Suppr超能文献

化疗治疗转移性胸腺瘤相关的肾病综合征。

Nephrotic syndrome associated with metastatic thymoma treated with chemotherapy.

作者信息

Yoo Shin Hye, Kim Hyean-Ji, Kim Jeong-Han, Lee Gyeong-Won, Lee Jeong Hee, Kim Se Hyun, Kim Ji-Won, Kim Jin Won, Lee Jeong-Ok, Kim Yu Jung, Lee Keun-Wook, Kim Jee Hyun, Bang Soo-Mee, Lee Jong Seok

机构信息

Department of Internal Medicine, Seoul National University Hospital, Seoul Division of Hemato-medical Oncology, Department of Internal Medicine, Seoul National University Bundang Hospital, Gyeong-gi Division of Hematology-Oncology, Department of Internal Medicine, Gyeongsang Institute of Health Science, Gyeongsang National University Hospital, Gyeongsang National University School of Medicine, Jinju Department of Pathology, Gyeonsang National University College of Medicine, Jinju, Korea.

出版信息

Medicine (Baltimore). 2017 Jan;96(1):e5408. doi: 10.1097/MD.0000000000005408.

Abstract

RATIONALE

Nephropathy with concurrent invasive thymoma is a type of paraneoplastic syndrome.

PATIENT CONCERNS AND DIAGNOSES

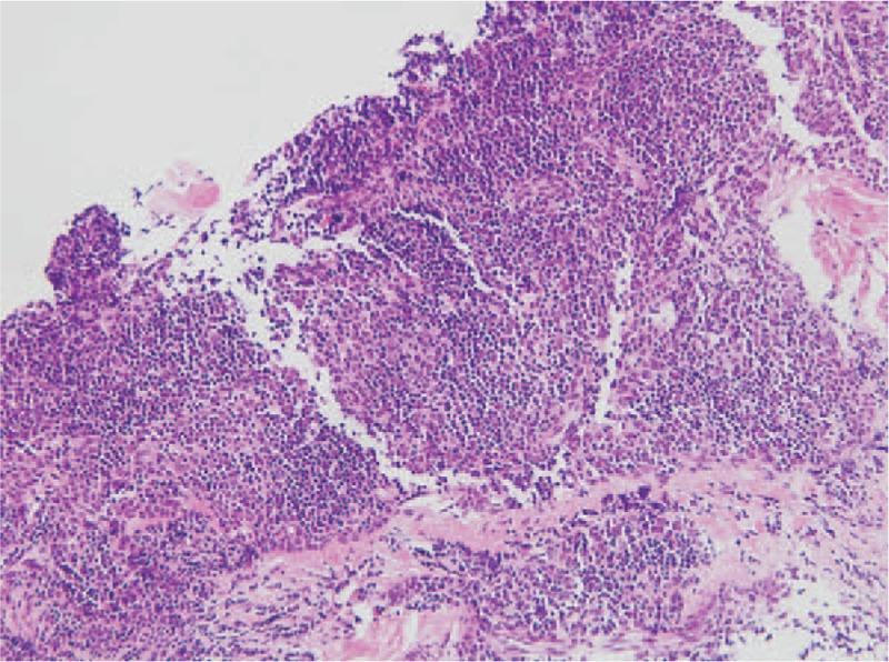
We report a 32-year-old female with nephrotic syndrome that was first diagnosed along with invasive thymoma and treated by means of cisplatin-based chemotherapy for the thymoma. The patient initially presented with dyspnea and generalized edema. Chest radiography and computed tomography scans revealed right pleural effusion and a mass in the right middle lung field, which were confirmed by a percutaneous lung biopsy as metastatic invasive thymoma. Severe hypoalbuminemia, heavy proteinuria, hyponatremia, and hypercholesterolemia were features of the nephrotic syndrome. A kidney needle biopsy suggested focal segmental glomerulosclerosis.

INTERVENTIONS AND OUTCOMES

All of the symptoms of nephrotic syndrome were resolved simultaneously during the first 2 cycles of chemotherapy. The patient was on regular follow-up with no specific treatment for nephrotic syndrome and underwent successful resection of the left pleura and anterior thymoma. The patient has shown no evidence of recurrence for 2 years.

LESSONS

We conclude that chemotherapy for invasive thymoma is an effective treatment for nephrotic syndrome accompanying the thymoma.

摘要

理论依据

肾病合并侵袭性胸腺瘤是一种副肿瘤综合征。

患者情况与诊断

我们报告一名32岁女性,最初被诊断为肾病综合征合并侵袭性胸腺瘤,并接受了以顺铂为基础的胸腺瘤化疗。患者最初表现为呼吸困难和全身水肿。胸部X线和计算机断层扫描显示右侧胸腔积液和右中肺野肿块,经皮肺活检证实为转移性侵袭性胸腺瘤。肾病综合征的特征为严重低白蛋白血症、大量蛋白尿、低钠血症和高胆固醇血症。肾穿刺活检提示局灶节段性肾小球硬化。

干预措施及结果

在化疗的前2个周期中,肾病综合征的所有症状同时得到缓解。患者定期随访,未对肾病综合征进行特殊治疗,并成功切除了左胸膜和前纵隔胸腺瘤。患者2年来无复发迹象。

经验教训

我们得出结论,侵袭性胸腺瘤的化疗是治疗伴胸腺瘤肾病综合征的有效方法。

https://cdn.ncbi.nlm.nih.gov/pmc/blobs/f734/5228645/a2df8ee1ca23/medi-96-e5408-g001.jpg

相似文献

1
Nephrotic syndrome associated with metastatic thymoma treated with chemotherapy.
Medicine (Baltimore). 2017 Jan;96(1):e5408. doi: 10.1097/MD.0000000000005408.
4
Focal segmental glomerulosclerosis associated with invasive thymoma.
Ther Apher Dial. 2011 Apr;15(2):210-1. doi: 10.1111/j.1744-9987.2010.00871.x. Epub 2010 Oct 25.
7
Atypical thymoma: a report of seven patients.
Ann Thorac Surg. 2004 Aug;78(2):411-6. doi: 10.1016/j.athoracsur.2003.12.052.
8
Preoperative intra-arterial infusion chemotherapy for invasive thymoma: a case report.
Jpn J Clin Oncol. 1996 Dec;26(6):476-9. doi: 10.1093/oxfordjournals.jjco.a023268.

引用本文的文献

1
Carcinoma of the ampulla of Vater with membranous nephropathy: a case report.
J Int Med Res. 2025 Feb;53(2):3000605251317966. doi: 10.1177/03000605251317966.
2
Nephrotic syndrome as a possible indicator of colonic cancer: A case report.
Biomed Rep. 2024 Sep 17;21(5):170. doi: 10.3892/br.2024.1858. eCollection 2024 Nov.
3
Autoimmune disorders and paraneoplastic syndromes in thymoma.
J Thorac Dis. 2020 Dec;12(12):7571-7590. doi: 10.21037/jtd-2019-thym-10.

本文引用的文献

1
Glomerular diseases seen with cancer and chemotherapy: a narrative review.
Kidney Int. 2013 Jul;84(1):34-44. doi: 10.1038/ki.2012.484. Epub 2013 Jan 30.
2
Thymoma and thymic carcinoma in the target therapies era.
Cancer Treat Rev. 2013 Aug;39(5):413-20. doi: 10.1016/j.ctrv.2012.11.005. Epub 2012 Dec 20.
4
Focal segmental glomerulosclerosis associated with invasive thymoma.
Ther Apher Dial. 2011 Apr;15(2):210-1. doi: 10.1111/j.1744-9987.2010.00871.x. Epub 2010 Oct 25.
5
Pathogenesis, diagnosis and management of paraneoplastic glomerulonephritis.
Nat Rev Nephrol. 2011 Feb;7(2):85-95. doi: 10.1038/nrneph.2010.171. Epub 2010 Dec 14.
6
Nephrotic syndrome in adults: diagnosis and management.
Am Fam Physician. 2009 Nov 15;80(10):1129-34.
7
Paraneoplastic syndromes in thymoma: an immunological perspective.
Curr Treat Options Oncol. 2008 Dec;9(4-6):269-76. doi: 10.1007/s11864-008-0081-1. Epub 2009 Feb 6.
8
Paraneoplastic glomerular diseases and malignancies.
Crit Rev Oncol Hematol. 2009 Apr;70(1):39-58. doi: 10.1016/j.critrevonc.2008.08.003. Epub 2008 Sep 14.
10
Membranous nephropathy and cancer: Epidemiologic evidence and determinants of high-risk cancer association.
Kidney Int. 2006 Oct;70(8):1510-7. doi: 10.1038/sj.ki.5001790. Epub 2006 Aug 30.

文献AI研究员

20分钟写一篇综述,助力文献阅读效率提升50倍。

立即体验

用中文搜PubMed

大模型驱动的PubMed中文搜索引擎

马上搜索

文档翻译

学术文献翻译模型,支持多种主流文档格式。

立即体验