Suppr超能文献

CDH1在角质形成细胞中响应分化信号调节E2F1的降解。

CDH1 regulates E2F1 degradation in response to differentiation signals in keratinocytes.

作者信息

Singh Randeep K, Dagnino Lina

机构信息

Department of Physiology and Pharmacology, Children's Health Research Institute and Lawson Health Research Institute, The University of Western Ontario, London, Ontario N6A 5C1, Canada.

出版信息

Oncotarget. 2017 Jan 17;8(3):4977-4993. doi: 10.18632/oncotarget.13636.

Abstract

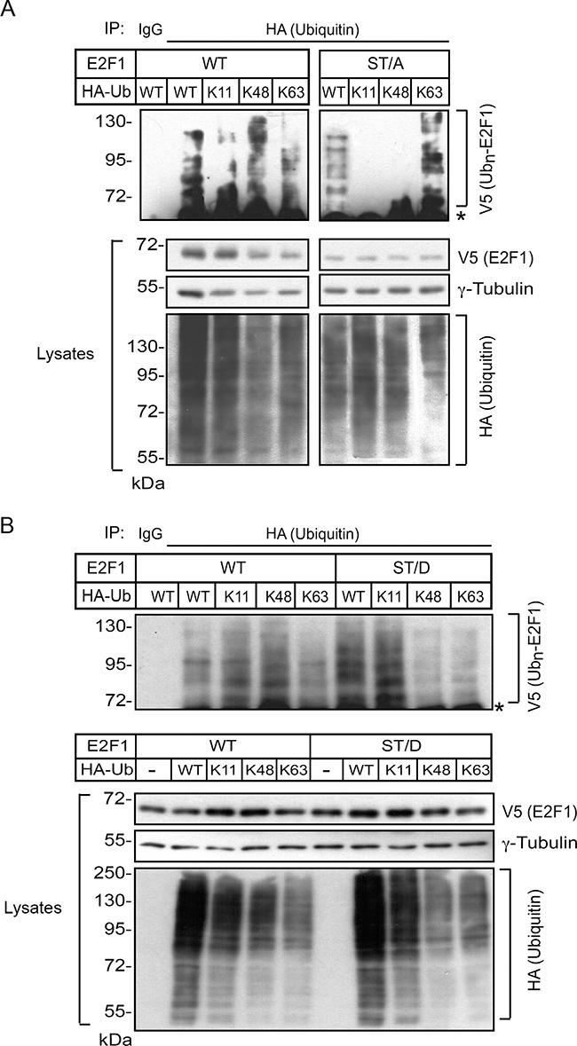
The E2F1 transcription factor plays key roles in skin homeostasis. In the epidermis, E2F1 expression is essential for normal proliferation of undifferentiated keratinocytes, regeneration after injury and DNA repair following UV radiation-induced photodamage. Abnormal E2F1 expression promotes nonmelanoma skin carcinoma. In addition, E2F1 must be downregulated for proper keratinocyte differentiation, but the relevant mechanisms involved remain poorly understood. We show that differentiation signals induce a series of post-translational modifications in E2F1 that are jointly required for its downregulation. Analysis of the structural determinants that govern these processes revealed a central role for S403 and T433. In particular, substitution of these two amino acid residues with non-phosphorylatable alanine (E2F1 ST/A) interferes with E2F1 nuclear export, K11- and K48-linked polyubiquitylation and degradation in differentiated keratinocytes. In contrast, replacement of S403 and T433 with phosphomimetic aspartic acid to generate a pseudophosphorylated E2F1 mutant protein (E2F1 ST/D) generates a protein that is regulated in a manner indistinguishable from that of wild type E2F1. Cdh1 is an activating cofactor that interacts with the anaphase-promoting complex/cyclosome (APC/C) ubiquitin E3 ligase, promoting proteasomal degradation of various substrates. We found that Cdh1 associates with E2F1 in keratinocytes. Inhibition or RNAi-mediated silencing of Cdh1 prevents E2F1 degradation in response to differentiation signals. Our results reveal novel regulatory mechanisms that jointly modulate post-translational modifications and downregulation of E2F1, which are necessary for proper epidermal keratinocyte differentiation.

摘要

E2F1转录因子在皮肤稳态中发挥关键作用。在表皮中,E2F1的表达对于未分化角质形成细胞的正常增殖、损伤后的再生以及紫外线辐射诱导的光损伤后的DNA修复至关重要。E2F1表达异常会促进非黑色素瘤皮肤癌。此外,为了使角质形成细胞正常分化,E2F1必须下调,但其相关机制仍知之甚少。我们发现分化信号会在E2F1中诱导一系列翻译后修饰,这些修饰共同作用于其下调过程。对调控这些过程的结构决定因素的分析揭示了S403和T433的核心作用。特别是,将这两个氨基酸残基替换为不可磷酸化的丙氨酸(E2F1 ST/A)会干扰E2F1的核输出、K11和K48连接的多聚泛素化以及分化角质形成细胞中的降解。相反,将S403和T433替换为模拟磷酸化的天冬氨酸以生成假磷酸化的E2F1突变蛋白(E2F1 ST/D),所产生的蛋白其调控方式与野生型E2F1无法区分。Cdh1是一种激活辅因子,它与后期促进复合体/细胞周期体(APC/C)泛素E3连接酶相互作用,促进各种底物的蛋白酶体降解。我们发现Cdh1在角质形成细胞中与E2F1结合。抑制Cdh1或通过RNA干扰介导使其沉默会阻止E2F1响应分化信号而降解。我们的研究结果揭示了共同调节E2F1翻译后修饰和下调的新调控机制,这对于表皮角质形成细胞的正常分化是必要的。

https://cdn.ncbi.nlm.nih.gov/pmc/blobs/2aaa/5354885/aac0009cadff/oncotarget-08-4977-g001.jpg

相似文献

1
CDH1 regulates E2F1 degradation in response to differentiation signals in keratinocytes.
Oncotarget. 2017 Jan 17;8(3):4977-4993. doi: 10.18632/oncotarget.13636.
2
Activation of p38- and CRM1-dependent nuclear export promotes E2F1 degradation during keratinocyte differentiation.
Oncogene. 2007 Feb 22;26(8):1147-54. doi: 10.1038/sj.onc.1209894. Epub 2006 Aug 21.
3
Phosphorylation by p38 MAP kinase is required for E2F1 degradation and keratinocyte differentiation.
Oncogene. 2009 Jan 8;28(1):52-62. doi: 10.1038/onc.2008.354. Epub 2008 Sep 15.
4
Regulation of E2F1 by APC/C Cdh1 via K11 linkage-specific ubiquitin chain formation.
Cell Cycle. 2012 May 15;11(10):2030-8. doi: 10.4161/cc.20643.
5
A novel mechanism of E2F1 regulation via nucleocytoplasmic shuttling: determinants of nuclear import and export.
Cell Cycle. 2007 Sep 1;6(17):2186-95. doi: 10.4161/cc.6.17.4650. Epub 2007 Jul 2.
7
E2F1 interactions with hHR23A inhibit its degradation and promote DNA repair.
Oncotarget. 2016 May 3;7(18):26275-92. doi: 10.18632/oncotarget.8362.
8
Insights into the cellular mechanism of the yeast ubiquitin ligase APC/C-Cdh1 from the analysis of in vivo degrons.
Mol Biol Cell. 2015 Mar 1;26(5):843-58. doi: 10.1091/mbc.E14-09-1342. Epub 2014 Dec 24.

引用本文的文献

本文引用的文献

1
WD40 domain of Apc1 is critical for the coactivator-induced allosteric transition that stimulates APC/C catalytic activity.
Proc Natl Acad Sci U S A. 2016 Sep 20;113(38):10547-52. doi: 10.1073/pnas.1607147113. Epub 2016 Sep 6.
2
Cdh1 inhibits WWP2-mediated ubiquitination of PTEN to suppress tumorigenesis in an APC-independent manner.
Cell Discov. 2016 Feb 2;2:15044. doi: 10.1038/celldisc.2015.44. eCollection 2016.
3
To live or let die - complexity within the E2F1 pathway.
Mol Cell Oncol. 2015 Jan 30;2(1):e970480. doi: 10.4161/23723548.2014.970480. eCollection 2015 Jan-Mar.
4
E2F1 interactions with hHR23A inhibit its degradation and promote DNA repair.
Oncotarget. 2016 May 3;7(18):26275-92. doi: 10.18632/oncotarget.8362.
5
Citrullination-acetylation interplay guides E2F-1 activity during the inflammatory response.
Sci Adv. 2016 Feb 5;2(2):e1501257. doi: 10.1126/sciadv.1501257. eCollection 2016 Feb.
6
Feedback regulation between atypical E2Fs and APC/CCdh1 coordinates cell cycle progression.
EMBO Rep. 2016 Mar;17(3):414-27. doi: 10.15252/embr.201540984. Epub 2016 Feb 5.
7
POH1 deubiquitylates and stabilizes E2F1 to promote tumour formation.
Nat Commun. 2015 Oct 29;6:8704. doi: 10.1038/ncomms9704.
8
Regulation of E2 promoter binding factor 1 (E2F1) transcriptional activity through a deubiquitinating enzyme, UCH37.
J Biol Chem. 2015 Oct 30;290(44):26508-22. doi: 10.1074/jbc.M115.659425. Epub 2015 Sep 22.
9
Regulation of the retinoblastoma-E2F pathway by the ubiquitin-proteasome system.
Biochim Biophys Acta. 2015 Oct;1849(10):1289-97. doi: 10.1016/j.bbagrm.2015.08.008. Epub 2015 Aug 28.
10
Dissecting the calcium-induced differentiation of human primary keratinocytes stem cells by integrative and structural network analyses.
PLoS Comput Biol. 2015 May 6;11(5):e1004256. doi: 10.1371/journal.pcbi.1004256. eCollection 2015 May.

文献AI研究员

20分钟写一篇综述,助力文献阅读效率提升50倍。

立即体验

用中文搜PubMed

大模型驱动的PubMed中文搜索引擎

马上搜索

文档翻译

学术文献翻译模型,支持多种主流文档格式。

立即体验