• 文献检索
  • 文档翻译
  • 深度研究
  • 学术资讯
  • Suppr Zotero 插件Zotero 插件
  • 邀请有礼
  • 套餐&价格
  • 历史记录
应用&插件
Suppr Zotero 插件Zotero 插件浏览器插件Mac 客户端Windows 客户端微信小程序
定价
高级版会员购买积分包购买API积分包
服务
文献检索文档翻译深度研究API 文档MCP 服务
关于我们
关于 Suppr公司介绍联系我们用户协议隐私条款
关注我们

Suppr 超能文献

核心技术专利:CN118964589B侵权必究
粤ICP备2023148730 号-1Suppr @ 2026

文献检索

告别复杂PubMed语法,用中文像聊天一样搜索,搜遍4000万医学文献。AI智能推荐,让科研检索更轻松。

立即免费搜索

文件翻译

保留排版,准确专业,支持PDF/Word/PPT等文件格式,支持 12+语言互译。

免费翻译文档

深度研究

AI帮你快速写综述,25分钟生成高质量综述,智能提取关键信息,辅助科研写作。

立即免费体验

帕唑帕尼治疗引起的间质性肺病

Interstitial Lung Disease Induced by Pazopanib Treatment.

作者信息

Ide Shotaro, Sakamoto Noriho, Hara Shintaro, Hara Atsuko, Kakugawa Tomoyuki, Nakamura Yoichi, Futsuki Yoji, Izumikawa Koichi, Ishimatsu Yuji, Yanagihara Katsunori, Mukae Hiroshi

机构信息

Department of Respiratory Medicine, Unit of Translational Medicine, Nagasaki University Graduate School of Biomedical Sciences, Japan.

出版信息

Intern Med. 2017;56(1):79-83. doi: 10.2169/internalmedicine.56.7380. Epub 2017 Jan 1.

DOI:10.2169/internalmedicine.56.7380
PMID:28050004
原文链接:https://pmc.ncbi.nlm.nih.gov/articles/PMC5313429/
Abstract

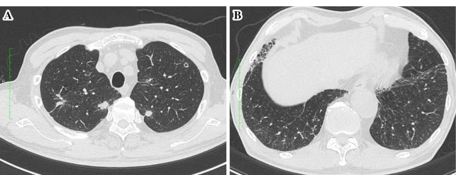
Although pneumothorax has been reported to be a major pulmonary adverse event in patients treated with pazopanib, a multikinase inhibitor, drug-induced interstitial lung disease (DILD) has not been reported. A 74-year-old Japanese man who received pazopanib for the treatment of femoral leiomyosarcoma and lung metastasis presented with dyspnea and fatigue. He had mild interstitial pneumonia when pazopanib treatment was initiated. Chest computed tomography revealed progressive bilateral ground-glass opacity (GGO) and traction bronchiectasis. We diagnosed DILD due to pazopanib. The patient's pazopanib treatment was interrupted and a steroid was administered. The symptoms and GGO were improved with treatment. Physicians should be aware of DILD due to pazopanib in patients with pre-existing interstitial lung disease.

摘要

虽然据报道气胸是接受多激酶抑制剂帕唑帕尼治疗的患者的主要肺部不良事件,但药物性间质性肺病(DILD)尚未见报道。一名74岁的日本男性因股部平滑肌肉瘤和肺转移接受帕唑帕尼治疗,出现呼吸困难和疲劳。开始帕唑帕尼治疗时他有轻度间质性肺炎。胸部计算机断层扫描显示双侧进行性磨玻璃影(GGO)和牵拉性支气管扩张。我们诊断为帕唑帕尼所致的DILD。患者的帕唑帕尼治疗中断并给予类固醇治疗。治疗后症状和GGO有所改善。医生应意识到在已有间质性肺病的患者中帕唑帕尼可导致DILD。

https://cdn.ncbi.nlm.nih.gov/pmc/blobs/8d67/5313429/bf460585e1e0/1349-7235-56-0079-g003.jpg
https://cdn.ncbi.nlm.nih.gov/pmc/blobs/8d67/5313429/4afe13238fc5/1349-7235-56-0079-g001.jpg
https://cdn.ncbi.nlm.nih.gov/pmc/blobs/8d67/5313429/f105fa37f3ca/1349-7235-56-0079-g002.jpg
https://cdn.ncbi.nlm.nih.gov/pmc/blobs/8d67/5313429/bf460585e1e0/1349-7235-56-0079-g003.jpg
https://cdn.ncbi.nlm.nih.gov/pmc/blobs/8d67/5313429/4afe13238fc5/1349-7235-56-0079-g001.jpg
https://cdn.ncbi.nlm.nih.gov/pmc/blobs/8d67/5313429/f105fa37f3ca/1349-7235-56-0079-g002.jpg
https://cdn.ncbi.nlm.nih.gov/pmc/blobs/8d67/5313429/bf460585e1e0/1349-7235-56-0079-g003.jpg

相似文献

1
Interstitial Lung Disease Induced by Pazopanib Treatment.帕唑帕尼治疗引起的间质性肺病
Intern Med. 2017;56(1):79-83. doi: 10.2169/internalmedicine.56.7380. Epub 2017 Jan 1.
2
Pazopanib-associated interstitial lung disease in a patient with renal cell carcinoma.帕唑帕尼相关性间质性肺病 1 例:肾细胞癌患者。
BMJ Case Rep. 2020 Jul 8;13(7):e235177. doi: 10.1136/bcr-2020-235177.
3
A Case of Uterine Leiomyosarcoma with Long-Term Disease Control by Pazopanib.一例通过帕唑帕尼实现长期疾病控制的子宫平滑肌肉瘤病例。
Kobe J Med Sci. 2016 Jul 5;62(2):E45-8.
4
Pazopanib-induced severe acute liver injury: A case report.帕唑帕尼致严重急性肝损伤 1 例报告
Medicine (Baltimore). 2021 Nov 19;100(46):e27731. doi: 10.1097/MD.0000000000027731.
5
Pneumothorax in lung metastasis of advanced soft tissue sarcoma patients treated with oral pazopanib.口服帕唑帕尼治疗晚期软组织肉瘤肺转移患者的气胸。
Indian J Cancer. 2024 Apr 1;61(2):278-281. doi: 10.4103/ijc.IJC_95_21. Epub 2023 Sep 1.
6
Successful re-administration of Pazopanib in a patient with metastatic renal cell carcinoma and a history of Pazopanib-induced nephrotic syndrome: a case report.成功重新给予帕唑帕尼治疗一名转移性肾细胞癌且曾发生帕唑帕尼诱导的肾病综合征的患者:病例报告。
BMC Nephrol. 2019 Jan 3;20(1):1. doi: 10.1186/s12882-018-1181-1.
7
A Phase II study of pazopanib in Asian patients with recurrent/metastatic nasopharyngeal carcinoma.帕唑帕尼治疗复发性/转移性鼻咽癌亚洲患者的 II 期研究。
Clin Cancer Res. 2011 Aug 15;17(16):5481-9. doi: 10.1158/1078-0432.CCR-10-3409. Epub 2011 Jun 28.
8
Pazopanib-induced fatal heart failure in a patient with unresectable soft tissue sarcoma and review of literature.帕唑帕尼致不可切除软组织肉瘤患者发生致命性心力衰竭及文献复习
J Oncol Pharm Pract. 2020 Apr;26(3):768-774. doi: 10.1177/1078155219875797. Epub 2019 Sep 23.
9
The clinical outcome of pazopanib treatment in Japanese patients with relapsed soft tissue sarcoma: A Japanese Musculoskeletal Oncology Group (JMOG) study.帕唑帕尼治疗日本复发软组织肉瘤患者的临床结果:一项日本肌肉骨骼肿瘤学组(JMOG)的研究。
Cancer. 2016 May 1;122(9):1408-16. doi: 10.1002/cncr.29961. Epub 2016 Mar 11.
10
Phase 1 study of pazopanib alone or combined with lapatinib in Japanese patients with solid tumors.帕唑帕尼单药或联合拉帕替尼治疗日本实体瘤患者的 I 期研究。
Cancer Chemother Pharmacol. 2014 Apr;73(4):673-83. doi: 10.1007/s00280-014-2374-3. Epub 2014 Jan 24.

引用本文的文献

1
Regorafenib Induced Interstitial Pneumonia in a Patient With Refractory Rectal Cancer.瑞戈非尼诱发难治性直肠癌患者间质性肺炎
Respirol Case Rep. 2025 Jul 30;13(8):e70286. doi: 10.1002/rcr2.70286. eCollection 2025 Aug.
2
Fatal interstitial lung disease associated with a series of tyrosine kinase inhibitors treatment in a non-small cell lung cancer patient: a case report.一名非小细胞肺癌患者在接受一系列酪氨酸激酶抑制剂治疗后出现致命性间质性肺疾病:病例报告
Transl Cancer Res. 2020 May;9(5):3762-3765. doi: 10.21037/tcr.2020.03.76.
3
Drug-Related Pneumonitis in Cancer Treatment during the COVID-19 Era.

本文引用的文献

1
Bilateral spontaneous pneumothorax and massive pneumomediastinum under Pazopanib therapy.帕唑帕尼治疗期间出现双侧自发性气胸和大量纵隔气肿。
Thorac Cancer. 2015 Jan;6(1):110-1. doi: 10.1111/1759-7714.12165. Epub 2015 Jan 7.
2
Therapeutic effects and associated adverse events of multikinase inhibitors in metastatic renal cell carcinoma: A meta-analysis.多激酶抑制剂治疗转移性肾细胞癌的疗效及相关不良事件:一项荟萃分析。
Exp Ther Med. 2015 Jun;9(6):2275-2280. doi: 10.3892/etm.2015.2427. Epub 2015 Apr 15.
3
Interstitial pneumonia induced by sorafenib in a patient with hepatocellular carcinoma: An autopsy case report.
新冠疫情时代癌症治疗中的药物相关性肺炎
Cancers (Basel). 2021 Mar 2;13(5):1052. doi: 10.3390/cancers13051052.
4
Pazopanib-associated interstitial lung disease in a patient with renal cell carcinoma.帕唑帕尼相关性间质性肺病 1 例:肾细胞癌患者。
BMJ Case Rep. 2020 Jul 8;13(7):e235177. doi: 10.1136/bcr-2020-235177.
5
Pazopanib-induced organizing pneumonia in a patient with leiomyosarcoma: A case report.帕唑帕尼诱发平滑肌肉瘤患者出现机化性肺炎:一例报告
Respir Med Case Rep. 2020 May 31;30:101112. doi: 10.1016/j.rmcr.2020.101112. eCollection 2020.
索拉非尼诱导肝细胞癌患者间质性肺炎:一例尸检病例报告
Oncol Lett. 2015 Apr;9(4):1633-1636. doi: 10.3892/ol.2015.2934. Epub 2015 Feb 5.
4
Pneumothorax as adverse event in patients with lung metastases of soft tissue sarcoma treated with pazopanib: a single reference centre case series.帕唑帕尼治疗软组织肉瘤肺转移患者时气胸作为不良事件:单参考中心病例系列
Clin Sarcoma Res. 2014 Oct 1;4:14. doi: 10.1186/2045-3329-4-14. eCollection 2014.
5
Risk of interstitial lung disease associated with EGFR-TKIs in advanced non-small-cell lung cancer: a meta-analysis of 24 phase III clinical trials.晚期非小细胞肺癌中与表皮生长因子受体酪氨酸激酶抑制剂(EGFR-TKIs)相关的间质性肺疾病风险:一项对24项III期临床试验的荟萃分析
J Chemother. 2015 Feb;27(1):40-51. doi: 10.1179/1973947814Y.0000000189. Epub 2014 Apr 14.
6
Sorafenib-induced acute interstitial pneumonia in patients with advanced hepatocellular carcinoma: report of three cases.索拉非尼诱发晚期肝细胞癌患者急性间质性肺炎:三例报告
Clin J Gastroenterol. 2012;5(4):407-12. doi: 10.1007/s12328-012-0339-9. Epub 2012 Oct 22.
7
Risk of interstitial lung disease with gefitinib and erlotinib in advanced non-small cell lung cancer: a systematic review and meta-analysis of clinical trials.吉非替尼和厄洛替尼治疗晚期非小细胞肺癌的间质性肺病风险:临床试验的系统评价和荟萃分析。
Lung Cancer. 2014 Feb;83(2):231-9. doi: 10.1016/j.lungcan.2013.11.016. Epub 2013 Nov 27.
8
Consensus statement for the diagnosis and treatment of drug-induced lung injuries.药物性肺损伤诊断与治疗的共识声明。
Respir Investig. 2013 Dec;51(4):260-77. doi: 10.1016/j.resinv.2013.09.001. Epub 2013 Oct 28.
9
Complications of targeted drug therapies for solid malignancies: manifestations and mechanisms.实体恶性肿瘤靶向药物治疗的并发症:表现与机制。
AJR Am J Roentgenol. 2013 Mar;200(3):475-83. doi: 10.2214/AJR.12.9049.
10
Drug-induced lung injury associated with sorafenib: analysis of all-patient post-marketing surveillance in Japan.索拉非尼相关药物性肺损伤:日本全患者上市后监测分析。
Int J Clin Oncol. 2013 Aug;18(4):743-9. doi: 10.1007/s10147-012-0438-0. Epub 2012 Jun 30.