Stausholm Kirsten Rønholt, Spaun Eva, Koppelhus Uffe
Department of Dermatology, Aarhus University Hospital, Aarhus, Denmark.
Department of Pathology, Aarhus University Hospital, Aarhus, Denmark.
Case Rep Dermatol. 2016 Oct 4;8(3):267-271. doi: 10.1159/000450698. eCollection 2016 Sep-Dec.
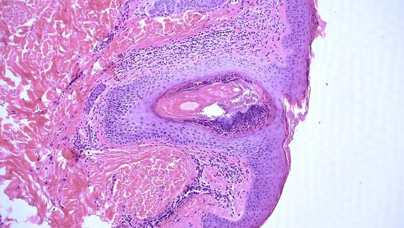
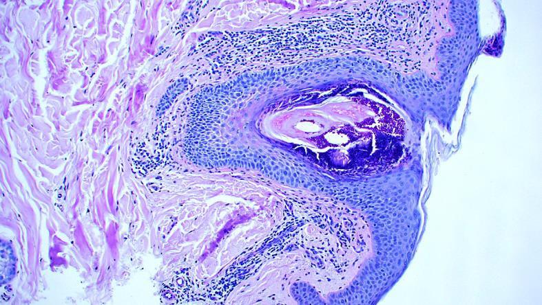
A report on a 40-year-old patient with recalcitrant, suppurative folliculitis is presented. After years of unsuccessful treatment with conventional therapies, the patient was diagnosed with adrenal insufficiency with a low level of circulating cortisol. A few weeks after the patient was subjected to substitution therapy with hydrocortisone, his folliculitis resolved. We discuss the role of plasma cortisol level in the pathogenesis of folliculitis.
本文报告了一名40岁患有顽固性化脓性毛囊炎的患者。在接受多年传统治疗但未成功后,该患者被诊断为肾上腺功能不全,循环皮质醇水平较低。在患者接受氢化可的松替代治疗几周后,其毛囊炎得到缓解。我们讨论了血浆皮质醇水平在毛囊炎发病机制中的作用。