Suppr超能文献

模拟磁共振波谱成像作为胶质母细胞瘤患者放射治疗计划指标的效果。

Simulating the Effect of Spectroscopic MRI as a Metric for Radiation Therapy Planning in Patients with Glioblastoma.

作者信息

Cordova J Scott, Kandula Shravan, Gurbani Saumya, Zhong Jim, Tejani Mital, Kayode Oluwatosin, Patel Kirtesh, Prabhu Roshan, Schreibmann Eduard, Crocker Ian, Holder Chad A, Shim Hyunsuk, Shu Hui-Kuo

机构信息

Department of Radiology and Imaging Sciences, Emory University School of Medicine, Atlanta, Georgia.

Department of Radiation Oncology, Emory University School of Medicine, Atlanta, Georgia; Florida Hospital Medical Group, Radiation Oncology Associates, Orlando, Florida.

出版信息

Tomography. 2016 Dec;2(4):366-373. doi: 10.18383/j.tom.2016.00187.

Abstract

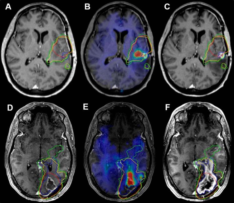
Due to glioblastoma's infiltrative nature, an optimal radiation therapy (RT) plan requires targeting infiltration not identified by anatomical magnetic resonance imaging (MRI). Here, high-resolution, whole-brain spectroscopic MRI (sMRI) is used to describe tumor infiltration alongside anatomical MRI and simulate the degree to which it modifies RT target planning. In 11 patients with glioblastoma, data from preRT sMRI scans were processed to give high-resolution, whole-brain metabolite maps normalized by contralateral white matter. Maps depicting choline to N-Acetylaspartate (Cho/NAA) ratios were registered to contrast-enhanced T1-weighted RT planning MRI for each patient. Volumes depicting metabolic abnormalities (1.5-, 1.-, and 2.0-fold increases in Cho/NAA ratios) were compared with conventional target volumes and contrast-enhancing tumor at recurrence. sMRI-modified RT plans were generated to evaluate target volume coverage and organ-at-risk dose constraints. Conventional clinical target volumes and Cho/NAA abnormalities identified significantly different regions of microscopic infiltration with substantial Cho/NAA abnormalities falling outside of the conventional 60 Gy isodose line (41.1, 22.2, and 12.7 cm, respectively). Clinical target volumes using Cho/NAA thresholds exhibited significantly higher coverage of contrast enhancement at recurrence on average (92.4%, 90.5%, and 88.6%, respectively) than conventional plans (82.5%). sMRI-based plans targeting tumor infiltration met planning objectives in all cases with no significant change in target coverage. In 2 cases, the sMRI-modified plan exhibited better coverage of contrast-enhancing tumor at recurrence than the original plan. Integration of the high-resolution, whole-brain sMRI into RT planning is feasible, resulting in RT target volumes that can effectively target tumor infiltration while adhering to conventional constraints.

摘要

由于胶质母细胞瘤具有浸润性,最佳的放射治疗(RT)计划需要针对解剖磁共振成像(MRI)未识别出的浸润区域。在此,高分辨率全脑磁共振波谱成像(sMRI)用于描述肿瘤浸润情况,并与解剖MRI一起模拟其对RT靶区规划的影响程度。对11例胶质母细胞瘤患者放疗前sMRI扫描数据进行处理,以生成经对侧白质归一化的高分辨率全脑代谢物图谱。将描绘胆碱与N-乙酰天门冬氨酸(Cho/NAA)比值的图谱与每位患者的增强T1加权RT规划MRI进行配准。将描绘代谢异常(Cho/NAA比值增加1.5倍、1倍和2.0倍)的体积与传统靶区体积以及复发时的强化肿瘤进行比较。生成sMRI修正的RT计划,以评估靶区体积覆盖情况和危及器官剂量限制。传统临床靶区体积与Cho/NAA异常所识别出的微观浸润区域存在显著差异,大量Cho/NAA异常区域位于传统60 Gy等剂量线之外(分别为41.1、22.2和12.7 cm)。使用Cho/NAA阈值的临床靶区体积在复发时平均对比增强覆盖范围(分别为92.4%、90.5%和88.6%)显著高于传统计划(82.5%)。基于sMRI针对肿瘤浸润的计划在所有病例中均达到规划目标,靶区覆盖无显著变化。在2例病例中,sMRI修正计划在复发时对强化肿瘤的覆盖优于原计划。将高分辨率全脑sMRI纳入RT规划是可行的,可生成能有效针对肿瘤浸润同时符合传统限制的RT靶区体积。

https://cdn.ncbi.nlm.nih.gov/pmc/blobs/3ef9/6037925/eec6592bc95b/tom0041600630001.jpg

文献AI研究员

20分钟写一篇综述,助力文献阅读效率提升50倍。

立即体验

用中文搜PubMed

大模型驱动的PubMed中文搜索引擎

马上搜索

文档翻译

学术文献翻译模型,支持多种主流文档格式。

立即体验