ncbi.nlm.nih.gov/pmc/blobs/a684/5121147/31253cff2fe8/gr1.jpg

文献AI研究员

20分钟写一篇综述,助力文献阅读效率提升50倍。

立即体验

用中文搜PubMed

大模型驱动的PubMed中文搜索引擎

马上搜索

文档翻译

学术文献翻译模型,支持多种主流文档格式。

立即体验