Suppr超能文献

胸腺表皮样囊肿:这种罕见的前纵隔肿物的临床及影像学表现

Thymic Epidermoid Cyst: Clinical and Imaging Manifestations of This Rare Anterior Mediastinal Mass.

作者信息

Qureshi Jawad M, Pagano Brian, Mueller Jeffrey, Schumacher Lana, Velosa Claudia, Hartman Matthew S

机构信息

Department of Radiology, Allegheny Health Network, Pittsburgh, PA, USA.

Temple University School of Medicine, Philadelphia, PA, USA.

出版信息

Case Rep Radiol. 2016;2016:5789321. doi: 10.1155/2016/5789321. Epub 2016 Nov 24.

Abstract

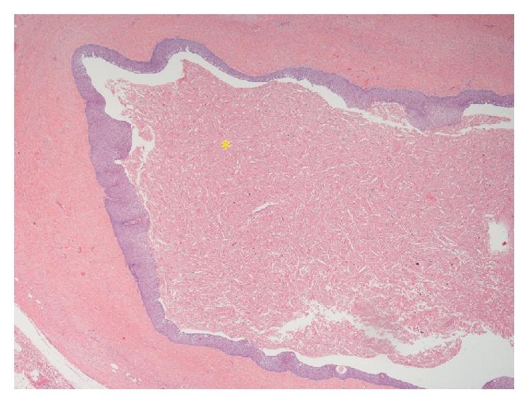
Thymic epidermoid cysts are an extremely rare entity. These arise from epidermal cells that migrate to the thymus. The radiologic diagnosis of this rare lesion is challenging. We describe a case of an otherwise healthy 35-year-old woman who presented with an acute onset of chest pain and shortness of breath. She was found to have an anterior mediastinal mass. The imaging findings were, however, not characteristic for any single diagnostic entity. Since the imaging was inconclusive, surgical resection was performed for definitive diagnosis. The mass was found to be a thymic epidermoid cyst. This case underlines the significance for radiologists to be aware that epidermoid cysts can occur in the thymus and should be considered in the differential diagnosis for a heterogeneous anterior mediastinal mass.

摘要

胸腺表皮样囊肿是一种极其罕见的病变。它们起源于迁移至胸腺的表皮细胞。对这种罕见病变进行放射学诊断具有挑战性。我们描述了一例35岁健康女性病例,该患者突发胸痛和呼吸急促。她被发现前纵隔有一肿块。然而,影像学表现并不具有任何单一诊断实体的特征。由于影像学检查结果不明确,遂进行手术切除以明确诊断。结果发现该肿块是一个胸腺表皮样囊肿。该病例强调了放射科医生认识到表皮样囊肿可发生于胸腺且在鉴别诊断前纵隔不均质肿块时应予以考虑的重要性。

https://cdn.ncbi.nlm.nih.gov/pmc/blobs/01dd/5143738/bda9c40fa32d/CRIRA2016-5789321.001.jpg

文献AI研究员

20分钟写一篇综述,助力文献阅读效率提升50倍。

立即体验

用中文搜PubMed

大模型驱动的PubMed中文搜索引擎

马上搜索

文档翻译

学术文献翻译模型,支持多种主流文档格式。

立即体验