Liu Leilei, Kong Xianglei, Lu Xiaoqian, Cao Dianbo
Department of Radiology, The First Hospital of Jilin University , Changchun, China.
Clin Pract. 2016 Dec 7;6(4):853. doi: 10.4081/cp.2016.853. eCollection 2016 Oct 24.
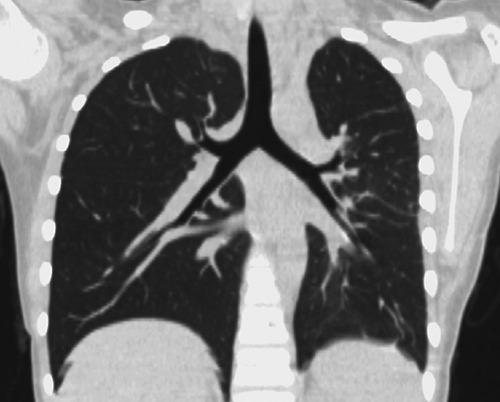
Inflammatory myofibroblastic tumor (IMT) belongs to the group of soft tissue tumor and could occur at any anatomical site from the central nervous system to gastrointestinal tract. The lung and abdomen are commonly affected sites, however, pulmonary IMT is predominantly located within the parenchyma rather than presenting as endobronchial lesion. IMTs may occur in any age group, but they are observed most commonly in children and adolescents. Here, we present a case of IMT arising from the left main stem bronchus in a 10-year-old girl.
炎性肌纤维母细胞瘤(IMT)属于软组织肿瘤,可发生于从中枢神经系统到胃肠道的任何解剖部位。肺和腹部是常见的受累部位,然而,肺部IMT主要位于实质内,而非表现为支气管内病变。IMT可发生于任何年龄组,但最常见于儿童和青少年。在此,我们报告一例10岁女孩左主支气管起源的IMT病例。