Suppr超能文献

δ-生育酚琥珀酸酯衍生物通过诱导粒细胞集落刺激因子增强对 Co γ 射线诱导的造血损伤的保护作用。

Succinate ester derivative of δ-tocopherol enhances the protective effects against Co γ-ray-induced hematopoietic injury through granulocyte colony-stimulating factor induction in mice.

机构信息

Department of Pathophysiology, Beijing Institute of Radiation Medicine, Beijing, China.

Department of Medicinal Chemistry, Beijing Institute of Pharmacology and Toxicology, Beijing, China.

出版信息

Sci Rep. 2017 Feb 1;7:40380. doi: 10.1038/srep40380.

Abstract

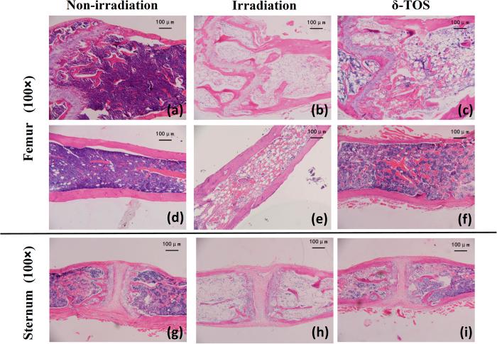
α-tocopherol succinate (α-TOS), γ-tocotrienol (GT3) and δ-tocotrienol (DT3) have drawn large attention due to their efficacy as radioprotective agents. α-TOS has been shown to act superior to α-tocopherol (α-TOH) in mice by reducing lethality following total body irradiation (TBI). Because α-TOS has been shown to act superior to α-tocopherol (α-TOH) in mice by reducing lethality following total body irradiation (TBI), we hypothesized succinate may be contribute to the radioprotection of α-TOS. To study the contributions of succinate and to identify stronger radioprotective agents, we synthesized α-, γ- and δ-TOS. Then, we evaluated their radioprotective effects and researched further mechanism of δ-TOS on hematological recovery post-irradiation. Our results demonstrated that the chemical group of succinate enhanced the effects of α-, γ- and δ-TOS upon radioprotection and granulocyte colony-stimulating factor (G-CSF) induction, and found δ-TOS a higher radioprotective efficacy at a lower dosage. We further found that treatment with δ-TOS ameliorated radiation-induced pancytopenia, augmenting cellular recovery in bone marrow and the colony forming ability of bone marrow cells in sublethal irradiated mice, thus promoting hematopoietic stem and progenitor cell recovery following irradiation exposure. δ-TOS appears to be an attractive radiation countermeasure without known toxicity, but further exploratory efficacy studies are still required.

摘要

α-生育酚琥珀酸酯(α-TOS)、γ-生育三烯酚(GT3)和 δ-生育三烯酚(DT3)因其作为辐射防护剂的功效而引起了广泛关注。α-TOS 已被证明在减少全身照射(TBI)后致死率方面优于 α-生育酚(α-TOH),在小鼠中具有更好的作用。由于 α-TOS 已被证明在减少全身照射(TBI)后致死率方面优于 α-生育酚(α-TOH),我们假设琥珀酸可能有助于 α-TOS 的辐射防护。为了研究琥珀酸的贡献并确定更有效的辐射防护剂,我们合成了 α-、γ-和 δ-TOS。然后,我们评估了它们的辐射防护作用,并进一步研究了 δ-TOS 对辐射后血液学恢复的机制。我们的结果表明,琥珀酸的化学基团增强了 α-、γ-和 δ-TOS 的辐射防护作用和粒细胞集落刺激因子(G-CSF)诱导作用,并发现 δ-TOS 在较低剂量下具有更高的辐射防护效果。我们进一步发现,δ-TOS 治疗可改善辐射引起的全血细胞减少症,增强骨髓中细胞的恢复和亚致死辐射小鼠骨髓细胞的集落形成能力,从而促进照射暴露后造血干细胞和祖细胞的恢复。δ-TOS 似乎是一种有吸引力的辐射对策,没有已知的毒性,但仍需要进一步的探索性疗效研究。

https://cdn.ncbi.nlm.nih.gov/pmc/blobs/dc89/5286428/187967ad5a3a/srep40380-f1.jpg

文献AI研究员

20分钟写一篇综述,助力文献阅读效率提升50倍。

立即体验

用中文搜PubMed

大模型驱动的PubMed中文搜索引擎

马上搜索

文档翻译

学术文献翻译模型,支持多种主流文档格式。

立即体验