Kim Su Bin, Shin Yoon Cheol, Kwon Sung Uk
Division of Cardiovascular Medicine, Department of Medicine Department of Thoracic and Cardiovascular Surgery, Inje University Ilsan Paik Hospital, Goyang, Republic of Korea.
Medicine (Baltimore). 2016 Dec;95(51):e5544. doi: 10.1097/MD.0000000000005544.
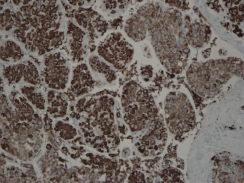
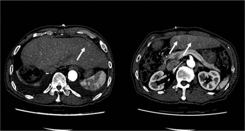
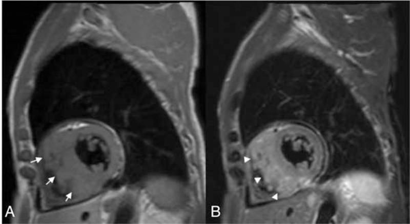
Metastatic hepatocellular carcinoma (HCC) of the right ventricle is very rare and difficult to diagnosis.A 79-year-old man who underwent right hemi-hepatectomy for HCC was admitted to our hospital for chest pain, severe dyspnea, and orthopnea. The echocardiogram showed a tumor located in the right ventricle. A biopsy was obtained, and histopathological findings confirmed metastatic HCC. Palliative resection of the tumor was performed.There is no standard treatment for metastatic HCC into the right ventricle. Thus, treatment should be individualized to the patient, and a multidisciplinary approach should be used.
右心室转移性肝细胞癌(HCC)非常罕见且诊断困难。一名因HCC接受右半肝切除术的79岁男性因胸痛、严重呼吸困难和端坐呼吸入住我院。超声心动图显示右心室内有一个肿瘤。进行了活检,组织病理学检查结果证实为转移性HCC。对肿瘤进行了姑息性切除。对于转移至右心室的HCC尚无标准治疗方法。因此,治疗应根据患者个体情况而定,并采用多学科方法。