• 文献检索
  • 文档翻译
  • 深度研究
  • 学术资讯
  • Suppr Zotero 插件Zotero 插件
  • 邀请有礼
  • 套餐&价格
  • 历史记录
应用&插件
Suppr Zotero 插件Zotero 插件浏览器插件Mac 客户端Windows 客户端微信小程序
定价
高级版会员购买积分包购买API积分包
服务
文献检索文档翻译深度研究API 文档MCP 服务
关于我们
关于 Suppr公司介绍联系我们用户协议隐私条款
关注我们

Suppr 超能文献

核心技术专利:CN118964589B侵权必究
粤ICP备2023148730 号-1Suppr @ 2026

文献检索

告别复杂PubMed语法,用中文像聊天一样搜索,搜遍4000万医学文献。AI智能推荐,让科研检索更轻松。

立即免费搜索

文件翻译

保留排版,准确专业,支持PDF/Word/PPT等文件格式,支持 12+语言互译。

免费翻译文档

深度研究

AI帮你快速写综述,25分钟生成高质量综述,智能提取关键信息,辅助科研写作。

立即免费体验

用异源寡糖基转移酶对嗜盐碱甲烷球菌的aglB突变体进行互补作用。

Complementation of an aglB Mutant of Methanococcus maripaludis with Heterologous Oligosaccharyltransferases.

作者信息

Ding Yan, Vrionis Helen A, Schneider James, Berezuk Alison, Khursigara Cezar M, Jarrell Ken F

机构信息

Department of Biomedical and Molecular Sciences, Queen's University, Kingston, Ontario, Canada.

Department of Molecular and Cellular Biology, University of Guelph, Guelph, Ontario, Canada.

出版信息

PLoS One. 2016 Dec 1;11(12):e0167611. doi: 10.1371/journal.pone.0167611. eCollection 2016.

DOI:10.1371/journal.pone.0167611
PMID:27907170
原文链接:https://pmc.ncbi.nlm.nih.gov/articles/PMC5131992/
Abstract

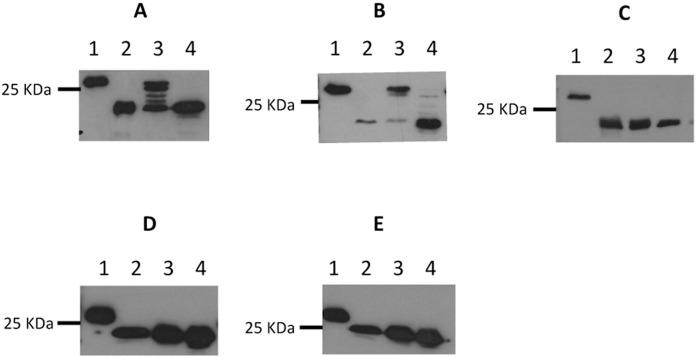
The oligosaccharyltransferase is the signature enzyme for N-linked glycosylation in all domains of life. In Archaea, this enzyme termed AglB, is responsible for transferring lipid carrier-linked glycans to select asparagine residues in a variety of target proteins including archaellins, S-layer proteins and pilins. This study investigated the ability of a variety of AglBs to compensate for the oligosaccharyltransferase activity in Methanococcus maripaludis deleted for aglB, using archaellin FlaB2 as the reporter protein since all archaellins in Mc. maripaludis are modified at multiple sites by an N-linked tetrasaccharide and this modification is required for archaellation. In the Mc. maripaludis ΔaglB strain FlaB2 runs as at a smaller apparent molecular weight in western blots and is nonarchaellated. We demonstrate that AglBs from Methanococcus voltae and Methanothermococcus thermolithotrophicus functionally replaced the oligosaccharyltransferase activity missing in the Mc. maripaludis ΔaglB strain, both returning the apparent molecular weight of FlaB2 to wildtype size and restoring archaellation. This demonstrates that AglB from Mc. voltae has a relaxed specificity for the linking sugar of the transferred glycan since while the N-linked glycan present in Mc. voltae is similar to that of Mc. maripaludis, the Mc. voltae glycan uses N-acetylglucosamine as the linking sugar. In Mc. maripaludis that role is held by N-acetylgalactosamine. This study also identifies aglB from Mtc. thermolithotrophicus for the first time by its activity. Attempts to use AglB from Methanocaldococcus jannaschii, Haloferax volcanii or Sulfolobus acidocaldarius to functionally replace the oligosaccharyltransferase activity missing in the Mc. maripaludis ΔaglB strain were unsuccessful.

摘要

寡糖基转移酶是所有生命域中N-连接糖基化的标志性酶。在古菌中,这种酶称为AglB,负责将脂质载体连接的聚糖转移到多种靶蛋白中的特定天冬酰胺残基上,这些靶蛋白包括菌毛蛋白、S层蛋白和菌毛素。本研究以菌毛蛋白FlaB2作为报告蛋白,研究了多种AglB补偿缺失aglB的马氏甲烷球菌中寡糖基转移酶活性的能力,因为马氏甲烷球菌中的所有菌毛蛋白都在多个位点被N-连接四糖修饰,而这种修饰是菌毛形成所必需的。在马氏甲烷球菌ΔaglB菌株中,FlaB2在蛋白质印迹中以较小的表观分子量迁移,并且没有形成菌毛。我们证明,沃氏甲烷球菌和嗜热栖热甲烷球菌的AglB在功能上替代了马氏甲烷球菌ΔaglB菌株中缺失的寡糖基转移酶活性,使FlaB2的表观分子量恢复到野生型大小并恢复了菌毛形成。这表明沃氏甲烷球菌的AglB对转移聚糖的连接糖具有较宽松的特异性,因为虽然沃氏甲烷球菌中存在的N-连接聚糖与马氏甲烷球菌的相似,但沃氏甲烷球菌的聚糖使用N-乙酰葡糖胺作为连接糖。在马氏甲烷球菌中,该作用由N-乙酰半乳糖胺承担。本研究还首次通过其活性鉴定了嗜热栖热甲烷球菌的aglB。尝试使用詹氏甲烷球菌、嗜盐栖热菌或嗜酸硫化叶菌的AglB在功能上替代马氏甲烷球菌ΔaglB菌株中缺失的寡糖基转移酶活性未成功。

https://cdn.ncbi.nlm.nih.gov/pmc/blobs/cd69/5131992/6c999c082050/pone.0167611.g006.jpg
https://cdn.ncbi.nlm.nih.gov/pmc/blobs/cd69/5131992/43d9c150ddba/pone.0167611.g001.jpg
https://cdn.ncbi.nlm.nih.gov/pmc/blobs/cd69/5131992/ef2701e2e981/pone.0167611.g002.jpg
https://cdn.ncbi.nlm.nih.gov/pmc/blobs/cd69/5131992/f62fc009c2e6/pone.0167611.g003.jpg
https://cdn.ncbi.nlm.nih.gov/pmc/blobs/cd69/5131992/6fc3f8ad2a21/pone.0167611.g004.jpg
https://cdn.ncbi.nlm.nih.gov/pmc/blobs/cd69/5131992/6cdd8eb60806/pone.0167611.g005.jpg
https://cdn.ncbi.nlm.nih.gov/pmc/blobs/cd69/5131992/6c999c082050/pone.0167611.g006.jpg
https://cdn.ncbi.nlm.nih.gov/pmc/blobs/cd69/5131992/43d9c150ddba/pone.0167611.g001.jpg
https://cdn.ncbi.nlm.nih.gov/pmc/blobs/cd69/5131992/ef2701e2e981/pone.0167611.g002.jpg
https://cdn.ncbi.nlm.nih.gov/pmc/blobs/cd69/5131992/f62fc009c2e6/pone.0167611.g003.jpg
https://cdn.ncbi.nlm.nih.gov/pmc/blobs/cd69/5131992/6fc3f8ad2a21/pone.0167611.g004.jpg
https://cdn.ncbi.nlm.nih.gov/pmc/blobs/cd69/5131992/6cdd8eb60806/pone.0167611.g005.jpg
https://cdn.ncbi.nlm.nih.gov/pmc/blobs/cd69/5131992/6c999c082050/pone.0167611.g006.jpg

相似文献

1
Complementation of an aglB Mutant of Methanococcus maripaludis with Heterologous Oligosaccharyltransferases.用异源寡糖基转移酶对嗜盐碱甲烷球菌的aglB突变体进行互补作用。
PLoS One. 2016 Dec 1;11(12):e0167611. doi: 10.1371/journal.pone.0167611. eCollection 2016.
2
Evidence that biosynthesis of the second and third sugars of the archaellin Tetrasaccharide in the archaeon Methanococcus maripaludis occurs by the same pathway used by Pseudomonas aeruginosa to make a di-N-acetylated sugar.在嗜盐甲烷球菌中,古菌鞭毛蛋白四糖的第二和第三个糖的生物合成是通过铜绿假单胞菌用于合成二 - N - 乙酰化糖的相同途径进行的证据。
J Bacteriol. 2015 May;197(9):1668-80. doi: 10.1128/JB.00040-15. Epub 2015 Mar 2.
3
Identification of a gene involved in the biosynthesis pathway of the terminal sugar of the archaellin N-linked tetrasaccharide in Methanococcus maripaludis.在嗜盐碱甲烷球菌中鉴定参与古菌鞭毛蛋白N-连接四糖末端糖生物合成途径的基因。
Antonie Van Leeuwenhoek. 2016 Jan;109(1):131-48. doi: 10.1007/s10482-015-0615-z. Epub 2015 Nov 21.
4
The Oligosaccharyltransferase AglB Supports Surface-Associated Growth and Iron Oxidation in Methanococcus maripaludis.寡糖基转移酶 AglB 支持 Methanococcus maripaludis 的表面相关生长和铁氧化。
Appl Environ Microbiol. 2021 Aug 11;87(17):e0099521. doi: 10.1128/AEM.00995-21.
5
Substrate promiscuity: AglB, the archaeal oligosaccharyltransferase, can process a variety of lipid-linked glycans.底物选择性:古菌寡糖基转移酶AglB能够加工多种脂质连接聚糖。
Appl Environ Microbiol. 2014 Jan;80(2):486-96. doi: 10.1128/AEM.03191-13. Epub 2013 Nov 8.
6
Identification of genes involved in the biosynthesis of the third and fourth sugars of the Methanococcus maripaludis archaellin N-linked tetrasaccharide.鉴定参与 Methanococcus maripaludis 菌毛 N-连接四糖的第三和第四种糖生物合成的基因。
J Bacteriol. 2013 Sep;195(18):4094-104. doi: 10.1128/JB.00668-13. Epub 2013 Jul 8.
7
Biosynthesis and role of N-linked glycosylation in cell surface structures of archaea with a focus on flagella and s layers.N-连接糖基化在古菌细胞表面结构中的生物合成及作用,重点关注鞭毛和S层。
Int J Microbiol. 2010;2010:470138. doi: 10.1155/2010/470138. Epub 2010 Oct 5.
8
Identification of a novel -linked glycan on the archaellins and S-layer protein of the thermophilic methanogen, .鉴定嗜热产甲烷菌的菌毛和 S 层蛋白上的新型 - 连接聚糖。
J Biol Chem. 2020 Oct 23;295(43):14618-14629. doi: 10.1074/jbc.RA120.012790. Epub 2020 Aug 14.
9
Identification of genes involved in the biosynthesis and attachment of Methanococcus voltae N-linked glycans: insight into N-linked glycosylation pathways in Archaea.参与沃氏甲烷球菌N-连接聚糖生物合成和连接的基因鉴定:对古菌中N-连接糖基化途径的深入了解。
Mol Microbiol. 2006 Jul;61(1):259-68. doi: 10.1111/j.1365-2958.2006.05226.x.
10
Identification of genes involved in the assembly and attachment of a novel flagellin N-linked tetrasaccharide important for motility in the archaeon Methanococcus maripaludis.鉴定与新型鞭毛蛋白 N-连接四糖组装和连接相关的基因,该四糖对古菌 Methanococcus maripaludis 的运动性很重要。
Mol Microbiol. 2009 May;72(3):633-44. doi: 10.1111/j.1365-2958.2009.06671.x.

引用本文的文献

1
The Oligosaccharyltransferase AglB Supports Surface-Associated Growth and Iron Oxidation in Methanococcus maripaludis.寡糖基转移酶 AglB 支持 Methanococcus maripaludis 的表面相关生长和铁氧化。
Appl Environ Microbiol. 2021 Aug 11;87(17):e0099521. doi: 10.1128/AEM.00995-21.
2
Identification of a novel -linked glycan on the archaellins and S-layer protein of the thermophilic methanogen, .鉴定嗜热产甲烷菌的菌毛和 S 层蛋白上的新型 - 连接聚糖。
J Biol Chem. 2020 Oct 23;295(43):14618-14629. doi: 10.1074/jbc.RA120.012790. Epub 2020 Aug 14.
3
Comparative Analysis of Surface Layer Glycoproteins and Genes Involved in Protein Glycosylation in the Genus Haloferax.

本文引用的文献

1
N-glycosylation in the thermoacidophilic archaeon Sulfolobus acidocaldarius involves a short dolichol pyrophosphate carrier.嗜热嗜酸古菌嗜酸热硫化叶菌中的N-糖基化涉及一种短的焦磷酸多萜醇载体。
FEBS Lett. 2016 Sep;590(18):3168-78. doi: 10.1002/1873-3468.12341. Epub 2016 Sep 12.
2
Identification of the first transcriptional activator of an archaellum operon in a euryarchaeon.古菌中首个嗜盐古菌鞭毛操纵子转录激活因子的鉴定。
Mol Microbiol. 2016 Oct;102(1):54-70. doi: 10.1111/mmi.13444. Epub 2016 Jul 11.
3
Comparative Analysis of Archaeal Lipid-linked Oligosaccharides That Serve as Oligosaccharide Donors for Asn Glycosylation.
嗜盐富球菌属中表层糖蛋白及参与蛋白质糖基化的基因的比较分析
Genes (Basel). 2018 Mar 20;9(3):172. doi: 10.3390/genes9030172.
用作天冬酰胺糖基化寡糖供体的古菌脂质连接寡糖的比较分析。
J Biol Chem. 2016 May 20;291(21):11042-54. doi: 10.1074/jbc.M115.713156. Epub 2016 Mar 25.
4
Identification of Haloferax volcanii Pilin N-Glycans with Diverse Roles in Pilus Biosynthesis, Adhesion, and Microcolony Formation.嗜盐嗜碱栖热袍菌菌毛蛋白N-聚糖在菌毛生物合成、黏附及微菌落形成中的不同作用鉴定
J Biol Chem. 2016 May 13;291(20):10602-14. doi: 10.1074/jbc.M115.693556. Epub 2016 Mar 10.
5
Structural characterization of the N-linked pentasaccharide decorating glycoproteins of the halophilic archaeon Haloferax volcanii.嗜盐古菌沃氏嗜盐碱杆菌糖蛋白上N-连接五糖的结构表征
Glycobiology. 2016 Jul;26(7):745-756. doi: 10.1093/glycob/cww014. Epub 2016 Feb 10.
6
Effects of growth conditions on archaellation and N-glycosylation in Methanococcus maripaludis.生长条件对沼泽甲烷球菌中鞭毛形成和N-糖基化的影响。
Microbiology (Reading). 2016 Feb;162(2):339-350. doi: 10.1099/mic.0.000221. Epub 2015 Dec 4.
7
N-Linked Glycans Are Assembled on Highly Reduced Dolichol Phosphate Carriers in the Hyperthermophilic Archaea Pyrococcus furiosus.N-连接聚糖在嗜热古菌激烈火球菌中高度还原的磷酸多萜醇载体上组装。
PLoS One. 2015 Jun 22;10(6):e0130482. doi: 10.1371/journal.pone.0130482. eCollection 2015.
8
Structural elucidation of an asparagine-linked oligosaccharide from the hyperthermophilic archaeon, Archaeoglobus fulgidus.嗜热古菌富铁嗜热栖热菌中天冬酰胺连接寡糖的结构解析。
Carbohydr Res. 2015 Sep 2;413:55-62. doi: 10.1016/j.carres.2015.05.010. Epub 2015 Jun 3.
9
Evidence that biosynthesis of the second and third sugars of the archaellin Tetrasaccharide in the archaeon Methanococcus maripaludis occurs by the same pathway used by Pseudomonas aeruginosa to make a di-N-acetylated sugar.在嗜盐甲烷球菌中,古菌鞭毛蛋白四糖的第二和第三个糖的生物合成是通过铜绿假单胞菌用于合成二 - N - 乙酰化糖的相同途径进行的证据。
J Bacteriol. 2015 May;197(9):1668-80. doi: 10.1128/JB.00040-15. Epub 2015 Mar 2.
10
Effects of N-glycosylation site removal in archaellins on the assembly and function of archaella in Methanococcus maripaludis.去除甲烷嗜热栖热菌古菌鞭毛蛋白中N-糖基化位点对古菌鞭毛组装及功能的影响
PLoS One. 2015 Feb 20;10(2):e0116402. doi: 10.1371/journal.pone.0116402. eCollection 2015.