Suppr超能文献

对于一名因皮质类固醇导致医源性库欣综合征的肝硬化患者,在脾切除术前,罗米司亭疗法作为难治性免疫性血小板减少症的二线治疗方法。

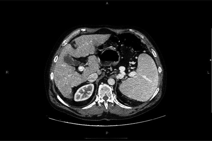
Romiplostim therapy as a second-line treatment before splenectomy for refractory immune thrombocytopenia in a cirrhotic patient with iatrogenic Cushing syndrome secondary to corticosteroids.

作者信息

Casanovas Taltavull Teresa, Peña-Cala Maria Carmen

机构信息

Gastroenterology Service Hepatitis and Liver Transplant Unit IDIBELL Hospital Universitari de Bellvitge Feixa Llarga s/n L'Hospitalet de Llobregat 08907 Barcelona Spain.

出版信息

Clin Case Rep. 2017 Jan 23;5(2):159-163. doi: 10.1002/ccr3.667. eCollection 2017 Feb.

Abstract

Our case report discusses the usefulness of administering romiplostim as a second-line treatment before splenectomy in a cirrhotic patient with immune thrombocytopenia who developed corticosteroid-induced Cushing's syndrome. Corticosteroids were tapered and consequently withdrawn. The patient made a full recovery postsplenectomy.

摘要

我们的病例报告讨论了在一名患有免疫性血小板减少症的肝硬化患者中,在脾切除术前将罗米司亭作为二线治疗药物的有效性,该患者出现了皮质类固醇诱导的库欣综合征。逐渐减少并最终停用了皮质类固醇。患者在脾切除术后完全康复。

https://cdn.ncbi.nlm.nih.gov/pmc/blobs/5369/5290496/da0ffe3448bb/CCR3-5-159-g001.jpg

文献检索

告别复杂PubMed语法,用中文像聊天一样搜索,搜遍4000万医学文献。AI智能推荐,让科研检索更轻松。

立即免费搜索

文件翻译

保留排版,准确专业,支持PDF/Word/PPT等文件格式,支持 12+语言互译。

免费翻译文档

深度研究

AI帮你快速写综述,25分钟生成高质量综述,智能提取关键信息,辅助科研写作。

立即免费体验