Suppr超能文献

[经HTLV-1前病毒基因检测确诊的12例成人T细胞白血病/淋巴瘤患者的临床特征及预后]

[Clinical characteristics and prognosis in 12 patients with adult T cell leukemia/lymphoma confirmed by HTLV-1 provirus gene detection].

作者信息

Wu Z J, Zheng X Y, Yang X Z, Liu T B, Yang T, Zheng Z H, Gao F, Chen C X, Li J G, Zhang C Q, Lin W Q, Zheng H Y, Lin S X, Hu J D

机构信息

Fujian Institute of Hematology, Fujian Provincial Key Laboratory of Hematology, Fujian Medical University Union Hospital, Fuzhou 350001, China.

出版信息

Zhonghua Xue Ye Xue Za Zhi. 2016 Dec 14;37(12):1027-1032. doi: 10.3760/cma.j.issn.0253-2727.2016.12.003.

Abstract

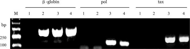
To analyze the clinical characteristics and prognosis of adult T cell leukemia/lymphoma (ATLL). Peripheral blood samples from patients who were suspected as ATLL from March, 2013 to July, 2015, were collected for HTLV-1 provirus genes detection in genomic DNA extraction by PCR. Cases showing positive results were confirmed as ATLL. Clinical and laboratory characteristics, therapeutic outcomes and survival evaluation were collected. 12 out of 23 suspected patients were confirmedly diagnosed as ATLL through HTLV-1 provirus genes detection by PCR. Eight patients were male and four patients were female. Median age was 51 (range 28-66) years old. All of those patients came from coastal cities of Fujian province where a HTLV-1 epidemic area locates. In the subtype classification of these 12 ATLL, 11 patients were classified as acute type and one case as lymphoma type ATLL. As one of the clinical characteristics of ATLL, ' flower cells ', with typical or atypical morphology had been observed in a high rate (81.8%). Clinical symptom such as hepatomegaly, splenomegaly and lymphadenectasis were detected in most of patients, and hypercalcemia and elevated LDH were also noted commonly. The ATLL cells immunophenotype were typical, and the major subtype was CD4 CD8 type. Confection of hepatitis B virus was detected in a high rate (54.5%). Ten patients received chemotherapy, and 2 cases in complete remission after chemotherapy received allogeneic hematopoietic stem cell transplantation. At the end of the follow-up, 7 cases died, 4 cases survived, 1 case was lost, and the median survival was 2.8 (0.9-10.8) months. We found a case had HTLV-1 provirus negative after transplantation. In the coastal area of Fujian Province, ATLL is not rare. Characteristics of those ATLL are typical. But prognosis is still unsatisfactory.

摘要

分析成人T细胞白血病/淋巴瘤(ATLL)的临床特征及预后。收集2013年3月至2015年7月疑似ATLL患者的外周血样本,采用PCR技术提取基因组DNA检测HTLV-1前病毒基因。PCR检测结果呈阳性的病例确诊为ATLL。收集临床和实验室特征、治疗结果及生存评估情况。23例疑似患者中,12例经PCR检测HTLV-1前病毒基因确诊为ATLL。男性8例,女性4例。中位年龄为51岁(范围28 - 66岁)。所有患者均来自福建省沿海城市的HTLV-1流行区。这12例ATLL的亚型分类中,11例为急性型,1例为淋巴瘤型ATLL。作为ATLL的临床特征之一,“花细胞”具有典型或非典型形态,检出率较高(81.8%)。多数患者出现肝肿大、脾肿大及淋巴结肿大等临床症状,高钙血症和乳酸脱氢酶升高也较为常见。ATLL细胞免疫表型典型,主要亚型为CD4 CD8型。乙肝病毒感染率较高(54.5%)。十例患者接受化疗,2例化疗后完全缓解的患者接受了异基因造血干细胞移植。随访结束时,7例死亡,4例存活,1例失访,中位生存期为2.8(0.9 - 10.8)个月。我们发现1例患者移植后HTLV-1前病毒呈阴性。在福建省沿海地区,ATLL并不罕见。其特征典型。但预后仍不尽人意。

https://cdn.ncbi.nlm.nih.gov/pmc/blobs/87a8/7348501/370976e786f7/cjh-37-12-1027-g001.jpg

文献AI研究员

20分钟写一篇综述,助力文献阅读效率提升50倍。

立即体验

用中文搜PubMed

大模型驱动的PubMed中文搜索引擎

马上搜索

文档翻译

学术文献翻译模型,支持多种主流文档格式。

立即体验