Suppr超能文献

硬纤维瘤病例报告——家族性腺瘤性息肉病被遗忘的一个方面?

A case report of desmoid tumour-a forgotten aspect of FAP?

作者信息

Xuereb Sarah, Xuereb Rachel, Buhagiar Chiara, Gauci Jonathan, Magri Claude

机构信息

Mater Dei Hospital, Triq Dun Karm, L-Imsida, Malta.

出版信息

Int J Surg Case Rep. 2017;30:122-125. doi: 10.1016/j.ijscr.2016.11.052. Epub 2016 Dec 1.

Abstract

INTRODUCTION

Desmoid tumours are locally aggressive tumours which are common in Familial Adenomatous Polyposis (FAP).

PRESENTATION OF CASE

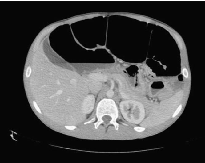
A 20-year old Familial Adenomatous Polyposis (FAP) patient presented with abdominal pain and distention. Abdominal imaging showed small bowel obstruction and hydronephrosis due to a pelvic mass. This mass showed significant enlargement on repeat imaging, and a diagnostic biopsy confirmed desmoid tumour. The mass was deemed unresectable and he was initially started on sulindac and raloxifene. Repeat imaging however showed further enlargement of the tumour, and therefore vinblastine+methotrexate chemotherapy was commenced, with a good response.

DISCUSSION

FAP is an autosomal dominant condition caused by a germline mutation in the adenomatous polyposis coli (APC) gene. Gardner's syndrome is also caused by a mutation in the APC gene, and is now considered a different phenotypic presentation of FAP. Desmoid tumours are initially kept under observation while their size remains stable. Treatment options for enlarging desmoids tumours include surgery (first-line), radiotherapy, and systemic therapy with non-cytotoxic and cytotoxic therapy.

CONCLUSION

FAP patients should be examined regularly post-panprocotocolectomy, since desmoid tumours may arise. The presence of epidermal cysts in this FAP patient suggests a diagnosis of Gardner's syndrome.

摘要

引言

硬纤维瘤是具有局部侵袭性的肿瘤,在家族性腺瘤性息肉病(FAP)中较为常见。

病例介绍

一名20岁的家族性腺瘤性息肉病(FAP)患者出现腹痛和腹胀。腹部影像学检查显示因盆腔肿块导致小肠梗阻和肾积水。该肿块在复查影像学检查时显著增大,诊断性活检证实为硬纤维瘤。该肿块被认为无法切除,最初给予舒林酸和雷洛昔芬治疗。然而,复查影像学检查显示肿瘤进一步增大,因此开始使用长春碱+甲氨蝶呤化疗,反应良好。

讨论

FAP是一种常染色体显性疾病,由腺瘤性息肉病 coli(APC)基因的种系突变引起。加德纳综合征也由APC基因突变引起,现在被认为是FAP的一种不同表型。硬纤维瘤在其大小保持稳定时最初进行观察。增大的硬纤维瘤的治疗选择包括手术(一线治疗)、放疗以及非细胞毒性和细胞毒性全身治疗。

结论

FAP患者在全结直肠切除术后应定期检查,因为可能会出现硬纤维瘤。该FAP患者出现表皮样囊肿提示加德纳综合征的诊断。

https://cdn.ncbi.nlm.nih.gov/pmc/blobs/ef66/5192036/a031a13bc87a/fx1.jpg

文献AI研究员

20分钟写一篇综述,助力文献阅读效率提升50倍。

立即体验

用中文搜PubMed

大模型驱动的PubMed中文搜索引擎

马上搜索

文档翻译

学术文献翻译模型,支持多种主流文档格式。

立即体验