Suppr超能文献

通过光学相干断层扫描测量的健康土耳其人群的视网膜神经纤维层厚度。

Retinal nerve fiber layer thickness in a healthy Turkish population measured by optical coherence tomography.

作者信息

Cubuk Mehmet, Sahinoglu-Keskek Nedime, Keskek Sakir Ozgur

机构信息

Sakir Ozgur Keskek, Department of Internal Medicine,, Adana Numune Egitim ve Arastirma Hastanesi,, Adana, Turkey, T: +903223550101, F: +903223550105,

出版信息

Ann Saudi Med. 2016 Nov-Dec;36(6):409-413. doi: 10.5144/0256-4947.2016.409.

Abstract

BACKGROUND

Normative optical coherence tomography (OCT) data is required for different subsets of the population as ethnic differences in retinal nerve fiber layer (RNFL) thickness have been reported. An OCT database for the normal Turkish population is not commercially available.

OBJECTIVES

Quantify peripapillary RNFL thickness in a Turkish population.

DESIGN

Cross-sectional, descriptive study.

SETTING

Numune Training and Research Hospital, Adana, Turkey.

SUBJECTS AND METHODS

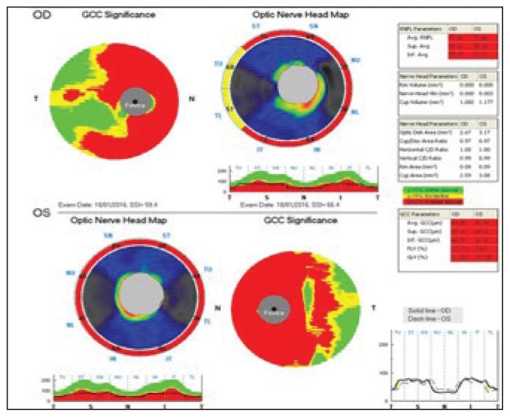
RNFL measurements performed by Spectral OCT with a circular scan with 3.4 mm circle were centered around the optic disc of the right eye of each subject. Correlation of the effects of age and gender on RNFL thickness was analyzed.

MAIN OUTCOME MEASURE(S): Correlation and measurements of RNFL. Retinal nerve fiber layer thick- ness measurements were obtained for the entire circumference of the optic nerve head.

RESULTS

In 307 healthy subjects consisting of 135 (44%) males and 172 (56%) females, with a mean (SD) age of 35.1 (9.6) years (range, 20-50 years), RNFL was superior: 132.2 (16.63) micro m, inferior: 139.1 (14.53) micro m, nasal: 96.2 (14.23) micro m, temporal: 79.8 (10.7) micro m. The mean (SD) RNFL thickness for the group was 111.5 (9.3) micro m. There was no significant difference between the average RNFL thicknesses of age groups nor between males and females (P=.1, P=.42), and no significant correlation with respect to age (P=.430, r=-.04). There was a statistically significant difference between the inferior quadrants of the two genders (P=.04).

CONCLUSIONS

RNFL thickness did not vary significantly with gender. A weak negative but statistically nonsignificant correlation between average RNFL thickness and age was found.

LIMITATIONS

The participants were young adults or at early middle age so age effects on RNFL thickness may not be explained. The data does not reflect the entire Turkish population, which is not homogeneous.

摘要

背景

由于已有报道称视网膜神经纤维层(RNFL)厚度存在种族差异,因此不同人群亚组需要规范的光学相干断层扫描(OCT)数据。目前尚无针对正常土耳其人群的OCT数据库可供商业使用。

目的

量化土耳其人群视乳头周围RNFL厚度。

设计

横断面描述性研究。

地点

土耳其阿达纳的努穆内培训与研究医院。

对象与方法

使用光谱OCT对每位受试者右眼视盘进行以3.4mm圆周的环形扫描,测量RNFL。分析年龄和性别对RNFL厚度的影响的相关性。

主要观察指标

RNFL的相关性和测量值。获取视神经乳头整个圆周的视网膜神经纤维层厚度测量值。

结果

在307名健康受试者中,男性135名(44%),女性172名(56%),平均(标准差)年龄为35.1(9.6)岁(范围20 - 50岁),RNFL厚度上方为:132.2(16.63)μm,下方为:139.1(14.53)μm,鼻侧为:96.2(14.23)μm,颞侧为:79.8(10.7)μm。该组的平均(标准差)RNFL厚度为111.5(9.3)μm。年龄组之间以及男性和女性之间的平均RNFL厚度均无显著差异(P = 0.1,P = 0.42),且与年龄无显著相关性(P = 0.430,r = -0.04)。两性下方象限之间存在统计学显著差异(P = 0.04)。

结论

RNFL厚度在性别上无显著差异。发现平均RNFL厚度与年龄之间存在弱负相关,但在统计学上无显著意义。

局限性

参与者为年轻成年人或中年早期,因此年龄对视神经纤维层厚度的影响可能无法得到解释。数据不能反映整个土耳其人群,该人群并非同质化。

https://cdn.ncbi.nlm.nih.gov/pmc/blobs/0eb6/6074200/d0da13011880/asm-6-409f1.jpg

文献AI研究员

20分钟写一篇综述,助力文献阅读效率提升50倍。

立即体验

用中文搜PubMed

大模型驱动的PubMed中文搜索引擎

马上搜索

文档翻译

学术文献翻译模型,支持多种主流文档格式。

立即体验