Suppr超能文献

表现为马尾综合征的神经轴内硬膜下钙化性假肿瘤

Intradural calcifying pseudoneoplasm of the neuraxis presenting as a cauda equina syndrome.

作者信息

Lopes Arthur J M, Brock Roger S, Martins Thiago G, de Medeiro Raphael S S, Montezzo Daniel, de Oliveira Matheus F, Teixeira Manoel J

机构信息

Department of Neurology, University of São Paulo, São Paulo, Brazil.

Department of Anatomic Pathology Division, University of São Paulo, São Paulo, Brazil.

出版信息

Surg Neurol Int. 2016 Dec 26;7(Suppl 42):S1102-S1105. doi: 10.4103/2152-7806.196771. eCollection 2016.

Abstract

BACKGROUND

Calcifying nonneoplastic pseudoneoplasms of the neuraxis (CAPNON) have been reported in 59 cases in literature, however, they rarely involve the spinal cord. Owing to the advances in immunohistochemical markers, their structure and origin are better understood now.

CASE REPORT

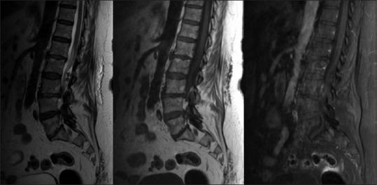
We present the case of a 72-year-old female who had longstanding history of low back pain that exacerbated 20 days prior to the presentation to the emergency room with a frank cauda equina syndrome. The lumbar computed tomography scan showed a hyperdense lesion, suggestive of calcified tumor, whereas the magnetic resonance imaging revealed a hypointense lesion on theT1 and T2-weighted images, without contrast enhancement or edema on fluid-attenuated inversion recovery. She underwent an emergent L2-L4 laminectomy and L3-L4 discectomy with resection of L2 intradural tumor, following which she regained normal function.

CONCLUSION

A 72-year-old female presented with a cauda equina syndrome attributed to an L2 intradural CAPNON. Following gross total resection, the patient was neurologically intact.

摘要

背景

文献报道了59例神经轴钙化性非肿瘤性假瘤(CAPNON),然而,它们很少累及脊髓。由于免疫组化标志物的进展,现在对其结构和起源有了更好的理解。

病例报告

我们报告一例72岁女性,有长期腰痛病史,在因明显的马尾神经综合征就诊于急诊室前20天病情加重。腰椎计算机断层扫描显示高密度病变,提示钙化肿瘤,而磁共振成像在T1加权和T2加权图像上显示低信号病变,在液体衰减反转恢复序列上无强化或水肿。她接受了急诊L2-L4椎板切除术和L3-L4椎间盘切除术,并切除了L2硬膜内肿瘤,术后恢复了正常功能。

结论

一名72岁女性因L2硬膜内CAPNON出现马尾神经综合征。在进行全切除术后,患者神经功能完好。

https://cdn.ncbi.nlm.nih.gov/pmc/blobs/c643/5234301/9663d40b1e33/SNI-7-1102-g001.jpg

文献AI研究员

20分钟写一篇综述,助力文献阅读效率提升50倍。

立即体验

用中文搜PubMed

大模型驱动的PubMed中文搜索引擎

马上搜索

文档翻译

学术文献翻译模型,支持多种主流文档格式。

立即体验