• 文献检索
  • 文档翻译
  • 深度研究
  • 学术资讯
  • Suppr Zotero 插件Zotero 插件
  • 邀请有礼
  • 套餐&价格
  • 历史记录
应用&插件
Suppr Zotero 插件Zotero 插件浏览器插件Mac 客户端Windows 客户端微信小程序
定价
高级版会员购买积分包购买API积分包
服务
文献检索文档翻译深度研究API 文档MCP 服务
关于我们
关于 Suppr公司介绍联系我们用户协议隐私条款
关注我们

Suppr 超能文献

核心技术专利:CN118964589B侵权必究
粤ICP备2023148730 号-1Suppr @ 2026

文献检索

告别复杂PubMed语法,用中文像聊天一样搜索,搜遍4000万医学文献。AI智能推荐,让科研检索更轻松。

立即免费搜索

文件翻译

保留排版,准确专业,支持PDF/Word/PPT等文件格式,支持 12+语言互译。

免费翻译文档

深度研究

AI帮你快速写综述,25分钟生成高质量综述,智能提取关键信息,辅助科研写作。

立即免费体验

人源微小RNA-376c-3p对胃癌生长具有双向调控作用。 (你提供的原文似乎不完整,此译文是根据推测补充完整意思后的结果。)

hsa-miR-376c-3p Regulates Gastric Tumor Growth Both and .

作者信息

Tu Lin, Zhao Enhao, Zhao Wenyi, Zhang Zizhen, Tang Defeng, Zhang Yeqian, Wang Chaojie, Zhuang Chun, Cao Hui

机构信息

Department of Gastrointestinal Surgery, Ren Ji Hospital, School of Medicine, Shanghai Jiao Tong University, Shanghai 200127, China.

出版信息

Biomed Res Int. 2016;2016:9604257. doi: 10.1155/2016/9604257. Epub 2016 Nov 14.

DOI:10.1155/2016/9604257
PMID:27965982
原文链接:https://pmc.ncbi.nlm.nih.gov/articles/PMC5124681/
Abstract

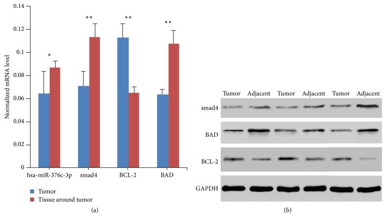
. In recent studies, aberrant expression of various microRNAs (miRNAs) is reported to be associated with gastric cancer metastasis. . Overexpression construct and inhibitor of hsa-miR-376c-3p were expressed in human gastric adenocarcinoma cell line SGC-7901. The expression level of tumor related genes was detected by qPCR, western blot, and immunostaining. Cell apoptosis was determined by flow cytometry. Xenograft of SGC-7901 cells was used to elucidate the function of hsa-miR-376c-3p in gastric tumor growth . . Expression of hsa-miR-376c-3p was detected in SGC-7901 cells. Downregulation of hsa-miR-376c-3p increased the expression level of BCL-2 and decreased the expression of smad4 and BAD. On the contrary, overexpression of hsa-miR-376c-3p increased the expression of BAD and smad4, while it led to the decreasing expression level of BCL-2. Overexpression of hsa-miR-376c-3p also promoted cell apoptosis and inhibited gastric tumor growth . Furthermore, the expression of BCL-2 was higher and expression of smad4 and BAD was lower in tumor tissue than the tissue adjacent to tumor from gastric cancer patients. . This study demonstrated that hsa-miR-376c-3p plays an important role in the inhibition of gastric tumor growth and tumor related gene expression both and .

摘要

在最近的研究中,据报道各种微小RNA(miRNA)的异常表达与胃癌转移有关。在人胃腺癌细胞系SGC-7901中表达了hsa-miR-376c-3p的过表达构建体和抑制剂。通过qPCR、蛋白质印迹和免疫染色检测肿瘤相关基因的表达水平。通过流式细胞术测定细胞凋亡。利用SGC-7901细胞的异种移植来阐明hsa-miR-376c-3p在胃肿瘤生长中的功能。在SGC-7901细胞中检测到hsa-miR-376c-3p的表达。hsa-miR-376c-3p的下调增加了BCL-2的表达水平,降低了smad4和BAD的表达。相反,hsa-miR-376c-3p的过表达增加了BAD和smad4的表达,同时导致BCL-2的表达水平降低。hsa-miR-376c-3p的过表达还促进了细胞凋亡并抑制了胃肿瘤生长。此外,在胃癌患者的肿瘤组织中,BCL-2的表达高于肿瘤旁组织,而smad4和BAD的表达低于肿瘤旁组织。这项研究表明,hsa-miR-376c-3p在抑制胃肿瘤生长和肿瘤相关基因表达方面均发挥着重要作用。

https://cdn.ncbi.nlm.nih.gov/pmc/blobs/477a/5124681/c5021a28dbd9/BMRI2016-9604257.006.jpg
https://cdn.ncbi.nlm.nih.gov/pmc/blobs/477a/5124681/0fdfd57a3b27/BMRI2016-9604257.001.jpg
https://cdn.ncbi.nlm.nih.gov/pmc/blobs/477a/5124681/2b102dc7a0d3/BMRI2016-9604257.002.jpg
https://cdn.ncbi.nlm.nih.gov/pmc/blobs/477a/5124681/70017a9f1039/BMRI2016-9604257.003.jpg
https://cdn.ncbi.nlm.nih.gov/pmc/blobs/477a/5124681/890ffe796b94/BMRI2016-9604257.004.jpg
https://cdn.ncbi.nlm.nih.gov/pmc/blobs/477a/5124681/9e2cece6efa8/BMRI2016-9604257.005.jpg
https://cdn.ncbi.nlm.nih.gov/pmc/blobs/477a/5124681/c5021a28dbd9/BMRI2016-9604257.006.jpg
https://cdn.ncbi.nlm.nih.gov/pmc/blobs/477a/5124681/0fdfd57a3b27/BMRI2016-9604257.001.jpg
https://cdn.ncbi.nlm.nih.gov/pmc/blobs/477a/5124681/2b102dc7a0d3/BMRI2016-9604257.002.jpg
https://cdn.ncbi.nlm.nih.gov/pmc/blobs/477a/5124681/70017a9f1039/BMRI2016-9604257.003.jpg
https://cdn.ncbi.nlm.nih.gov/pmc/blobs/477a/5124681/890ffe796b94/BMRI2016-9604257.004.jpg
https://cdn.ncbi.nlm.nih.gov/pmc/blobs/477a/5124681/9e2cece6efa8/BMRI2016-9604257.005.jpg
https://cdn.ncbi.nlm.nih.gov/pmc/blobs/477a/5124681/c5021a28dbd9/BMRI2016-9604257.006.jpg

相似文献

1
hsa-miR-376c-3p Regulates Gastric Tumor Growth Both and .人源微小RNA-376c-3p对胃癌生长具有双向调控作用。 (你提供的原文似乎不完整,此译文是根据推测补充完整意思后的结果。)
Biomed Res Int. 2016;2016:9604257. doi: 10.1155/2016/9604257. Epub 2016 Nov 14.
2
Hsa-miR-30a-3p attenuates gastric adenocarcinoma proliferation and metastasis via APBB2.hsa-miR-30a-3p 通过 APBB2 抑制胃腺癌的增殖和转移。
Aging (Albany NY). 2021 Jun 28;13(12):16763-16772. doi: 10.18632/aging.203197.
3
Propofol inhibited gastric cancer proliferation via the hsa-miR-328-3p/STAT3 pathway.异丙酚通过 hsa-miR-328-3p/STAT3 通路抑制胃癌增殖。
Clin Transl Oncol. 2021 Sep;23(9):1866-1873. doi: 10.1007/s12094-021-02595-9. Epub 2021 Mar 27.
4
miR-324-3p promotes gastric cancer development by activating Smad4-mediated Wnt/beta-catenin signaling pathway.miR-324-3p 通过激活 Smad4 介导的 Wnt/β-catenin 信号通路促进胃癌的发展。
J Gastroenterol. 2018 Jun;53(6):725-739. doi: 10.1007/s00535-017-1408-0. Epub 2017 Nov 4.
5
miR-199a-3p targets ETNK1 to promote invasion and migration in gastric cancer cells and is associated with poor prognosis.miR-199a-3p 通过靶向 ETNK1 促进胃癌细胞的侵袭和迁移,并与不良预后相关。
Pathol Res Pract. 2019 Sep;215(9):152511. doi: 10.1016/j.prp.2019.152511. Epub 2019 Jun 21.
6
Influence of miR-376c-3p/SYF2 Axis on the Progression of Gastric Cancer.miR-376c-3p/SYF2 轴对胃癌进展的影响。
Technol Cancer Res Treat. 2019 Jan 1;18:1533033819874808. doi: 10.1177/1533033819874808.
7
Circular RNA hsa_circ_0000467 Promotes the Development of Gastric Cancer by Competitively Binding to MicroRNA miR-326-3p.环状 RNA hsa_circ_0000467 通过竞争性结合 microRNA miR-326-3p 促进胃癌的发展。
Biomed Res Int. 2020 Feb 6;2020:4030826. doi: 10.1155/2020/4030826. eCollection 2020.
8
miR-25-3p inhibition impairs tumorigenesis and invasion in gastric cancer cells and .miR-25-3p 抑制可损害胃癌细胞的肿瘤发生和侵袭能力。
Bioengineered. 2020 Dec;11(1):81-90. doi: 10.1080/21655979.2019.1710924.
9
Loss of has-miR-337-3p expression is associated with lymph node metastasis of human gastric cancer.has-miR-337-3p表达缺失与人类胃癌的淋巴结转移相关。
J Exp Clin Cancer Res. 2013 Oct 16;32(1):76. doi: 10.1186/1756-9966-32-76.
10
MicroRNA-302b-3p Suppresses Cell Proliferation Through AKT Pathway by Targeting IGF-1R in Human Gastric Cancer.微小RNA-302b-3p通过靶向人胃癌中的胰岛素样生长因子-1受体(IGF-1R),经由AKT信号通路抑制细胞增殖。
Cell Physiol Biochem. 2017;42(4):1701-1711. doi: 10.1159/000479419. Epub 2017 Jul 25.

引用本文的文献

1
Diagnostic and Therapeutic Potential of Selected microRNAs in Colorectal Cancer: A Literature Review.特定微小RNA在结直肠癌中的诊断和治疗潜力:文献综述
Cancers (Basel). 2025 Jun 25;17(13):2135. doi: 10.3390/cancers17132135.
2
MiRNA Profiling of Areca Nut-Induced Carcinogenesis in Head and Neck Cancer.槟榔诱导头颈癌发生的微小RNA谱分析
Cancers (Basel). 2024 Nov 3;16(21):3710. doi: 10.3390/cancers16213710.
3
MicroRNA-128 acts as a suppressor in the progression of gastrointestinal stromal tumor by targeting B-lymphoma Mo-MLV insertion region 1.

本文引用的文献

1
Effectiveness of local injection of lentivirus-delivered stathmin1 and stathmin1 shRNA in human gastric cancer xenograft mouse.慢病毒介导的Stathmin1及Stathmin1 shRNA局部注射对人胃癌裸鼠移植瘤的作用
J Gastroenterol Hepatol. 2014 Sep;29(9):1685-91. doi: 10.1111/jgh.12594.
2
miR-17-5p/20a are important markers for gastric cancer and murine double minute 2 participates in their functional regulation.miR-17-5p/20a 是胃癌的重要标志物,双微体 2 参与其功能调节。
Eur J Cancer. 2013 May;49(8):2010-21. doi: 10.1016/j.ejca.2012.12.017. Epub 2013 Jan 16.
3
Changes in circulating microRNA levels associated with prostate cancer.
MicroRNA-128 通过靶向 B 淋巴细胞瘤 Mo-MLV 插入区 1 发挥抑制作用,从而抑制胃肠道间质瘤的进展。
Clin Transl Oncol. 2024 Feb;26(2):363-374. doi: 10.1007/s12094-023-03354-8. Epub 2023 Dec 16.
4
The intracellular parasite Anncaliia algerae induces a massive miRNA down-regulation in human cells.细胞内寄生虫阿尔及利亚阿氏巴贝斯虫可诱导人类细胞中大量的微小RNA下调。
Noncoding RNA Res. 2023 May 18;8(3):363-375. doi: 10.1016/j.ncrna.2023.05.003. eCollection 2023 Sep.
5
Targeted MicroRNA Profiling in Gastric Cancer with Clinical Assessement.基于临床评估的胃癌靶向微小RNA分析
Balkan J Med Genet. 2022 Jun 5;24(2):55-64. doi: 10.2478/bjmg-2021-0022. eCollection 2021 Nov.
6
Construction of a circRNA-miRNA-mRNA Regulatory Network for Coronary Artery Disease by Bioinformatics Analysis.基于生物信息学分析构建冠心病的circRNA-miRNA-mRNA调控网络
Cardiol Res Pract. 2022 Feb 16;2022:4017082. doi: 10.1155/2022/4017082. eCollection 2022.
7
Potential role of circular RNA in cyclosporin A-induced cardiotoxicity in rats.环状 RNA 在环孢素 A 诱导大鼠心脏毒性中的潜在作用。
J Appl Toxicol. 2022 Feb;42(2):216-229. doi: 10.1002/jat.4203. Epub 2021 May 25.
8
MiR-450a-5p Inhibits Gastric Cancer Cell Proliferation, Migration, and Invasion and Promotes Apoptosis Targeting CREB1 and Inhibiting AKT/GSK-3β Signaling Pathway.MiR-450a-5p通过靶向CREB1并抑制AKT/GSK-3β信号通路来抑制胃癌细胞的增殖、迁移和侵袭并促进凋亡。
Front Oncol. 2021 Mar 29;11:633366. doi: 10.3389/fonc.2021.633366. eCollection 2021.
9
miR-376c-3p modulates the properties of breast cancer stem cells by targeting RAB2A.微小RNA-376c-3p通过靶向RAB2A调节乳腺癌干细胞的特性。
Exp Ther Med. 2020 Nov;20(5):68. doi: 10.3892/etm.2020.9196. Epub 2020 Sep 9.
10
Gene co-expression network for analysis of plasma exosomal miRNAs in the elderly as markers of aging and cognitive decline.用于分析老年人血浆外泌体微小RNA作为衰老和认知衰退标志物的基因共表达网络。
PeerJ. 2020 Jan 6;8:e8318. doi: 10.7717/peerj.8318. eCollection 2020.
与前列腺癌相关的循环 microRNA 水平的变化。
Br J Cancer. 2012 Feb 14;106(4):768-74. doi: 10.1038/bjc.2011.595. Epub 2012 Jan 12.
4
Epigenetic regulation of miR-34b and miR-129 expression in gastric cancer.胃癌中 miR-34b 和 miR-129 的表观遗传调控。
Int J Cancer. 2011 Dec 1;129(11):2600-10. doi: 10.1002/ijc.25919.
5
Estimates of worldwide burden of cancer in 2008: GLOBOCAN 2008.2008 年全球癌症负担估计值:GLOBOCAN 2008。
Int J Cancer. 2010 Dec 15;127(12):2893-917. doi: 10.1002/ijc.25516.
6
p53 regulates epithelial-mesenchymal transition and stem cell properties through modulating miRNAs.p53 通过调节 miRNA 调控上皮-间充质转化和干细胞特性。
Nat Cell Biol. 2011 Mar;13(3):317-23. doi: 10.1038/ncb2173. Epub 2011 Feb 20.
7
Global cancer statistics.全球癌症统计数据。
CA Cancer J Clin. 2011 Mar-Apr;61(2):69-90. doi: 10.3322/caac.20107. Epub 2011 Feb 4.
8
Treatment strategy for early gastric cancer.早期胃癌的治疗策略。
Surg Oncol. 2012 Jun;21(2):119-23. doi: 10.1016/j.suronc.2010.12.004. Epub 2011 Jan 21.
9
MiR-375 frequently downregulated in gastric cancer inhibits cell proliferation by targeting JAK2.miR-375 在胃癌中经常下调,通过靶向 JAK2 抑制细胞增殖。
Cell Res. 2010 Jul;20(7):784-93. doi: 10.1038/cr.2010.79. Epub 2010 Jun 15.
10
Gastric cancer: a primer on the epidemiology and biology of the disease and an overview of the medical management of advanced disease.胃癌:疾病的流行病学和生物学概述,以及晚期疾病的医学管理概述。
J Natl Compr Canc Netw. 2010 Apr;8(4):437-47. doi: 10.6004/jnccn.2010.0033.