Suppr超能文献

罕见的孤立性梗阻性心上型完全性肺静脉异位连接的产前诊断:病例报告及文献复习(符合 CARE 标准)

Prenatal diagnoses of an uncommon isolated obstructed supracardiac total anomalous pulmonary venous connection: Case report and review of the literature (CARE compliant).

作者信息

Muntean Iolanda, Mărginean Claudiu, Stanca Răzvan, Togănel Rodica, Pop Marian, Gozar Liliana

机构信息

Department of Pediatric Cardiology, University of Medicine and Pharmacy Department of Obstetric and Gynecology I, University of Medicine and Pharmacy, Tirgu-Mures Medlife. Constanta County Emergency Hospital, Tîrgu-Mureş, România.

出版信息

Medicine (Baltimore). 2017 Feb;96(5):e6061. doi: 10.1097/MD.0000000000006061.

Abstract

INTRODUCTION

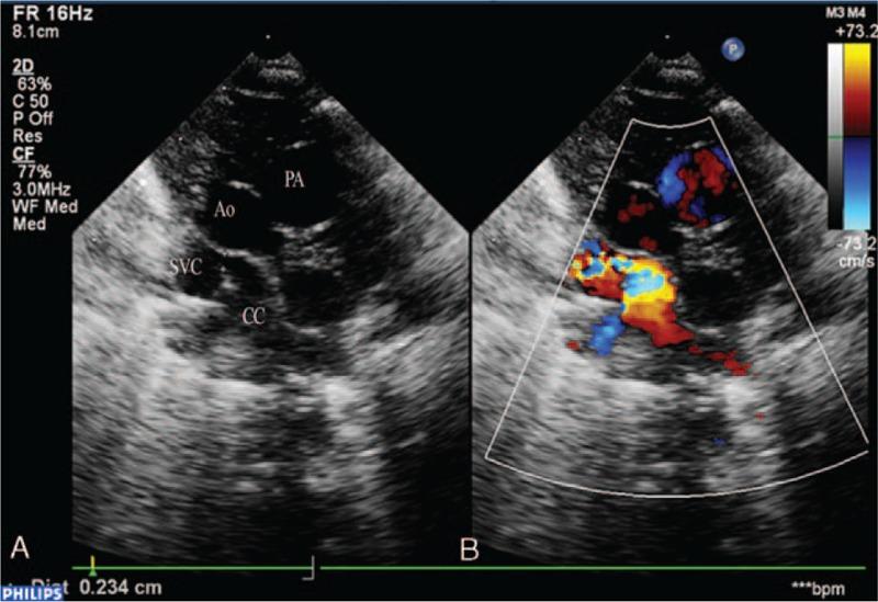
Total anomalous pulmonary venous connection is an uncommon congenital heart disease. Four types are described based on the site of pulmonary venous drainage: supracardiac, cardiac, infradiaphragmathic, and mixed connection. In most cases of supracardiac type, the common venous confluence drains through an ascending left vertical vein into the brachiocephalic vein, right superior vena cava, and then into the right atrium. Anomalous connection of the pulmonary venous confluence directly to the right SVC, especially the obstructed form is an unusual and severe supracardiac variant. The prenatal diagnosis is challenging.

PATIENT CONCERNS

We present a case report of a fetus diagnosed with TAPVC at 23 gestational weeks.

DIAGNOSIS INTERVENTIONS

The 4-chamber view showed a small left atrium, with a "smooth" posterior wall and the absence of pulmonary vein connection. This is the first case of prenatally diagnosed isolated, obstructed supracardiac type with drainage directly into the right superior vena cava.

CONCLUSION

The obstetrician and fetal cardiologist should be cautious at the direct and indirect echocardiographic signs of this condition. A prenatal diagnose of isolated, obstructed form is important for adequate planning of delivery and postnatal surgery in a tertiary center.

摘要

引言

完全性肺静脉异位连接是一种罕见的先天性心脏病。根据肺静脉引流部位可分为四种类型:心上型、心内型、心下型和混合型连接。在大多数心上型病例中,共同肺静脉干通过左垂直静脉向上引流至头臂静脉、右上腔静脉,然后进入右心房。肺静脉干直接与右上腔静脉异常连接,尤其是梗阻型,是一种罕见且严重的心上型变异。产前诊断具有挑战性。

患者情况

我们报告一例在孕23周时被诊断为完全性肺静脉异位连接的胎儿病例。

诊断干预

四腔心切面显示左心房小,后壁“光滑”且无肺静脉连接。这是首例产前诊断为孤立性、梗阻性心上型且直接引流至右上腔静脉的病例。

结论

产科医生和胎儿心脏病专家应对这种情况的直接和间接超声心动图征象保持谨慎。产前诊断孤立性、梗阻型对于在三级中心进行充分的分娩计划和产后手术至关重要。

https://cdn.ncbi.nlm.nih.gov/pmc/blobs/86f0/5293482/664b7a1adf0b/medi-96-e6061-g001.jpg

文献AI研究员

20分钟写一篇综述,助力文献阅读效率提升50倍。

立即体验

用中文搜PubMed

大模型驱动的PubMed中文搜索引擎

马上搜索

文档翻译

学术文献翻译模型,支持多种主流文档格式。

立即体验