Suppr超能文献

炎症性肠病患者锯齿状和腺瘤性病变的患病率及解剖分布

Prevalence and Anatomic Distribution of Serrated and Adenomatous Lesions in Patients with Inflammatory Bowel Disease.

作者信息

Lee Lik Hang, Iacucci Marietta, Fort Gasia Miriam, Ghosh Subrata, Panaccione Remo, Urbanski Stefan

机构信息

Department of Pathology and Laboratory Medicine, University of Calgary and Foothills Medical Centre, Calgary, AB, Canada.

Department of Medicine, University of Calgary and Foothills Medical Centre, Calgary, AB, Canada.

出版信息

Can J Gastroenterol Hepatol. 2017;2017:5490803. doi: 10.1155/2017/5490803. Epub 2017 Jan 15.

Abstract

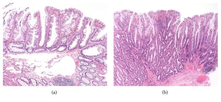
. Sessile serrated adenomas/polyps (SSA/Ps) and traditional serrated adenomas (TSAs) have not been well characterized in patients with inflammatory bowel disease (IBD). This study assesses the prevalence and anatomic distribution of SSA/Ps, TSAs, and conventional adenomas/dysplasia (Ad/Ds) in IBD patients. . IBD patients with serrated, adenomatous, or hyperplastic lesions between 2005 and 2009 were identified in the regional tertiary-care hospital database. Clinicopathological information was reviewed and the histology of biopsies was reevaluated. . Ninety-six Ad/Ds, 25 SSA/Ps, and 4 TSAs were identified in 83 patients. Compared to Ad/Ds, serrated lesions were more prevalent in females ( = 0.046). The prevalence of Ad/Ds was 4.95%, SSA/Ps was 1.39%, and TSAs was 0.31%. No relationship was identified between lesion type and IBD type. Comparing all IBD patients, the distribution of lesion types was significantly different ( = 0.02) with Ad/Ds more common distally, SSA/Ps more common proximally, and TSAs evenly distributed. Among Crohn's disease (CD) patients, a similar distribution difference was noted ( < 0.001). However, ulcerative colitis (UC) patients had a uniform distribution of lesion types ( = 0.320). . IBD patients have a lower prevalence of premalignant lesions compared to the general population, and the anatomic distribution of lesions differed between CD and UC patients. These findings may indicate an interaction between lesion and IBD pathogenesis with potential clinical implications.

摘要

无蒂锯齿状腺瘤/息肉(SSA/P)和传统锯齿状腺瘤(TSA)在炎症性肠病(IBD)患者中的特征尚未得到充分描述。本研究评估了IBD患者中SSA/P、TSA和传统腺瘤/发育异常(Ad/D)的患病率及解剖分布。

在地区三级医疗医院数据库中识别出2005年至2009年间患有锯齿状、腺瘤性或增生性病变的IBD患者。回顾临床病理信息并重新评估活检组织学。

在83例患者中识别出96个Ad/D、25个SSA/P和4个TSA。与Ad/D相比,锯齿状病变在女性中更常见(P = 0.046)。Ad/D的患病率为4.95%,SSA/P为1.39%,TSA为0.31%。未发现病变类型与IBD类型之间存在关联。比较所有IBD患者,病变类型的分布有显著差异(P = 0.02),Ad/D在远端更常见,SSA/P在近端更常见,TSA分布均匀。在克罗恩病(CD)患者中,也观察到类似的分布差异(P < 0.001)。然而,溃疡性结肠炎(UC)患者的病变类型分布均匀(P = 0.320)。

与普通人群相比,IBD患者的癌前病变患病率较低,且CD和UC患者的病变解剖分布有所不同。这些发现可能表明病变与IBD发病机制之间存在相互作用,具有潜在的临床意义。

https://cdn.ncbi.nlm.nih.gov/pmc/blobs/2fac/5274674/ecede0a9dc56/CJGH2017-5490803.001.jpg

文献AI研究员

20分钟写一篇综述,助力文献阅读效率提升50倍。

立即体验

用中文搜PubMed

大模型驱动的PubMed中文搜索引擎

马上搜索

文档翻译

学术文献翻译模型,支持多种主流文档格式。

立即体验