• 文献检索
  • 文档翻译
  • 深度研究
  • 学术资讯
  • Suppr Zotero 插件Zotero 插件
  • 邀请有礼
  • 套餐&价格
  • 历史记录
应用&插件
Suppr Zotero 插件Zotero 插件浏览器插件Mac 客户端Windows 客户端微信小程序
定价
高级版会员购买积分包购买API积分包
服务
文献检索文档翻译深度研究API 文档MCP 服务
关于我们
关于 Suppr公司介绍联系我们用户协议隐私条款
关注我们

Suppr 超能文献

核心技术专利:CN118964589B侵权必究
粤ICP备2023148730 号-1Suppr @ 2026

文献检索

告别复杂PubMed语法,用中文像聊天一样搜索,搜遍4000万医学文献。AI智能推荐,让科研检索更轻松。

立即免费搜索

文件翻译

保留排版,准确专业,支持PDF/Word/PPT等文件格式,支持 12+语言互译。

免费翻译文档

深度研究

AI帮你快速写综述,25分钟生成高质量综述,智能提取关键信息,辅助科研写作。

立即免费体验

胱抑素F缺乏引起的组织蛋白酶C去抑制加重了双环己酮草酰二腙模型中的脱髓鞘

Disinhibition of Cathepsin C Caused by Cystatin F Deficiency Aggravates the Demyelination in a Cuprizone Model.

作者信息

Liang Junjie, Li Ning, Zhang Yanli, Hou Changyi, Yang Xiaohan, Shimizu Takahiro, Wang Xiaoyu, Ikenaka Kazuhiro, Fan Kai, Ma Jianmei

机构信息

Graduate School of Dalian Medical UniversityDalian, China; Cardiovascular Division, Hailar People's HospitalHailar, China.

Graduate School of Dalian Medical UniversityDalian, China; Department of Surgery, Wafangdian Central HospitalDalian, China.

出版信息

Front Mol Neurosci. 2016 Dec 21;9:152. doi: 10.3389/fnmol.2016.00152. eCollection 2016.

DOI:10.3389/fnmol.2016.00152
PMID:28066178
原文链接:https://pmc.ncbi.nlm.nih.gov/articles/PMC5175397/
Abstract

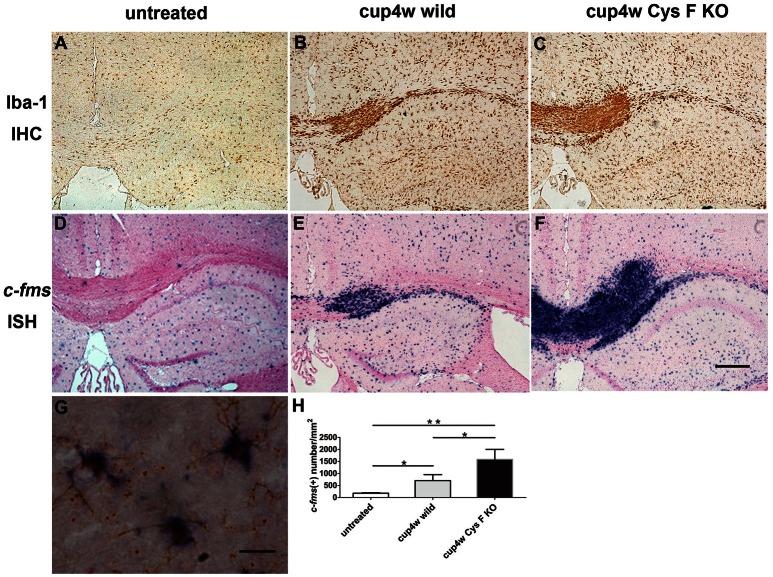
Although the precise mechanism underlying initial lesion development in multiple sclerosis (MS) remains unclear, CNS inflammation has long been associated with demyelination, and axonal degeneration. The activation of microglia/macrophages, which serve as innate immune cells in the CNS, is the first reaction to even minor pathologic changes in the CNS and is considered an initial pathogenic event in MS. Microglial activation accompanies a variety of gene expressions, including cystatin F (Cys F), which belongs to the cystatin superfamily and is one of the cathepsin inhibitors. In our previous study we showed that Cys F has a unique expression pattern in microglia/macrophages in the demyelination process. Specifically, the timing of Cys F induction correlated with ongoing demyelination, and the sites of Cys F expression overlapped with areas of remyelination. Cys F induction ceased in chronic demyelination when remyelination capacity was lost, suggesting that Cys F expressed by microglia/macrophages may play an important role in demyelination and/or remyelination. The functional role of Cys F in demyelinating disease of the CNS, however, is unclear. Cys F gene knockout mice were used in the current study to clarify the functional role of Cys F in the demyelination process in a cuprizone-induced demyelination animal model. We demonstrated that absence of the Cys F gene and the resulting disinhibition of cathepsin C (Cat C) aggravates the demyelination, and this finding may be related to the increased expression of the glia-derived chemokine, CXCL2, which may attract inflammatory cells to sites of myelin sheath damage. This effect was reversed by knock down of the Cat C gene. The findings gain further insight to function of Cat C in pathophysiology of MS, which may have implications for therapeutics for the prevention of neuroinflammation-involved neurological disorders in the future.

摘要

尽管多发性硬化症(MS)初始病变发展的确切机制尚不清楚,但中枢神经系统(CNS)炎症长期以来一直与脱髓鞘及轴突变性相关。小胶质细胞/巨噬细胞作为中枢神经系统中的固有免疫细胞,其激活是对中枢神经系统中即使是微小病理变化的第一反应,并且被认为是MS中的初始致病事件。小胶质细胞激活伴随着多种基因表达,包括胱抑素F(Cys F),它属于胱抑素超家族,是组织蛋白酶抑制剂之一。在我们之前的研究中,我们表明Cys F在脱髓鞘过程中的小胶质细胞/巨噬细胞中具有独特的表达模式。具体而言,Cys F诱导的时间与正在进行的脱髓鞘相关,并且Cys F表达的部位与再髓鞘化区域重叠。当再髓鞘化能力丧失时,慢性脱髓鞘中Cys F诱导停止,这表明小胶质细胞/巨噬细胞表达的Cys F可能在脱髓鞘和/或再髓鞘化中起重要作用。然而,Cys F在中枢神经系统脱髓鞘疾病中的功能作用尚不清楚。在本研究中使用Cys F基因敲除小鼠来阐明Cys F在铜螯合剂诱导的脱髓鞘动物模型中的脱髓鞘过程中的功能作用。我们证明,Cys F基因的缺失以及由此导致的组织蛋白酶C(Cat C)的去抑制会加重脱髓鞘,并且这一发现可能与神经胶质细胞衍生的趋化因子CXCL2表达增加有关,CXCL2可能将炎性细胞吸引到髓鞘损伤部位。敲低Cat C基因可逆转这种效应。这些发现进一步深入了解了Cat C在MS病理生理学中的功能,这可能对未来预防涉及神经炎症的神经系统疾病的治疗具有启示意义。

https://cdn.ncbi.nlm.nih.gov/pmc/blobs/81c1/5175397/4973469d882d/fnmol-09-00152-g0007.jpg
https://cdn.ncbi.nlm.nih.gov/pmc/blobs/81c1/5175397/598559cafc32/fnmol-09-00152-g0001.jpg
https://cdn.ncbi.nlm.nih.gov/pmc/blobs/81c1/5175397/757455353fdd/fnmol-09-00152-g0002.jpg
https://cdn.ncbi.nlm.nih.gov/pmc/blobs/81c1/5175397/2993527cbe88/fnmol-09-00152-g0003.jpg
https://cdn.ncbi.nlm.nih.gov/pmc/blobs/81c1/5175397/1ff4c554c078/fnmol-09-00152-g0004.jpg
https://cdn.ncbi.nlm.nih.gov/pmc/blobs/81c1/5175397/2b1019a0a345/fnmol-09-00152-g0005.jpg
https://cdn.ncbi.nlm.nih.gov/pmc/blobs/81c1/5175397/e6614c1f5c19/fnmol-09-00152-g0006.jpg
https://cdn.ncbi.nlm.nih.gov/pmc/blobs/81c1/5175397/4973469d882d/fnmol-09-00152-g0007.jpg
https://cdn.ncbi.nlm.nih.gov/pmc/blobs/81c1/5175397/598559cafc32/fnmol-09-00152-g0001.jpg
https://cdn.ncbi.nlm.nih.gov/pmc/blobs/81c1/5175397/757455353fdd/fnmol-09-00152-g0002.jpg
https://cdn.ncbi.nlm.nih.gov/pmc/blobs/81c1/5175397/2993527cbe88/fnmol-09-00152-g0003.jpg
https://cdn.ncbi.nlm.nih.gov/pmc/blobs/81c1/5175397/1ff4c554c078/fnmol-09-00152-g0004.jpg
https://cdn.ncbi.nlm.nih.gov/pmc/blobs/81c1/5175397/2b1019a0a345/fnmol-09-00152-g0005.jpg
https://cdn.ncbi.nlm.nih.gov/pmc/blobs/81c1/5175397/e6614c1f5c19/fnmol-09-00152-g0006.jpg
https://cdn.ncbi.nlm.nih.gov/pmc/blobs/81c1/5175397/4973469d882d/fnmol-09-00152-g0007.jpg

相似文献

1
Disinhibition of Cathepsin C Caused by Cystatin F Deficiency Aggravates the Demyelination in a Cuprizone Model.胱抑素F缺乏引起的组织蛋白酶C去抑制加重了双环己酮草酰二腙模型中的脱髓鞘
Front Mol Neurosci. 2016 Dec 21;9:152. doi: 10.3389/fnmol.2016.00152. eCollection 2016.
2
Microglial cystatin F expression is a sensitive indicator for ongoing demyelination with concurrent remyelination.小胶质细胞半胱氨酸蛋白酶抑制剂 F 的表达是反映活跃脱髓鞘伴有同时髓鞘再形成的敏感指标。
J Neurosci Res. 2011 May;89(5):639-49. doi: 10.1002/jnr.22567. Epub 2011 Feb 22.
3
Correction: Disinhibition of Cathepsin C Caused by Cystatin F Deficiency Aggravates the Demyelination in a Cuprizone Model.更正:胱抑素F缺乏引起的组织蛋白酶C去抑制加重了双环己酮草酰二腙模型中的脱髓鞘。
Front Mol Neurosci. 2018 Apr 12;11:115. doi: 10.3389/fnmol.2018.00115. eCollection 2018.
4
The balance between cathepsin C and cystatin F controls remyelination in the brain of Plp1-overexpressing mouse, a chronic demyelinating disease model.组织蛋白酶C与胱抑素F之间的平衡控制着过表达Plp1小鼠(一种慢性脱髓鞘疾病模型)大脑中的髓鞘再生。
Glia. 2017 Jun;65(6):917-930. doi: 10.1002/glia.23134. Epub 2017 Mar 2.
5
Astrocyte-targeted production of interleukin-6 reduces astroglial and microglial activation in the cuprizone demyelination model: Implications for myelin clearance and oligodendrocyte maturation.在铜螯合剂诱导的脱髓鞘模型中,靶向星形胶质细胞产生白细胞介素-6可减少星形胶质细胞和小胶质细胞的激活:对髓鞘清除和少突胶质细胞成熟的影响。
Glia. 2016 Dec;64(12):2104-2119. doi: 10.1002/glia.23043. Epub 2016 Aug 18.
6
Lymphotoxin beta receptor (Lt betaR): dual roles in demyelination and remyelination and successful therapeutic intervention using Lt betaR-Ig protein.淋巴毒素β受体(Lt betaR):在脱髓鞘和髓鞘再生中的双重作用以及使用Lt betaR-Ig蛋白的成功治疗干预
J Neurosci. 2007 Jul 11;27(28):7429-37. doi: 10.1523/JNEUROSCI.1307-07.2007.
7
Neuronal injury in chronic CNS inflammation.慢性中枢神经系统炎症中的神经元损伤。
Best Pract Res Clin Anaesthesiol. 2010 Dec;24(4):551-62. doi: 10.1016/j.bpa.2010.11.001. Epub 2010 Nov 29.
8
Experimental Demyelination and Axonal Loss Are Reduced in MicroRNA-146a Deficient Mice.实验性脱髓鞘和轴突丢失在 miR-146a 缺陷小鼠中减少。
Front Immunol. 2018 Mar 12;9:490. doi: 10.3389/fimmu.2018.00490. eCollection 2018.
9
Chronic toxic demyelination in the central nervous system leads to axonal damage despite remyelination.中枢神经系统中的慢性毒性脱髓鞘尽管有髓鞘再生,但仍会导致轴突损伤。
Neurosci Lett. 2009 Apr 3;453(2):120-5. doi: 10.1016/j.neulet.2009.02.004. Epub 2009 Feb 10.
10
Yokukansan Reduces Cuprizone-Induced Demyelination in the Corpus Callosum Through Anti-inflammatory Effects on Microglia.和汉三才汤通过对小胶质细胞的抗炎作用减轻冠状体内的脱髓鞘病变。
Neurochem Res. 2017 Dec;42(12):3525-3536. doi: 10.1007/s11064-017-2400-z. Epub 2017 Sep 19.

引用本文的文献

1
Cathepsins in Neurological Diseases.神经疾病中的组织蛋白酶
Int J Mol Sci. 2025 Aug 15;26(16):7886. doi: 10.3390/ijms26167886.
2
Cystatin F-a key player in central nervous system disease.胱抑素F——中枢神经系统疾病的关键因素。
J Neuroinflammation. 2025 Aug 14;22(1):203. doi: 10.1186/s12974-025-03526-z.
3
Cathepsin C in health and disease: from structural insights to therapeutic prospects.组织蛋白酶 C 在健康和疾病中的作用:从结构见解到治疗前景。

本文引用的文献

1
Microglial Hv1 proton channel promotes cuprizone-induced demyelination through oxidative damage.小胶质细胞Hv1质子通道通过氧化损伤促进双环己酮草酰二腙诱导的脱髓鞘。
J Neurochem. 2015 Oct;135(2):347-56. doi: 10.1111/jnc.13242. Epub 2015 Aug 11.
2
Preferential Recruitment of Neutrophils into the Cerebellum and Brainstem Contributes to the Atypical Experimental Autoimmune Encephalomyelitis Phenotype.中性粒细胞向小脑和脑干的优先募集促成了非典型实验性自身免疫性脑脊髓炎表型。
J Immunol. 2015 Aug 1;195(3):841-52. doi: 10.4049/jimmunol.1403063. Epub 2015 Jun 17.
3
Inefficient clearance of myelin debris by microglia impairs remyelinating processes.
J Transl Med. 2024 Aug 20;22(1):777. doi: 10.1186/s12967-024-05589-7.
4
Cystatin F attenuates neuroinflammation and demyelination following murine coronavirus infection of the central nervous system.cystatin F 可减轻鼠冠状病毒感染中枢神经系统后的神经炎症和脱髓鞘。
J Neuroinflammation. 2024 Jun 15;21(1):157. doi: 10.1186/s12974-024-03153-0.
5
Cystatin F () drives sex-dependent changes in microglia in an amyloid-driven model of Alzheimer's disease.半胱氨酸蛋白酶抑制剂 F () 驱动阿尔茨海默病淀粉样蛋白驱动模型中小胶质细胞的性别依赖性变化。
Elife. 2023 Dec 12;12:e85279. doi: 10.7554/eLife.85279.
6
The Role of Cysteine Protease Cathepsins B, H, C, and X/Z in Neurodegenerative Diseases and Cancer.半胱氨酸蛋白酶 Cathepsins B、H、C 和 X/Z 在神经退行性疾病和癌症中的作用。
Int J Mol Sci. 2023 Oct 26;24(21):15613. doi: 10.3390/ijms242115613.
7
Ablation of microglia following infection of the central nervous system with a neurotropic murine coronavirus infection leads to increased demyelination and impaired remyelination.用嗜神经性鼠冠状病毒感染中枢神经系统后,小胶质细胞的消融会导致脱髓鞘增加和髓鞘再生受损。
J Neuroimmunol. 2023 Aug 15;381:578133. doi: 10.1016/j.jneuroim.2023.578133. Epub 2023 Jun 17.
8
Cysteine Cathepsins as Therapeutic Targets in Immune Regulation and Immune Disorders.半胱氨酸组织蛋白酶作为免疫调节和免疫紊乱中的治疗靶点。
Biomedicines. 2023 Feb 7;11(2):476. doi: 10.3390/biomedicines11020476.
9
Chitotriosidase 1 in the cerebrospinal fluid as a putative biomarker for HTLV-1-associated myelopathy/tropical spastic paraparesis (HAM/TSP) progression.脑脊液中的壳三糖苷酶 1 作为 HTLV-1 相关脊髓病/热带痉挛性截瘫 (HAM/TSP) 进展的潜在生物标志物。
Front Immunol. 2022 Aug 16;13:949516. doi: 10.3389/fimmu.2022.949516. eCollection 2022.
10
Lysosomal peptidases-intriguing roles in cancer progression and neurodegeneration.溶酶体肽酶——在癌症进展和神经退行性变中的有趣作用。
FEBS Open Bio. 2022 Apr;12(4):708-738. doi: 10.1002/2211-5463.13372. Epub 2022 Feb 3.
小胶质细胞对髓鞘碎片的清除效率低下会损害髓鞘再生过程。
J Exp Med. 2015 Apr 6;212(4):481-95. doi: 10.1084/jem.20141656. Epub 2015 Mar 16.
4
Cysteine cathepsins as regulators of the cytotoxicity of NK and T cells.半胱氨酸组织蛋白酶作为自然杀伤细胞和T细胞细胞毒性的调节因子。
Front Immunol. 2014 Dec 2;5:616. doi: 10.3389/fimmu.2014.00616. eCollection 2014.
5
Interleukin-1β induces blood-brain barrier disruption by downregulating Sonic hedgehog in astrocytes.白细胞介素-1β通过下调星形胶质细胞中的音猬因子来诱导血脑屏障破坏。
PLoS One. 2014 Oct 14;9(10):e110024. doi: 10.1371/journal.pone.0110024. eCollection 2014.
6
Distribution of oligodendrocyte loss and mitochondrial toxicity in the cuprizone-induced experimental demyelination model.在氯化铜诱导的实验性脱髓鞘模型中少突胶质细胞丢失和线粒体毒性的分布。
J Neuroimmunol. 2013 Sep 15;262(1-2):128-31. doi: 10.1016/j.jneuroim.2013.06.012. Epub 2013 Jul 26.
7
Cuprizone [bis(cyclohexylidenehydrazide)] is selectively toxic for mature oligodendrocytes.铜灰宁(环己叉二酰肼)对成熟的少突胶质细胞具有选择性毒性。
Neurotox Res. 2013 Aug;24(2):244-50. doi: 10.1007/s12640-013-9380-9. Epub 2013 Feb 8.
8
Cystatins in immune system.半胱氨酸蛋白酶抑制剂在免疫系统中的作用。
J Cancer. 2013;4(1):45-56. doi: 10.7150/jca.5044. Epub 2012 Dec 20.
9
Roles of chemokine ligand-2 (CXCL2) and neutrophils in influencing endothelial cell function and inflammation of human adipose tissue.趋化因子配体-2 (CXCL2) 和中性粒细胞在影响人脂肪组织内皮细胞功能和炎症中的作用。
Endocrinology. 2013 Mar;154(3):1069-79. doi: 10.1210/en.2012-1415. Epub 2013 Jan 31.
10
Microglial nodules in early multiple sclerosis white matter are associated with degenerating axons.早期多发性硬化症白质中的小胶质细胞结节与变性轴突有关。
Acta Neuropathol. 2013 Apr;125(4):595-608. doi: 10.1007/s00401-013-1082-0. Epub 2013 Jan 26.