• 文献检索
  • 文档翻译
  • 深度研究
  • 学术资讯
  • Suppr Zotero 插件Zotero 插件
  • 邀请有礼
  • 套餐&价格
  • 历史记录
应用&插件
Suppr Zotero 插件Zotero 插件浏览器插件Mac 客户端Windows 客户端微信小程序
定价
高级版会员购买积分包购买API积分包
服务
文献检索文档翻译深度研究API 文档MCP 服务
关于我们
关于 Suppr公司介绍联系我们用户协议隐私条款
关注我们

Suppr 超能文献

核心技术专利:CN118964589B侵权必究
粤ICP备2023148730 号-1Suppr @ 2026

文献检索

告别复杂PubMed语法,用中文像聊天一样搜索,搜遍4000万医学文献。AI智能推荐,让科研检索更轻松。

立即免费搜索

文件翻译

保留排版,准确专业,支持PDF/Word/PPT等文件格式,支持 12+语言互译。

免费翻译文档

深度研究

AI帮你快速写综述,25分钟生成高质量综述,智能提取关键信息,辅助科研写作。

立即免费体验

钇-90放射性栓塞治疗KRAS野生型和突变型患者的结直肠癌肝转移:临床和循环游离DNA研究

Yttrium-90 radioembolization for colorectal cancer liver metastases in KRAS wild-type and mutant patients: Clinical and ccfDNA studies.

作者信息

Janowski E, Timofeeva O, Chasovskikh S, Goldberg M, Kim A, Banovac F, Pang D, Dritschilo A, Unger K

机构信息

Department of Radiation Medicine, Georgetown University Hospital, Washington, DC, USA.

Department of Oncology, Georgetown University, Washington, DC, USA.

出版信息

Oncol Rep. 2017 Jan;37(1):57-65. doi: 10.3892/or.2016.5284. Epub 2016 Nov 29.

DOI:10.3892/or.2016.5284
PMID:28004119
原文链接:https://pmc.ncbi.nlm.nih.gov/articles/PMC5355723/
Abstract

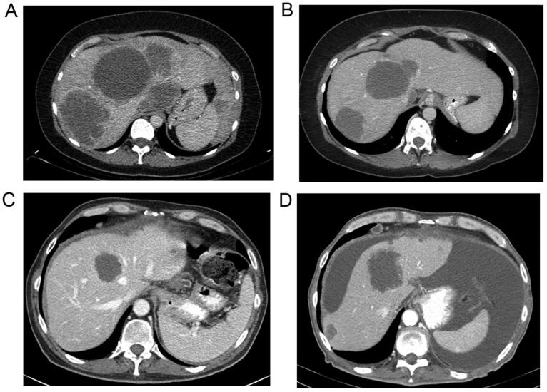
Patients with unresectable, chemo-refractory colorectal cancer liver metastases (CRCLM) have limited local treatment options. We report our institutional experience on the efficacy of resin-based yttrium-90 (90Y) radioembolization for the treatment of CRCLM and our findings on associated circulating cell-free DNA (ccfDNA) studies. A total of 58 patients treated with 90Y for CRCLM at the Medstar Georgetown University Hospital had a median survival of 6 months [95% confidence interval (CI), 4.55‑7.45 months] after treatment, with a 12-month survival rate of 33%. The median survival from treatment stratified by mutational status was longer in the wild-type (WT) as compared to the KRAS mutant patients at 7 vs. 5 months, but did not achieve statistical significance (p=0.059). Median tumor local control duration after 90Y treatment was 2 months (95% CI, 0.34‑3.66 months) for the entire cohort and was longer in the WT vs. the mutant patients (2 vs. 1 month, respectively, p=0.088). Plasma was prospectively collected from a subset of 9 patients both before and after single lobe treatment, and ccfDNA concentration and fragmentation index (FI) were measured using quantitative PCR and atomic-force microscopy (AFM). In the WT and KRAS mutant patients, DNA FI was reduced from a median of 0.73-0.65 after treatment. A reduction in DNA FI after single lobe treatment was associated with an improved overall survival (p=0.046). Analysis by AFM of paired pre- and post-treatment samples from KRAS mutant and WT patients revealed a larger average decrease in fragment size in the WT patients (p=0.013). 90Y radioembolization extends local control for CRCLM, however, KRAS mutant tumors may be more radio-resistant to treatment. Changes in the FI of patients following treatment were noted and may be evaluated in a larger study for relevance as a biomarker of response.

摘要

不可切除的化疗难治性结直肠癌肝转移(CRCLM)患者的局部治疗选择有限。我们报告了我们机构关于基于树脂的钇-90(90Y)放射性栓塞治疗CRCLM的疗效以及相关循环游离DNA(ccfDNA)研究的结果。在梅斯达乔治敦大学医院,共有58例接受90Y治疗的CRCLM患者在治疗后的中位生存期为6个月[95%置信区间(CI),4.55 - 7.45个月],12个月生存率为33%。按突变状态分层的治疗后中位生存期,野生型(WT)患者(7个月)比KRAS突变型患者(5个月)长,但未达到统计学意义(p = 0.059)。整个队列90Y治疗后的中位肿瘤局部控制持续时间为2个月(95% CI,0.34 - 3.66个月),WT患者比突变型患者更长(分别为2个月和1个月,p = 0.088)。前瞻性收集了9例单叶治疗前后患者的血浆,并使用定量PCR和原子力显微镜(AFM)测量ccfDNA浓度和片段化指数(FI)。在WT和KRAS突变型患者中,治疗后DNA FI从中位值0.73降至0.65。单叶治疗后DNA FI的降低与总体生存期改善相关(p = 0.046)。对KRAS突变型和WT患者治疗前后配对样本进行AFM分析显示,WT患者片段大小的平均减小幅度更大(p = 0.013)。90Y放射性栓塞可延长CRCLM的局部控制时间,然而,KRAS突变型肿瘤可能对治疗更具放射性抗性。注意到治疗后患者FI的变化,可能需要在更大规模的研究中评估其作为反应生物标志物的相关性。

https://cdn.ncbi.nlm.nih.gov/pmc/blobs/e8d8/5355723/34d93aab353c/OR-37-01-0057-g05.jpg
https://cdn.ncbi.nlm.nih.gov/pmc/blobs/e8d8/5355723/cd2c23d6682e/OR-37-01-0057-g00.jpg
https://cdn.ncbi.nlm.nih.gov/pmc/blobs/e8d8/5355723/8dd5c56e8ba6/OR-37-01-0057-g01.jpg
https://cdn.ncbi.nlm.nih.gov/pmc/blobs/e8d8/5355723/563d019ee6fa/OR-37-01-0057-g02.jpg
https://cdn.ncbi.nlm.nih.gov/pmc/blobs/e8d8/5355723/740e33d533eb/OR-37-01-0057-g03.jpg
https://cdn.ncbi.nlm.nih.gov/pmc/blobs/e8d8/5355723/63b48a3ecdbd/OR-37-01-0057-g04.jpg
https://cdn.ncbi.nlm.nih.gov/pmc/blobs/e8d8/5355723/34d93aab353c/OR-37-01-0057-g05.jpg
https://cdn.ncbi.nlm.nih.gov/pmc/blobs/e8d8/5355723/cd2c23d6682e/OR-37-01-0057-g00.jpg
https://cdn.ncbi.nlm.nih.gov/pmc/blobs/e8d8/5355723/8dd5c56e8ba6/OR-37-01-0057-g01.jpg
https://cdn.ncbi.nlm.nih.gov/pmc/blobs/e8d8/5355723/563d019ee6fa/OR-37-01-0057-g02.jpg
https://cdn.ncbi.nlm.nih.gov/pmc/blobs/e8d8/5355723/740e33d533eb/OR-37-01-0057-g03.jpg
https://cdn.ncbi.nlm.nih.gov/pmc/blobs/e8d8/5355723/63b48a3ecdbd/OR-37-01-0057-g04.jpg
https://cdn.ncbi.nlm.nih.gov/pmc/blobs/e8d8/5355723/34d93aab353c/OR-37-01-0057-g05.jpg

相似文献

1
Yttrium-90 radioembolization for colorectal cancer liver metastases in KRAS wild-type and mutant patients: Clinical and ccfDNA studies.钇-90放射性栓塞治疗KRAS野生型和突变型患者的结直肠癌肝转移:临床和循环游离DNA研究
Oncol Rep. 2017 Jan;37(1):57-65. doi: 10.3892/or.2016.5284. Epub 2016 Nov 29.
2
KRAS Status as an Independent Prognostic Factor for Survival after Yttrium-90 Radioembolization Therapy for Unresectable Colorectal Cancer Liver Metastases.KRAS状态作为不可切除的结直肠癌肝转移患者钇-90放射性栓塞治疗后生存的独立预后因素
J Vasc Interv Radiol. 2015 Aug;26(8):1102-11. doi: 10.1016/j.jvir.2015.05.032.
3
Is yttrium-90 radioembolization a viable treatment option for unresectable, chemorefractory colorectal cancer liver metastases? A large single-center experience of 302 patients.钇-90放射性栓塞术对于无法切除、化疗难治性的结直肠癌肝转移患者是一种可行的治疗选择吗?一项针对302例患者的大型单中心经验。
Ann Surg Oncol. 2015 Mar;22(3):794-802. doi: 10.1245/s10434-014-4164-x. Epub 2014 Oct 17.
4
Connecting cancer biology and clinical outcomes to imaging in KRAS mutant and wild-type colorectal cancer liver tumors following selective internal radiation therapy with yttrium-90.在选择性内部放射治疗用钇-90 治疗 KRAS 突变型和野生型结直肠癌肝转移瘤后,将癌症生物学和临床结果与影像联系起来。
Abdom Radiol (NY). 2017 Feb;42(2):451-459. doi: 10.1007/s00261-016-0875-8.
5
Outcomes of Radioembolization in Patients with Chemorefractory Colorectal Cancer Liver Metastasis: a Single-Center Experience.化学难治性结直肠癌肝转移患者放射性栓塞治疗的疗效:单中心经验
J Gastrointest Cancer. 2019 Jun;50(2):236-243. doi: 10.1007/s12029-018-0053-z.
6
Prognostic value of pretreatment diffusion-weighted magnetic resonance imaging for outcome prediction of colorectal cancer liver metastases undergoing 90Y-microsphere radioembolization.治疗前扩散加权磁共振成像对接受90Y微球放射性栓塞治疗的结直肠癌肝转移患者预后预测的价值
J Cancer Res Clin Oncol. 2017 Aug;143(8):1531-1541. doi: 10.1007/s00432-017-2395-5. Epub 2017 Mar 19.
7
90Y Radioembolization of Colorectal Hepatic Metastases Using Glass Microspheres: Safety and Survival Outcomes from a 531-Patient Multicenter Study.使用玻璃微球进行90Y放射性栓塞治疗结直肠癌肝转移:一项纳入531例患者的多中心研究的安全性和生存结果
J Nucl Med. 2016 May;57(5):665-71. doi: 10.2967/jnumed.115.166082. Epub 2015 Dec 3.
8
Yttrium-90 radioembolization for the treatment of chemorefractory colorectal liver metastases: Technical results, clinical outcome and factors potentially influencing survival.钇-90放射性栓塞治疗化疗难治性结直肠癌肝转移:技术结果、临床结局及可能影响生存的因素
Acta Oncol. 2016;55(4):486-95. doi: 10.3109/0284186X.2015.1101151. Epub 2015 Dec 1.
9
Yttrium-90 Hepatic Radioembolization for Advanced Chemorefractory Metastatic Colorectal Cancer: Survival Outcomes Based on Right- Versus Left-Sided Primary Tumor Location.钇-90 放射性栓塞治疗化疗耐药转移性结直肠癌:基于原发肿瘤位置左右侧的生存结果。
AJR Am J Roentgenol. 2021 Nov;217(5):1141-1152. doi: 10.2214/AJR.20.25315. Epub 2021 Feb 17.
10
Insights into the Dose-Response Relationship of Radioembolization with Resin 90Y-Microspheres: A Prospective Cohort Study in Patients with Colorectal Cancer Liver Metastases.树脂90Y微球放射性栓塞剂量反应关系的见解:一项针对结直肠癌肝转移患者的前瞻性队列研究。
J Nucl Med. 2016 Jul;57(7):1014-9. doi: 10.2967/jnumed.115.166942. Epub 2016 Feb 23.

引用本文的文献

1
Voxel-based dosimetry with integrated Y-90 PET/MRI and prediction of response of primary and metastatic liver tumors to radioembolization with Y-90 glass microspheres.基于体素的剂量测定与集成式Y-90 PET/MRI以及原发性和转移性肝肿瘤对Y-90玻璃微球放射性栓塞反应的预测。
Ann Nucl Med. 2025 Jan;39(1):31-46. doi: 10.1007/s12149-024-01974-w. Epub 2024 Aug 29.
2
Circulating DNA in patients undergoing loco-regional treatment of colorectal cancer metastases: a systematic review and meta-analysis.接受结直肠癌转移灶局部区域治疗患者的循环DNA:一项系统评价和荟萃分析。
Ther Adv Med Oncol. 2022 Nov 2;14:17588359221133171. doi: 10.1177/17588359221133171. eCollection 2022.
3

本文引用的文献

1
RAS mutation is a prognostic biomarker in colorectal cancer patients with metastasectomy.RAS突变是接受转移灶切除术的结直肠癌患者的一种预后生物标志物。
Int J Cancer. 2016 Aug 15;139(4):803-11. doi: 10.1002/ijc.30106. Epub 2016 Apr 19.
2
RAS Mutations as Predictive Biomarkers in Clinical Management of Metastatic Colorectal Cancer.RAS突变作为转移性结直肠癌临床管理中的预测生物标志物
Clin Colorectal Cancer. 2016 Jun;15(2):95-103. doi: 10.1016/j.clcc.2015.10.006. Epub 2015 Nov 11.
3
SIRFLOX: Randomized Phase III Trial Comparing First-Line mFOLFOX6 (Plus or Minus Bevacizumab) Versus mFOLFOX6 (Plus or Minus Bevacizumab) Plus Selective Internal Radiation Therapy in Patients With Metastatic Colorectal Cancer.
Personalized Therapy and Liquid Biopsy-A Focus on Colorectal Cancer.
个性化治疗与液体活检——聚焦结直肠癌
J Pers Med. 2021 Jul 1;11(7):630. doi: 10.3390/jpm11070630.
4
LncRNA CRNDE and lncRNA SNHG7 are Promising Biomarkers for Prognosis in Synchronous Colorectal Liver Metastasis Following Hepatectomy.长链非编码RNA CRNDE和长链非编码RNA SNHG7是肝切除术后同步性结直肠癌肝转移预后的有前景的生物标志物。
Cancer Manag Res. 2020 Mar 9;12:1681-1692. doi: 10.2147/CMAR.S233147. eCollection 2020.
5
Liver-Directed and Systemic Therapies for Colorectal Cancer Liver Metastases.用于结直肠癌肝转移的肝靶向治疗和全身治疗
Cardiovasc Intervent Radiol. 2019 Sep;42(9):1240-1254. doi: 10.1007/s00270-019-02284-9. Epub 2019 Jul 16.
6
A Review on the Special Radiotherapy Techniques of Colorectal Cancer.结直肠癌特殊放疗技术综述
Front Oncol. 2019 Apr 2;9:208. doi: 10.3389/fonc.2019.00208. eCollection 2019.
7
Application of atomic force microscopy in cancer research.原子力显微镜在癌症研究中的应用。
J Nanobiotechnology. 2018 Dec 11;16(1):102. doi: 10.1186/s12951-018-0428-0.
8
Genomic mutations and histopathologic biomarkers in Y radioembolization for chemorefractory colorectal liver metastases.Y 射线栓塞治疗化疗难治性结直肠癌肝转移中的基因组突变和组织病理学生物标志物
Oncotarget. 2018 Aug 21;9(65):32523-32533. doi: 10.18632/oncotarget.25992.
9
Radioembolization of Colorectal Liver Metastases: Indications, Technique, and Outcomes.结直肠癌肝转移的放射性栓塞:适应证、技术及疗效
J Nucl Med. 2017 Sep;58(Suppl 2):104S-111S. doi: 10.2967/jnumed.116.187229.
10
The prognostic value of KRAS mutation by cell-free DNA in cancer patients: A systematic review and meta-analysis.游离DNA检测KRAS突变在癌症患者中的预后价值:一项系统评价和荟萃分析。
PLoS One. 2017 Aug 10;12(8):e0182562. doi: 10.1371/journal.pone.0182562. eCollection 2017.
SIRFLOX:比较一线 mFOLFOX6(加或不加贝伐珠单抗)与 mFOLFOX6(加或不加贝伐珠单抗)加选择性内放射治疗转移性结直肠癌患者的随机 III 期试验。
J Clin Oncol. 2016 May 20;34(15):1723-31. doi: 10.1200/JCO.2015.66.1181. Epub 2016 Feb 22.
4
Circulating DNA as a Strong Multimarker Prognostic Tool for Metastatic Colorectal Cancer Patient Management Care.循环 DNA 作为转移性结直肠癌患者管理护理的强有力的多标志物预后工具。
Clin Cancer Res. 2016 Jun 15;22(12):3067-77. doi: 10.1158/1078-0432.CCR-15-0297. Epub 2016 Feb 4.
5
90Y Radioembolization of Colorectal Hepatic Metastases Using Glass Microspheres: Safety and Survival Outcomes from a 531-Patient Multicenter Study.使用玻璃微球进行90Y放射性栓塞治疗结直肠癌肝转移:一项纳入531例患者的多中心研究的安全性和生存结果
J Nucl Med. 2016 May;57(5):665-71. doi: 10.2967/jnumed.115.166082. Epub 2015 Dec 3.
6
Yttrium-90 radioembolization for the treatment of chemorefractory colorectal liver metastases: Technical results, clinical outcome and factors potentially influencing survival.钇-90放射性栓塞治疗化疗难治性结直肠癌肝转移:技术结果、临床结局及可能影响生存的因素
Acta Oncol. 2016;55(4):486-95. doi: 10.3109/0284186X.2015.1101151. Epub 2015 Dec 1.
7
KRAS Status as an Independent Prognostic Factor for Survival after Yttrium-90 Radioembolization Therapy for Unresectable Colorectal Cancer Liver Metastases.KRAS状态作为不可切除的结直肠癌肝转移患者钇-90放射性栓塞治疗后生存的独立预后因素
J Vasc Interv Radiol. 2015 Aug;26(8):1102-11. doi: 10.1016/j.jvir.2015.05.032.
8
Colorectal cancer heterogeneity and targeted therapy: a case for molecular disease subtypes.结直肠癌异质性与靶向治疗:以分子疾病亚型为例。
Cancer Res. 2015 Jan 15;75(2):245-9. doi: 10.1158/0008-5472.CAN-14-2240.
9
Cancer statistics, 2015.癌症统计数据,2015 年。
CA Cancer J Clin. 2015 Jan-Feb;65(1):5-29. doi: 10.3322/caac.21254. Epub 2015 Jan 5.
10
Extended RAS mutations and anti-EGFR monoclonal antibody survival benefit in metastatic colorectal cancer: a meta-analysis of randomized, controlled trials.延长 RAS 突变和抗 EGFR 单克隆抗体在转移性结直肠癌中的生存获益:随机对照试验的荟萃分析。
Ann Oncol. 2015 Jan;26(1):13-21. doi: 10.1093/annonc/mdu378. Epub 2014 Aug 12.