• 文献检索
  • 文档翻译
  • 深度研究
  • 学术资讯
  • Suppr Zotero 插件Zotero 插件
  • 邀请有礼
  • 套餐&价格
  • 历史记录
应用&插件
Suppr Zotero 插件Zotero 插件浏览器插件Mac 客户端Windows 客户端微信小程序
定价
高级版会员购买积分包购买API积分包
服务
文献检索文档翻译深度研究API 文档MCP 服务
关于我们
关于 Suppr公司介绍联系我们用户协议隐私条款
关注我们

Suppr 超能文献

核心技术专利:CN118964589B侵权必究
粤ICP备2023148730 号-1Suppr @ 2026

文献检索

告别复杂PubMed语法,用中文像聊天一样搜索,搜遍4000万医学文献。AI智能推荐,让科研检索更轻松。

立即免费搜索

文件翻译

保留排版,准确专业,支持PDF/Word/PPT等文件格式,支持 12+语言互译。

免费翻译文档

深度研究

AI帮你快速写综述,25分钟生成高质量综述,智能提取关键信息,辅助科研写作。

立即免费体验

巨头畸形-毛细血管畸形-多小脑回综合征:韩国首例病例报告。

Megalencephaly-capillary malformation-polymicrogyria syndrome: the first case report in Korea.

作者信息

Choi Yeon-Chul, Yum Mi-Sun, Kim Min-Jee, Lee Yun-Jung, Ko Tae-Sung

机构信息

Department of Pediatrics, Asan Medical Center Children's Hospital, University of Ulsan College of Medicine, Ulsan, Korea.

出版信息

Korean J Pediatr. 2016 Nov;59(Suppl 1):S152-S156. doi: 10.3345/kjp.2016.59.11.S152. Epub 2016 Nov 30.

DOI:10.3345/kjp.2016.59.11.S152
PMID:28018470
原文链接:https://pmc.ncbi.nlm.nih.gov/articles/PMC5177701/
Abstract

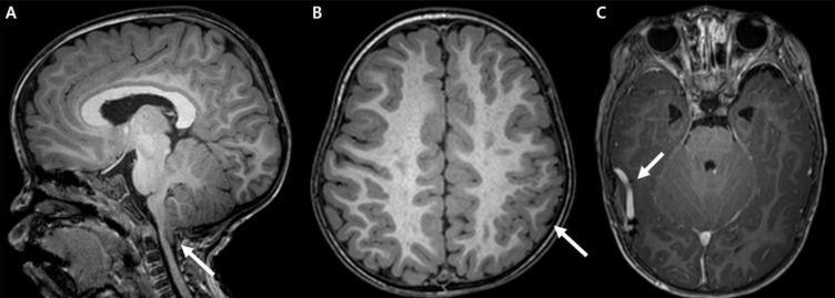
Megalencephaly-capillary malformation-polymicrogyria syndrome (MCAP), previously known as macrocephaly-cutis marmorata telangiectatica congenita and macrocephaly-capillary malformation syndrome, is a rare multiple-malformation syndrome that is characterized by progressive megalencephaly, capillary malformations of the midline face and body, or distal limb anomalies such as syndactyly. Herein, we report a female infant case that satisfies the recently proposed criteria of MCAP and describe the distinctive neuroradiological and morphological features. We have also reviewed recently published reports and the diagnostic criteria proposed by various authors in order to facilitate the clinical diagnosis of these children in pediatric neurology clinics.

摘要

巨脑回-毛细血管畸形-多小脑回综合征(MCAP),以前称为先天性大理石样皮肤毛细血管扩张性巨头畸形和巨头畸形-毛细血管畸形综合征,是一种罕见的多发畸形综合征,其特征为进行性巨头畸形、中线面部和身体的毛细血管畸形或诸如并指等远端肢体异常。在此,我们报告一例符合最近提出的MCAP标准的女婴病例,并描述其独特的神经放射学和形态学特征。我们还回顾了最近发表的报告以及各位作者提出的诊断标准,以便于儿科神经科诊所对这些儿童进行临床诊断。

https://cdn.ncbi.nlm.nih.gov/pmc/blobs/1bef/5177701/2af418a8bc09/kjped-59-S152-g003.jpg
https://cdn.ncbi.nlm.nih.gov/pmc/blobs/1bef/5177701/4e9e7129f5d4/kjped-59-S152-g001.jpg
https://cdn.ncbi.nlm.nih.gov/pmc/blobs/1bef/5177701/a1dfdc2169ab/kjped-59-S152-g002.jpg
https://cdn.ncbi.nlm.nih.gov/pmc/blobs/1bef/5177701/2af418a8bc09/kjped-59-S152-g003.jpg
https://cdn.ncbi.nlm.nih.gov/pmc/blobs/1bef/5177701/4e9e7129f5d4/kjped-59-S152-g001.jpg
https://cdn.ncbi.nlm.nih.gov/pmc/blobs/1bef/5177701/a1dfdc2169ab/kjped-59-S152-g002.jpg
https://cdn.ncbi.nlm.nih.gov/pmc/blobs/1bef/5177701/2af418a8bc09/kjped-59-S152-g003.jpg

相似文献

1
Megalencephaly-capillary malformation-polymicrogyria syndrome: the first case report in Korea.巨头畸形-毛细血管畸形-多小脑回综合征:韩国首例病例报告。
Korean J Pediatr. 2016 Nov;59(Suppl 1):S152-S156. doi: 10.3345/kjp.2016.59.11.S152. Epub 2016 Nov 30.
2
Megalencephaly-Capillary Malformation-Polymicrogyria Syndrome (MCAP): A Rare Dynamic Genetic Disorder.巨脑回-毛细血管畸形-多小脑回综合征(MCAP):一种罕见的动态遗传性疾病。
Cureus. 2022 May 18;14(5):e25123. doi: 10.7759/cureus.25123. eCollection 2022 May.
3
Megalencephaly-capillary malformation (MCAP) and megalencephaly-polydactyly-polymicrogyria-hydrocephalus (MPPH) syndromes: two closely related disorders of brain overgrowth and abnormal brain and body morphogenesis.巨脑-毛细血管畸形(MCAP)和巨脑-多趾-多小脑回-脑积水(MPPH)综合征:两种与脑过度生长和脑及身体形态发育异常相关的密切相关疾病。
Am J Med Genet A. 2012 Feb;158A(2):269-91. doi: 10.1002/ajmg.a.34402. Epub 2012 Jan 6.
4
Severe holocord syrinx in a child with megalencephaly-capillary malformation syndrome.患有巨头畸形-毛细血管畸形综合征的儿童出现严重的全脊髓空洞症。
J Neurosurg Pediatr. 2016 Jul;18(1):79-82. doi: 10.3171/2016.1.PEDS15482. Epub 2016 Apr 1.
5
The misnomer "macrocephaly-cutis marmorata telangiectatica congenita syndrome": report of 12 new cases and support for revising the name to macrocephaly-capillary malformations.“先天性大理石样皮肤毛细血管扩张性巨头综合征”这一误称:12例新病例报告及支持将名称修订为巨头-毛细血管畸形的依据
Arch Dermatol. 2009 Mar;145(3):287-93. doi: 10.1001/archdermatol.2008.545.
6
Autism spectrum disorder in a child with megalencephaly-capillary malformation-polymicrogyria syndrome (MCAP).患有巨脑-毛细血管畸形-多小脑回畸形综合征的儿童的自闭症谱系障碍。
BMJ Case Rep. 2021 Dec 30;14(12):e247034. doi: 10.1136/bcr-2021-247034.
7
[Macrocephaly-cutis marmorata telangiectatica congenita].[先天性大头-大理石样皮肤毛细血管扩张症]
Ann Dermatol Venereol. 2006 Apr;133(4):349-52. doi: 10.1016/s0151-9638(06)70913-9.
8
[Macrocephaly-capillary malformation. A neonatal case].[巨头畸形-毛细血管畸形。1例新生儿病例]
Arch Pediatr. 2012 Sep;19(9):917-20. doi: 10.1016/j.arcped.2012.06.017. Epub 2012 Aug 9.
9
Macrocephaly-capillary malformation syndrome: description of a case and review of clinical diagnostic criteria.巨头畸形-毛细血管畸形综合征:一例病例描述及临床诊断标准综述
Brain Dev. 2012 Feb;34(2):143-7. doi: 10.1016/j.braindev.2011.02.001. Epub 2011 Feb 26.
10
Megalencephaly-Capillary Malformation-Polymicrogyria with Cerebral Venous Thrombosis.巨脑-毛细血管畸形-多小脑回合并脑静脉血栓形成。
Can J Neurol Sci. 2020 Nov;47(6):828-829. doi: 10.1017/cjn.2020.127. Epub 2020 Jun 23.

引用本文的文献

1
Genetic Disorders Underlying Polyhydramnios and Congenital Hypotonia: Three Case Reports and a Review of the Literature.羊水过多和先天性肌张力低下的潜在遗传疾病:三例报告及文献综述
Cureus. 2023 Dec 11;15(12):e50331. doi: 10.7759/cureus.50331. eCollection 2023 Dec.
2
PIK3CA-related overgrowth with an uncommon phenotype: case report.PIK3CA 相关过度生长伴不常见表型:病例报告。
Ital J Pediatr. 2022 May 12;48(1):71. doi: 10.1186/s13052-022-01268-9.
3
Approach to clinically significant vascular anomalies in children.儿童中具有临床意义的血管异常处理方法。

本文引用的文献

1
Germline activating AKT3 mutation associated with megalencephaly, polymicrogyria, epilepsy and hypoglycemia.与巨头畸形、多小脑回、癫痫和低血糖相关的种系激活型AKT3突变
Mol Genet Metab. 2015 Mar;114(3):467-73. doi: 10.1016/j.ymgme.2014.11.018. Epub 2014 Dec 5.
2
De novo CCND2 mutations leading to stabilization of cyclin D2 cause megalencephaly-polymicrogyria-polydactyly-hydrocephalus syndrome.导致 cyclin D2 稳定的 CCND2 基因突变引发巨脑-多小脑回-多指-脑积水综合征。
Nat Genet. 2014 May;46(5):510-515. doi: 10.1038/ng.2948. Epub 2014 Apr 6.
3
Megalencephaly syndromes and activating mutations in the PI3K-AKT pathway: MPPH and MCAP.
Singapore Med J. 2023 Dec;64(12):714-720. doi: 10.11622/smedj.2021209.
4
Commentary on "Megalencephaly-capillary malformation-polymicrogyria syndrome: the first case report in Korea".关于“巨头畸形-毛细血管畸形-多小脑回综合征:韩国首例病例报告”的述评
Korean J Pediatr. 2018 Jan;61(1):35-36. doi: 10.3345/kjp.2018.61.1.35. Epub 2018 Jan 22.
巨脑症综合征和 PI3K-AKT 通路中的激活突变:MPPH 和 MCAP。
Am J Med Genet C Semin Med Genet. 2013 May;163C(2):122-30. doi: 10.1002/ajmg.c.31361. Epub 2013 Apr 16.
4
De novo germline and postzygotic mutations in AKT3, PIK3R2 and PIK3CA cause a spectrum of related megalencephaly syndromes.AKT3、PIK3R2 和 PIK3CA 中的新生种系和后成体突变导致一系列相关的巨脑畸形综合征。
Nat Genet. 2012 Jun 24;44(8):934-40. doi: 10.1038/ng.2331.
5
Megalencephaly-capillary malformation (MCAP) and megalencephaly-polydactyly-polymicrogyria-hydrocephalus (MPPH) syndromes: two closely related disorders of brain overgrowth and abnormal brain and body morphogenesis.巨脑-毛细血管畸形(MCAP)和巨脑-多趾-多小脑回-脑积水(MPPH)综合征:两种与脑过度生长和脑及身体形态发育异常相关的密切相关疾病。
Am J Med Genet A. 2012 Feb;158A(2):269-91. doi: 10.1002/ajmg.a.34402. Epub 2012 Jan 6.
6
Macrocephaly-capillary malformation: Analysis of 13 patients and review of the diagnostic criteria.巨脑-毛细血管畸形:13 例患者分析及诊断标准回顾。
Am J Med Genet A. 2010 Dec;152A(12):3101-6. doi: 10.1002/ajmg.a.33514.
7
The misnomer "macrocephaly-cutis marmorata telangiectatica congenita syndrome": report of 12 new cases and support for revising the name to macrocephaly-capillary malformations.“先天性大理石样皮肤毛细血管扩张性巨头综合征”这一误称:12例新病例报告及支持将名称修订为巨头-毛细血管畸形的依据
Arch Dermatol. 2009 Mar;145(3):287-93. doi: 10.1001/archdermatol.2008.545.
8
Neuroimaging findings in macrocephaly-capillary malformation: a longitudinal study of 17 patients.巨头畸形-毛细血管畸形的神经影像学表现:17例患者的纵向研究
Am J Med Genet A. 2007 Dec 15;143A(24):2981-3008. doi: 10.1002/ajmg.a.32040.
9
Accurately renaming macrocephaly-cutis marmorata telangiectatica congenita (M-CMTC) as macrocephaly-capillary malformation (M-CM).准确地将先天性大理石样皮肤毛细血管扩张性巨头症(M-CMTC)重新命名为巨头症-毛细血管畸形(M-CM)。
Am J Med Genet A. 2007 Dec 15;143A(24):3009. doi: 10.1002/ajmg.a.31971.
10
MRI and neurological findings in macrocephaly-cutis marmorata telangiectatica congenita syndrome: report of ten cases and review of the literature.先天性大头-大理石样皮肤毛细血管扩张综合征的MRI及神经学表现:10例报告并文献复习
Genet Couns. 2005;16(2):117-28.