Suppr超能文献

Heterotopic Ossification in Rectal Carcinoma: Report of a Case and Review of the Literature.

作者信息

Shimazaki Jiro, Takemura Akira, Nishida Kiyotaka, Kajiyama Hideki, Shimoda Mitsugi, Suzuki Shuji

机构信息

Department of Gastroenterological Surgery, Ibaraki Medical Center, Tokyo Medical University, Inashiki, Japan.

出版信息

Case Rep Oncol. 2016 Nov 8;9(3):698-704. doi: 10.1159/000452297. eCollection 2016 Sep-Dec.

Abstract

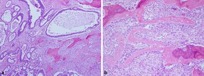
Heterotopic ossification in colorectal carcinoma is extremely rare. This report presents the case of a 57-year-old male who had undergone a low anterior resection following a diagnosis of rectal carcinoma. Histological examination showed heterotopic ossification in the tumor. The patient was referred to Ibaraki Medical Center, Tokyo Medical University, with a diagnosis of rectal carcinoma by a local physician. Abdominal computed tomography revealed thickening of the rectal wall with calcified deposits, and virtual colonoscopy showed stenosis with a mass in the rectum. The patient underwent a low anterior resection and diverting ileostomy in May 2014. Histological examination of the excised tumor showed moderately differentiated adenocarcinoma and an infiltration of spindle cells with numerous foci of osteoid and ossification, with osteoblastic rimming in the stroma. Immunohistochemical analysis of these spindle cells and osteoblasts revealed negative staining for AE1/AE3, suggesting a reactive change. There was metastasis in 1 of the 12 lymph nodes, and the tumor was diagnosed as stage IIIB (T4a, N1a, M0) rectal carcinoma. The patient had an uneventful recovery and was followed up at our outpatient clinic. In conclusion, the malignant potential of heterotopic ossification in rectal carcinoma has not been determined. However, heterotopic ossification is induced by tumor progression in a microenvironment, suggesting a high tumor malignity. The patient should be carefully monitored after surgery in terms of improved patient outcome.

摘要
https://cdn.ncbi.nlm.nih.gov/pmc/blobs/6c29/5126607/e00b73c60bb0/cro-0009-0698-g01.jpg

文献AI研究员

20分钟写一篇综述,助力文献阅读效率提升50倍。

立即体验

用中文搜PubMed

大模型驱动的PubMed中文搜索引擎

马上搜索

文档翻译

学术文献翻译模型,支持多种主流文档格式。

立即体验