Suppr超能文献

异戊烯基半胱氨酸羧甲基转移酶对于所有RAS亚型的恶性转化和肿瘤维持至关重要。

Isoprenylcysteine carboxylmethyltransferase is critical for malignant transformation and tumor maintenance by all RAS isoforms.

作者信息

Lau H Y, Tang J, Casey P J, Wang M

机构信息

Cancer and Stem Cell Biology Program, Duke-NUS Medical School, Singapore.

Department of Biochemistry, National University of Singapore, Singapore.

出版信息

Oncogene. 2017 Jul 6;36(27):3934-3942. doi: 10.1038/onc.2016.508. Epub 2017 Feb 13.

Abstract

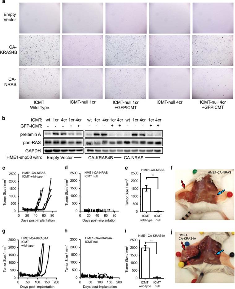
Despite extensive effort, there has been limited progress in the development of direct RAS inhibitors. Targeting isoprenylcysteine carboxylmethyltransferase (ICMT), a unique enzyme of RAS post-translational modification, represents a promising strategy to inhibit RAS function. However, there lacks direct genetic evidence on the role of ICMT in RAS-driven human cancer initiation and maintenance. Using CRISPR/Cas9 genome editing, we have created Icmt loss-of-function isogenic cell lines for both RAS-transformed human mammary epithelial cells (HME1) and human cancer cell lines MiaPaca-2 and MDA-MB-231 containing naturally occurring mutant KRAS. In both in vitro and in vivo tumorigenesis studies, Icmt loss-of-function abolishes the tumor initiation ability of all major isoforms of mutant RAS in HME1 cells, and the tumor maintenance capacity of MiaPaca-2 and MDA-MB-231 cells, establishing the critical role of ICMT in RAS-driven cancers.

摘要

尽管付出了巨大努力,但直接RAS抑制剂的开发进展有限。靶向异戊烯基半胱氨酸羧甲基转移酶(ICMT),一种RAS翻译后修饰的独特酶,是抑制RAS功能的一种有前景的策略。然而,关于ICMT在RAS驱动的人类癌症起始和维持中的作用,缺乏直接的遗传学证据。利用CRISPR/Cas9基因组编辑技术,我们为RAS转化的人乳腺上皮细胞(HME1)以及含有天然存在的突变型KRAS的人癌细胞系MiaPaca-2和MDA-MB-231创建了ICMT功能缺失的同基因细胞系。在体外和体内肿瘤发生研究中,ICMT功能缺失消除了HME1细胞中突变型RAS所有主要异构体的肿瘤起始能力,以及MiaPaca-2和MDA-MB-231细胞的肿瘤维持能力,确立了ICMT在RAS驱动的癌症中的关键作用。

https://cdn.ncbi.nlm.nih.gov/pmc/blobs/aecf/5502315/594071b3a4d7/onc2016508f1.jpg

文献AI研究员

20分钟写一篇综述,助力文献阅读效率提升50倍。

立即体验

用中文搜PubMed

大模型驱动的PubMed中文搜索引擎

马上搜索

文档翻译

学术文献翻译模型,支持多种主流文档格式。

立即体验