Suppr超能文献

世界卫生组织肺腺癌新分类的预后考量

Prognostic considerations of the new World Health Organization classification of lung adenocarcinoma.

作者信息

Borczuk Alain C

机构信息

Weill Cornell Medicine, New York, NY, USA

出版信息

Eur Respir Rev. 2016 Dec;25(142):364-371. doi: 10.1183/16000617.0089-2016.

Abstract

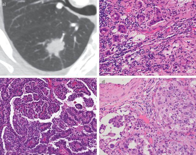
The 2015 World Health Organization (WHO) lung adenocarcinoma classification divides tumours into categories of indolent pre-invasive, minimally invasive and predominantly lepidic and, by examining predominant patterns of invasion, allows for further stratification into intermediate and high-grade tumours. The impact of the 2015 classification on prognosis was reviewed by a PubMed search for search terms "adenocarcinoma", "lung pathology" and "prognosis" and relevant publications reviewed. These were sorted for data on stage and survival as impacted by histological classification, and survival studies were separated into all stage versus stage 1 studies. Predictive aspects of histological classification were also examined, but molecular correlates were not. The separation of adenocarcinoma in situ and minimally invasive adenocarcinoma from invasive subtypes as distinct prognostic entities and the prognostic significance, for disease specific and overall survival for low- and high-grade categories, are discussed. The impact on stage at presentation including risk of node metastasis by histology is examined, as well as histology in relation to recurrence after surgery. Early data with regard to the value of predominant histology in the prediction of chemotherapy response will also be explored.

摘要

2015年世界卫生组织(WHO)肺腺癌分类将肿瘤分为惰性前浸润性、微浸润性和以鳞屑状为主的类型,并通过检查主要的浸润模式,进一步将其分层为中级和高级肿瘤。通过在PubMed上搜索关键词“腺癌”“肺病理学”和“预后”,并对相关出版物进行综述,评估了2015年分类对预后的影响。对这些文献按照受组织学分类影响的分期和生存数据进行分类,生存研究分为全分期研究和I期研究。还研究了组织学分类的预测方面,但未涉及分子相关性。讨论了原位腺癌和微浸润腺癌与浸润性亚型作为不同预后实体的区分,以及低级别和高级别类别在疾病特异性生存和总生存方面的预后意义。研究了其对就诊时分期的影响,包括按组织学分类的淋巴结转移风险,以及与术后复发相关的组织学情况。还将探讨关于主要组织学在预测化疗反应方面价值的早期数据。

https://cdn.ncbi.nlm.nih.gov/pmc/blobs/b23c/9487552/38b5b84fc706/ERR-0089-2016.01.jpg

文献AI研究员

20分钟写一篇综述,助力文献阅读效率提升50倍。

立即体验

用中文搜PubMed

大模型驱动的PubMed中文搜索引擎

马上搜索

文档翻译

学术文献翻译模型,支持多种主流文档格式。

立即体验