Suppr超能文献

一项对自发性小鼠卵巢畸胎瘤神经上皮成分中神经肽和神经元细胞骨架蛋白的免疫组织化学研究。原始神经上皮对神经肽和神经元相关的β-微管蛋白同型物显示免疫反应性。

An immunohistochemical study of neuropeptides and neuronal cytoskeletal proteins in the neuroepithelial component of a spontaneous murine ovarian teratoma. Primitive neuroepithelium displays immunoreactivity for neuropeptides and neuron-associated beta-tubulin isotype.

作者信息

Caccamo D V, Herman M M, Frankfurter A, Katsetos C D, Collins V P, Rubinstein L J

机构信息

Department of Pathology, University of Virginia School of Medicine, Charlottesville 22908.

出版信息

Am J Pathol. 1989 Nov;135(5):801-13.

Abstract

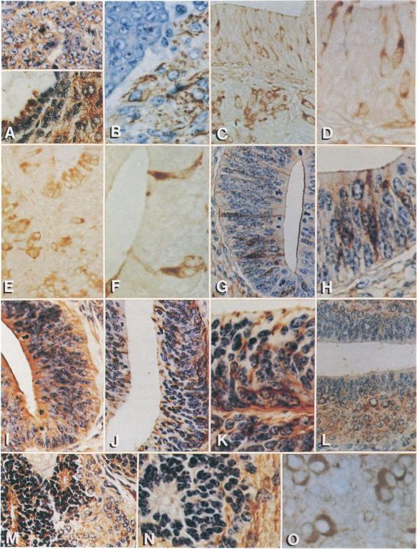
Approximately one third of the female mice of the LTXBO strain develop spontaneous ovarian teratomas. These tumors contain a large neuroepithelial component, which includes primitive neural structures resembling embryonic neural tubes (medulloepithelial rosettes), ependymoblastic and ependymal rosettes, neuroblasts, mature ganglionic neurons, myelinated neurites, and astrocytes. The purpose of this study was to characterize these tumors according to the immunohistochemical location of some well-characterized trophic and regulatory neuropeptides and neurotransmitters, several neuronal-associated cytoskeletal proteins, and other proteins indicative of neuronal and glial differentiation. Medulloepithelial rosettes showed focal serotonin-like, opioid peptide-like and gamma-amino butyric acid-like immunoreactivity, and displayed immunostaining for the neuron-associated class III beta-tubulin isotype. The mature ganglion cells were also immunoreactive for these markers, and, in addition, for somatostatin, cholecystokinin, bombesin, glucagon, vasoactive intestinal peptide, and neuropeptide Y. Mature ganglion cells were also immunoreactive for proteins associated with the neuronal cytoskeleton (including microtubule-associated proteins, MAP2 and tau, and higher molecular weight phosphorylated and non-phosphorylated neurofilament subunits), neuron-specific enolase, and synaptophysin. Undifferentiated stem cells, ependymoblastic and ependymal rosettes, and astroglia all stained with a monoclonal antibody that recognizes all mammalian beta-tubulin isotypes, but did not react with antibodies to neuronal-associated cytoskeletal proteins or neuropeptides. Neuropeptide-like immunoreactivity and demonstration of the class III beta-tubulin isotype indicate early neuronal commitment in neoplastic primitive neuroepithelium. These patterns of immunoreactivity closely follow those encountered in the normal neurocytogenesis of the mammalian and avian forebrain, and increase the precision with which the early stages of progressive neuroepithelial differentiation can be analyzed in human embryonal tumors of the CNS.

摘要

大约三分之一的LTXBO品系雌性小鼠会自发形成卵巢畸胎瘤。这些肿瘤含有大量神经上皮成分,包括类似于胚胎神经管的原始神经结构(髓上皮玫瑰花结)、室管膜母细胞和室管膜玫瑰花结、神经母细胞、成熟的神经节神经元、有髓神经突和星形胶质细胞。本研究的目的是根据一些特征明确的营养和调节性神经肽及神经递质、几种与神经元相关的细胞骨架蛋白以及其他指示神经元和神经胶质分化的蛋白的免疫组织化学定位来对这些肿瘤进行特征描述。髓上皮玫瑰花结显示出局部的5-羟色胺样、阿片肽样和γ-氨基丁酸样免疫反应性,并对与神经元相关的III类β-微管蛋白亚型呈免疫染色。成熟的神经节细胞对这些标志物也呈免疫反应性,此外,对生长抑素、胆囊收缩素、蛙皮素、胰高血糖素、血管活性肠肽和神经肽Y也呈免疫反应性。成熟的神经节细胞对与神经元细胞骨架相关的蛋白(包括微管相关蛋白、MAP2和tau以及更高分子量的磷酸化和非磷酸化神经丝亚基)、神经元特异性烯醇化酶和突触素也呈免疫反应性。未分化的干细胞、室管膜母细胞和室管膜玫瑰花结以及星形胶质细胞都用一种识别所有哺乳动物β-微管蛋白亚型的单克隆抗体染色,但不与针对与神经元相关的细胞骨架蛋白或神经肽的抗体发生反应。神经肽样免疫反应性和III类β-微管蛋白亚型的显示表明肿瘤性原始神经上皮中存在早期神经元定向分化。这些免疫反应模式与哺乳动物和鸟类前脑正常神经细胞发生过程中遇到的模式密切相关,并提高了在人类中枢神经系统胚胎肿瘤中分析进行性神经上皮分化早期阶段的精确性。

https://cdn.ncbi.nlm.nih.gov/pmc/blobs/9ef8/1880094/8bad97f7354b/amjpathol00119-0039-a.jpg

文献检索

告别复杂PubMed语法,用中文像聊天一样搜索,搜遍4000万医学文献。AI智能推荐,让科研检索更轻松。

立即免费搜索

文件翻译

保留排版,准确专业,支持PDF/Word/PPT等文件格式,支持 12+语言互译。

免费翻译文档

深度研究

AI帮你快速写综述,25分钟生成高质量综述,智能提取关键信息,辅助科研写作。

立即免费体验