Suppr超能文献

上消化道锯齿状病变的临床特征:对98746例患者的内镜数据库分析

Clinical features of upper gastrointestinal serrated lesions: An endoscopy database analysis of 98746 patients.

作者信息

Cao Hai-Long, Dong Wen-Xiao, Xu Meng-Que, Zhang Yu-Jie, Wang Si-Nan, Piao Mei-Yu, Cao Xiao-Cang, Wang Bang-Mao

机构信息

Hai-Long Cao, Wen-Xiao Dong, Meng-Que Xu, Si-Nan Wang, Mei-Yu Piao, Xiao-Cang Cao, Bang-Mao Wang, Department of Gastroenterology and Hepatology, General Hospital, Tianjin Medical University, Tianjin Institute of Digestive Disease, Tianjin 300052, China.

出版信息

World J Gastroenterol. 2016 Dec 7;22(45):10038-10044. doi: 10.3748/wjg.v22.i45.10038.

Abstract

AIM

To analyse the clinical features of patients with the serrated lesions in the upper gastrointestinal tract (UPGI) tract.

METHODS

Patients who underwent routine esophagogastroduodenoscopy (EGD) at the Digestive Endoscopy Centre of General Hospital, Tianjin Medical University between January 2011 and December 2015 were consecutively recruited. Patients with UPGI serrated lesions were consecutively identified. The patients' demographics and histopathology were recorded. The colorectal findings for patients who underwent colonoscopy simultaneously or within six months were also extracted from the colonoscopy database. In addition, we analysed differences in colorectal neoplasia detection between the study patients and randomly selected patients matched for age and gender who did not exhibit serrated lesions and who also underwent colonoscopy in the same period.

RESULTS

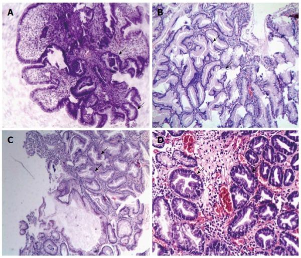
A total of 21 patients out of 98746 patients (0.02%) who underwent EGD were confirmed to have serrated lesions with predominantly crenated, sawtooth-like configurations. The mean age of the 21 patients was (55.3 ± 17.2) years, and 11 patients were male (52.4%). In terms of the locations of the serrated lesions, 17 were found in the stomach (including 3 in the cardia, 9 in the corpus and 5 in the antrum), 3 were found in the duodenum, and 1 was found in the esophagus. Serrated lesions were found in different mucosal lesions, with 14 lesions were detected in polyps (8 hyperplastic polyps and 6 serrated adenomas with low grade dysplasia), 3 detected in Ménétrier gastropathy, 3 detected in an area of inflammation or ulcer, and 1 detected in the intramucosal carcinoma of the duodenum. In addition, colonoscopy data were available for 18 patients, and a significantly higher colorectal adenoma detection rate was observed in the UPGI serrated lesions group than in the randomly selected age- and gender-matched group without serrated lesions who also underwent colonoscopy in the same period (38.9% 11.1%, OR = 5.091, 95%CI: 1.534-16.890, = 0.010). The detection rate of advanced adenoma was also higher in the UPGI serrated lesions group (22.2% 4.2%, OR = 6.571, 95%CI: 1.322-32.660, = 0.028).

CONCLUSION

Serrated lesions in the UPGI were detected in various mucosal lesions with different pathological morphologies. Moreover colonoscopy is recommended for the detection of concurrent colorectal adenoma for these patients.

摘要

目的

分析上消化道锯齿状病变患者的临床特征。

方法

连续纳入2011年1月至2015年12月在天津医科大学总医院消化内镜中心接受常规食管胃十二指肠镜检查(EGD)的患者。连续识别上消化道锯齿状病变患者。记录患者的人口统计学和组织病理学信息。同时或在六个月内接受结肠镜检查的患者的结肠检查结果也从结肠镜检查数据库中提取。此外,我们分析了研究患者与同期接受结肠镜检查的年龄和性别匹配但未表现出锯齿状病变的随机选择患者之间结肠肿瘤检测的差异。

结果

98746例接受EGD检查的患者中,共有21例(0.02%)被确诊为锯齿状病变,主要呈皱缩、锯齿状形态。21例患者的平均年龄为(55.3±17.2)岁,男性11例(52.4%)。在锯齿状病变的位置方面,17例位于胃(包括贲门3例、胃体9例、胃窦5例),3例位于十二指肠,1例位于食管。锯齿状病变见于不同的黏膜病变,息肉中发现14例病变(增生性息肉8例,低级别异型增生的锯齿状腺瘤6例),肥厚性胃炎中发现3例,炎症或溃疡区域发现3例,十二指肠黏膜内癌中发现1例。此外,18例患者有结肠镜检查数据,上消化道锯齿状病变组的结肠腺瘤检出率显著高于同期接受结肠镜检查的年龄和性别匹配的无锯齿状病变随机选择组(38.9%对11.1%,OR=5.091,95%CI:1.534-16.890,P=0.010)。上消化道锯齿状病变组的高级别腺瘤检出率也更高(22.2%对4.2%,OR=6.571,95%CI:1.322-32.660,P=0.028)。

结论

上消化道锯齿状病变见于具有不同病理形态的各种黏膜病变中。此外,建议对这些患者进行结肠镜检查以检测并发的结肠腺瘤。

https://cdn.ncbi.nlm.nih.gov/pmc/blobs/e011/5143750/aab034076459/WJG-22-10038-g001.jpg

文献AI研究员

20分钟写一篇综述,助力文献阅读效率提升50倍。

立即体验

用中文搜PubMed

大模型驱动的PubMed中文搜索引擎

马上搜索

文档翻译

学术文献翻译模型,支持多种主流文档格式。

立即体验