Suppr超能文献

下颌对称性双侧尖牙-侧切牙易位:早期诊断与治疗考量

Mandibular Symmetrical Bilateral Canine-Lateral Incisors Transposition: Its Early Diagnosis and Treatment Considerations.

作者信息

Shapira Yehoshua, Finkelstein Tamar, Kadry Rana, Schonberger Shirley, Shpack Nir

机构信息

Department of Orthodontics, The Maurice and Gabriela Goldschleger School of Dental Medicine, Tel Aviv University, Tel Aviv, Israel.

出版信息

Case Rep Dent. 2016;2016:5043801. doi: 10.1155/2016/5043801. Epub 2016 Dec 29.

Abstract

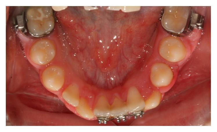
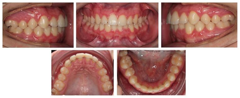
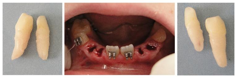
Bilateral mandibular tooth transposition is a relatively rare dental anomaly caused by distal migration of the mandibular lateral incisors and can be detected in the early mixed dentition by radiographic examination. Early diagnosis and interceptive intervention may reduce the risk of possible transposition between the mandibular canine and lateral incisor. This report illustrates the orthodontic management of bilateral mandibular canine-lateral incisor transposition. Correct positioning of the affected teeth was achieved on the left side while teeth on the right side were aligned in their transposed position. It demonstrates the outcome of good alignment of the teeth in the dental arch.

摘要

双侧下颌牙齿易位是一种相对罕见的牙齿异常,由下颌侧切牙向远中移位引起,可通过影像学检查在混合牙列早期发现。早期诊断和阻断性干预可能会降低下颌尖牙和侧切牙之间可能发生易位的风险。本报告阐述了双侧下颌尖牙-侧切牙易位的正畸治疗。左侧患牙实现了正确定位,而右侧牙齿则在其易位位置排齐。它展示了牙弓中牙齿良好排齐的效果。

https://cdn.ncbi.nlm.nih.gov/pmc/blobs/0815/5227130/58c1fc9067b0/CRID2016-5043801.001.jpg

文献AI研究员

20分钟写一篇综述,助力文献阅读效率提升50倍。

立即体验

用中文搜PubMed

大模型驱动的PubMed中文搜索引擎

马上搜索

文档翻译

学术文献翻译模型,支持多种主流文档格式。

立即体验